Breast Cancer with a Newly Diagnosed Variant in the PTEN Gene: A Case Report.

IF 0.7 Q4 SURGERY
Surgical Case Reports Pub Date : 2025-01-01 Epub Date: 2025-01-31 DOI:10.70352/scrj.cr.24-0082
Yuka Maeda, Tatsuhiko Ikeda, Ayana Sato, Akiko Matsumoto, Hiromitsu Jinno
{"title":"Breast Cancer with a Newly Diagnosed Variant in the <i>PTEN</i> Gene: A Case Report.","authors":"Yuka Maeda, Tatsuhiko Ikeda, Ayana Sato, Akiko Matsumoto, Hiromitsu Jinno","doi":"10.70352/scrj.cr.24-0082","DOIUrl":null,"url":null,"abstract":"<p><strong>Introduction: </strong>The phosphatase and tensin homolog hamartoma tumor syndrome (PHTS) refers to a spectrum of disorders caused by variants of the phosphatase and tensin homolog (<i>PTEN</i>) gene, including Cowden syndrome (CS), Bannayan-Riley-Ruvalcaba syndrome, adult Lhermitte-Duclos disease, and autism spectrum disorders associated with macrocephaly. PHTS is characterized by hamartomas in multiple organs and is associated with an increased risk of developing malignant tumors including, breast, thyroid, endometrial, colorectal, and kidney tumors. Breast cancer is the most common malignancy associated with PHTS.</p><p><strong>Case presentation: </strong>We describe the case of a 44-year-old female patient with invasive ductal carcinoma of the right breast. Cobblestone papillomatosis was present in the gingiva. She had a medical history of bilateral adenomatous goiters for 10 years. Her mother had been diagnosed with breast cancer, thyroid and tongue tumors, gastric polyps, hepatic hemangioma, and collagen disease. Additionally, the patient's maternal grandmother had a history of colon cancer. Based on the patient's family history and physical findings, CS was suspected, and direct DNA sequencing analysis revealed a haplotype c.634del mutation in exon 7 of the <i>PTEN</i> gene. Although there is no clear evidence supporting risk-reducing surgery for PHTS, a right nipple-sparing mastectomy, sentinel lymph node biopsy, and tissue expander reconstruction were performed.</p><p><strong>Conclusions: </strong>We report a case of breast cancer with a newly diagnosed c.634del mutation in the <i>PTEN</i> gene. We also reviewed the current literature on <i>PTEN</i> genetic variants and breast cancer subtypes.</p>","PeriodicalId":22096,"journal":{"name":"Surgical Case Reports","volume":"11 1","pages":""},"PeriodicalIF":0.7000,"publicationDate":"2025-01-01","publicationTypes":"Journal Article","fieldsOfStudy":null,"isOpenAccess":false,"openAccessPdf":"https://www.ncbi.nlm.nih.gov/pmc/articles/PMC11835985/pdf/","citationCount":"0","resultStr":null,"platform":"Semanticscholar","paperid":null,"PeriodicalName":"Surgical Case Reports","FirstCategoryId":"1085","ListUrlMain":"https://doi.org/10.70352/scrj.cr.24-0082","RegionNum":0,"RegionCategory":null,"ArticlePicture":[],"TitleCN":null,"AbstractTextCN":null,"PMCID":null,"EPubDate":"2025/1/31 0:00:00","PubModel":"Epub","JCR":"Q4","JCRName":"SURGERY","Score":null,"Total":0}
引用次数: 0

Abstract

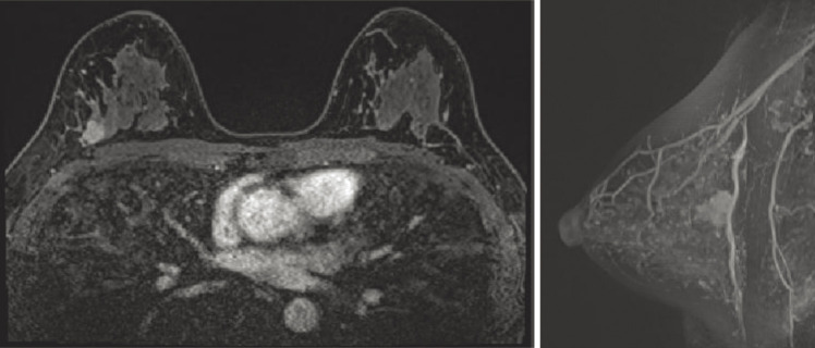
Introduction: The phosphatase and tensin homolog hamartoma tumor syndrome (PHTS) refers to a spectrum of disorders caused by variants of the phosphatase and tensin homolog (PTEN) gene, including Cowden syndrome (CS), Bannayan-Riley-Ruvalcaba syndrome, adult Lhermitte-Duclos disease, and autism spectrum disorders associated with macrocephaly. PHTS is characterized by hamartomas in multiple organs and is associated with an increased risk of developing malignant tumors including, breast, thyroid, endometrial, colorectal, and kidney tumors. Breast cancer is the most common malignancy associated with PHTS.

Case presentation: We describe the case of a 44-year-old female patient with invasive ductal carcinoma of the right breast. Cobblestone papillomatosis was present in the gingiva. She had a medical history of bilateral adenomatous goiters for 10 years. Her mother had been diagnosed with breast cancer, thyroid and tongue tumors, gastric polyps, hepatic hemangioma, and collagen disease. Additionally, the patient's maternal grandmother had a history of colon cancer. Based on the patient's family history and physical findings, CS was suspected, and direct DNA sequencing analysis revealed a haplotype c.634del mutation in exon 7 of the PTEN gene. Although there is no clear evidence supporting risk-reducing surgery for PHTS, a right nipple-sparing mastectomy, sentinel lymph node biopsy, and tissue expander reconstruction were performed.

Conclusions: We report a case of breast cancer with a newly diagnosed c.634del mutation in the PTEN gene. We also reviewed the current literature on PTEN genetic variants and breast cancer subtypes.

Abstract Image

Abstract Image

Abstract Image

新诊断的PTEN基因变异乳腺癌一例报告。
简介:磷酸酶和紧张素同源构象肿瘤综合征(PHTS)是指由磷酸酶和紧张素同源基因(PTEN)变异引起的一系列疾病,包括Cowden综合征(CS)、Bannayan-Riley-Ruvalcaba综合征、成人Lhermitte-Duclos病和与大头畸形相关的自闭症谱系障碍。PHTS以多器官错构瘤为特征,与恶性肿瘤的发生风险增加有关,包括乳腺、甲状腺、子宫内膜、结肠直肠和肾脏肿瘤。乳腺癌是与PHTS相关的最常见的恶性肿瘤。病例介绍:我们报告一例44岁女性右乳浸润性导管癌患者。牙龈内有鹅卵石状乳头状瘤。患者有双侧甲状腺腺瘤病史10年。她的母亲被诊断出患有乳腺癌、甲状腺和舌瘤、胃息肉、肝血管瘤和胶原蛋白病。此外,患者的外祖母有结肠癌病史。根据患者的家族史和体格检查结果,怀疑为CS,直接DNA测序分析显示PTEN基因外显子7单倍型c.634del突变。虽然没有明确的证据支持对PHTS进行降低风险的手术,但仍进行了右侧乳头保留乳房切除术、前哨淋巴结活检和组织扩张器重建。结论:我们报告一例乳腺癌与新诊断的c.634del突变的PTEN基因。我们也回顾了目前关于PTEN基因变异和乳腺癌亚型的文献。
本文章由计算机程序翻译,如有差异,请以英文原文为准。
求助全文
约1分钟内获得全文 求助全文
来源期刊
自引率
0.00%
发文量
218
审稿时长
13 weeks
×
引用
GB/T 7714-2015
复制
MLA
复制
APA
复制
导出至
BibTeX EndNote RefMan NoteFirst NoteExpress
×
提示
您的信息不完整,为了账户安全,请先补充。
现在去补充
×
提示
您因"违规操作"
具体请查看互助需知
我知道了
×
提示
确定
请完成安全验证×
copy
已复制链接
快去分享给好友吧!
我知道了
右上角分享
点击右上角分享
0
联系我们:info@booksci.cn Book学术提供免费学术资源搜索服务,方便国内外学者检索中英文文献。致力于提供最便捷和优质的服务体验。 Copyright © 2023 布克学术 All rights reserved.
京ICP备2023020795号-1
ghs 京公网安备 11010802042870号
Book学术文献互助
Book学术文献互助群
群 号:604180095
Book学术官方微信