Infantile myofibromatosis: Small bumps pose big problems.

IF 0.9 Q2 Medicine
Journal of neonatal-perinatal medicine Pub Date : 2025-03-01 Epub Date: 2025-02-05 DOI:10.1177/19345798251318587
Hillary C Lee, Amee A Amin, Kudakwashe R Chikwava, Valeria R Smith, Caraciolo J Fernandes
{"title":"Infantile myofibromatosis: Small bumps pose big problems.","authors":"Hillary C Lee, Amee A Amin, Kudakwashe R Chikwava, Valeria R Smith, Caraciolo J Fernandes","doi":"10.1177/19345798251318587","DOIUrl":null,"url":null,"abstract":"<p><p>BackgroundInfantile myofibromatosis (IM) is a disorder characterized by proliferation of benign myofibroblastic tumors that typically manifest as solitary or multiple nodules in the skin, muscle, bone, subcutaneous tissues, and visceral organs and can pose significant morbidity and mortality risks, particularly in cases involving visceral organs or causing functional impairment. These soft tissue lesions are the most prevalent benign fibrous tumors that present before age two and can undergo spontaneous regression or are amenable to surgical resection.CaseA preterm, male infant was born via Caesarean section to a mother with a trichorionic, triamniotic pregnancy following preterm labor. Within the first week of life, several well-circumscribed, smooth, non-tender, and soft nodules with some mobility were noticed along the border of the ribs, across the trunk, back, and lower extremities. Ultrasound imaging confirmed well-circumscribed hypoechoic, intramuscular nodules, and biopsy evaluation showed atypical spindle cell proliferation. The biopsied lesion was <i>PDGFRB</i>-mutated on molecular genetic studies, confirming a diagnosis of myofibromatosis. The infant developed mixed lytic and sclerotic deformities of a variety of bones, necessitating treatment given disease progression.ConclusionSuccessful clinical management with low-dose metronomic chemotherapy (methotrexate and vinblastine) is possible and can treat extensive disease, as seen in our patient.</p>","PeriodicalId":16537,"journal":{"name":"Journal of neonatal-perinatal medicine","volume":" ","pages":"179-183"},"PeriodicalIF":0.9000,"publicationDate":"2025-03-01","publicationTypes":"Journal Article","fieldsOfStudy":null,"isOpenAccess":false,"openAccessPdf":"https://www.ncbi.nlm.nih.gov/pmc/articles/PMC12231786/pdf/","citationCount":"0","resultStr":null,"platform":"Semanticscholar","paperid":null,"PeriodicalName":"Journal of neonatal-perinatal medicine","FirstCategoryId":"1085","ListUrlMain":"https://doi.org/10.1177/19345798251318587","RegionNum":0,"RegionCategory":null,"ArticlePicture":[],"TitleCN":null,"AbstractTextCN":null,"PMCID":null,"EPubDate":"2025/2/5 0:00:00","PubModel":"Epub","JCR":"Q2","JCRName":"Medicine","Score":null,"Total":0}
引用次数: 0

Abstract

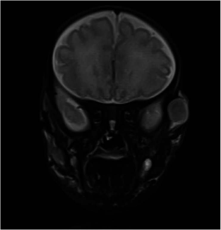
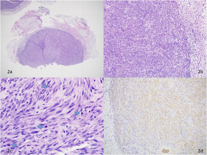
BackgroundInfantile myofibromatosis (IM) is a disorder characterized by proliferation of benign myofibroblastic tumors that typically manifest as solitary or multiple nodules in the skin, muscle, bone, subcutaneous tissues, and visceral organs and can pose significant morbidity and mortality risks, particularly in cases involving visceral organs or causing functional impairment. These soft tissue lesions are the most prevalent benign fibrous tumors that present before age two and can undergo spontaneous regression or are amenable to surgical resection.CaseA preterm, male infant was born via Caesarean section to a mother with a trichorionic, triamniotic pregnancy following preterm labor. Within the first week of life, several well-circumscribed, smooth, non-tender, and soft nodules with some mobility were noticed along the border of the ribs, across the trunk, back, and lower extremities. Ultrasound imaging confirmed well-circumscribed hypoechoic, intramuscular nodules, and biopsy evaluation showed atypical spindle cell proliferation. The biopsied lesion was PDGFRB-mutated on molecular genetic studies, confirming a diagnosis of myofibromatosis. The infant developed mixed lytic and sclerotic deformities of a variety of bones, necessitating treatment given disease progression.ConclusionSuccessful clinical management with low-dose metronomic chemotherapy (methotrexate and vinblastine) is possible and can treat extensive disease, as seen in our patient.

Abstract Image

Abstract Image

Abstract Image

婴儿肌纤维瘤病:小肿块造成大问题。
背景:婴儿肌纤维瘤病(IM)是一种以良性肌纤维母细胞瘤增生为特征的疾病,通常表现为皮肤、肌肉、骨骼、皮下组织和内脏器官的孤立或多发结节,可造成显著的发病率和死亡率风险,特别是在涉及内脏器官或导致功能损害的情况下。这些软组织病变是最常见的良性纤维性肿瘤,出现在两岁之前,可以自发消退或适合手术切除。病例:早产,男婴通过剖腹产出生的母亲三绒毛膜,三羊膜妊娠后早产。在出生后的第一周内,在肋骨边缘、躯干、背部和下肢发现了几个界限清晰、光滑、不触痛、柔软且可移动的结节。超声成像证实界限清晰的低回声,肌肉内结节,活检评估显示非典型梭形细胞增生。活检病变在分子遗传学研究中发现pdgfrb突变,证实了肌纤维瘤病的诊断。婴儿出现多种骨骼的混合溶解性和硬化性畸形,由于疾病进展,需要治疗。结论:低剂量节拍化疗(甲氨蝶呤和长春花碱)成功的临床管理是可能的,可以治疗广泛的疾病,正如我们的病人所看到的。
本文章由计算机程序翻译,如有差异,请以英文原文为准。
求助全文
约1分钟内获得全文 求助全文
来源期刊
Journal of neonatal-perinatal medicine
Journal of neonatal-perinatal medicine Medicine-Pediatrics, Perinatology and Child Health
CiteScore
2.00
自引率
0.00%
发文量
124
×
引用
GB/T 7714-2015
复制
MLA
复制
APA
复制
导出至
BibTeX EndNote RefMan NoteFirst NoteExpress
×
提示
您的信息不完整,为了账户安全,请先补充。
现在去补充
×
提示
您因"违规操作"
具体请查看互助需知
我知道了
×
提示
确定
请完成安全验证×
copy
已复制链接
快去分享给好友吧!
我知道了
右上角分享
点击右上角分享
0
联系我们:info@booksci.cn Book学术提供免费学术资源搜索服务,方便国内外学者检索中英文文献。致力于提供最便捷和优质的服务体验。 Copyright © 2023 布克学术 All rights reserved.
京ICP备2023020795号-1
ghs 京公网安备 11010802042870号
Book学术文献互助
Book学术文献互助群
群 号:604180095
Book学术官方微信