In vitro gene editing using primary cells derived from Cas9-expressing pigs.

IF 3.2 3区 农林科学 Q1 AGRICULTURE, DAIRY & ANIMAL SCIENCE
Journal of Animal Science and Technology Pub Date : 2025-01-01 Epub Date: 2025-01-31 DOI:10.5187/jast.2024.e77
Seokho Kim, Jin-Gu No, Seunghoon Lee, Areum Choi, Namwoong Hyung, Ju Young Lee, Tae-Uk Kwak, Won Seok Ju, Jae-Yeong Lee, Poogyeon Lee, Mi-Ryung Park, Sung June Byun, Haesun Lee, Keon Bong Oh, Hyeon Yang, Jae Gyu Yoo
{"title":"<i>In vitro</i> gene editing using primary cells derived from Cas9-expressing pigs.","authors":"Seokho Kim, Jin-Gu No, Seunghoon Lee, Areum Choi, Namwoong Hyung, Ju Young Lee, Tae-Uk Kwak, Won Seok Ju, Jae-Yeong Lee, Poogyeon Lee, Mi-Ryung Park, Sung June Byun, Haesun Lee, Keon Bong Oh, Hyeon Yang, Jae Gyu Yoo","doi":"10.5187/jast.2024.e77","DOIUrl":null,"url":null,"abstract":"<p><p>Clustered Regularly Interspaced Short Palindromic Repeats/CRISPR-associated protein 9 (CRISPR/Cas9) technology has significantly facilitated the generation of gene-edited (GE) pigs. Although GE pigs are promising for agricultural and biomedical applications, the entire process of generating useful GE pigs is time- and labor-intensive. To overcome this, <i>in vivo</i> gene-editing techniques have been developed, where Cas9 nuclease and single guide RNA (sgRNA) are directly injected into animals; however, their efficiency remains low owing to the large size of the nuclease. In this study, we generated a Cas9-expressing pig by inserting the Cas9 gene into the ROSA26 locus, resulting in its constitutive expression in various tissues. We also confirmed the pig's fertility. <i>In vitro</i> experiments with primary cells from the pig confirmed effective gene deletion by adding only sgRNAs. These results suggest that the Cas9-expressing pig generated in this study could serve as an effective platform for <i>in vivo</i> and <i>in vitro</i> gene editing in agricultural and biomedical research.</p>","PeriodicalId":14923,"journal":{"name":"Journal of Animal Science and Technology","volume":"67 1","pages":"179-192"},"PeriodicalIF":3.2000,"publicationDate":"2025-01-01","publicationTypes":"Journal Article","fieldsOfStudy":null,"isOpenAccess":false,"openAccessPdf":"https://www.ncbi.nlm.nih.gov/pmc/articles/PMC11833195/pdf/","citationCount":"0","resultStr":null,"platform":"Semanticscholar","paperid":null,"PeriodicalName":"Journal of Animal Science and Technology","FirstCategoryId":"97","ListUrlMain":"https://doi.org/10.5187/jast.2024.e77","RegionNum":3,"RegionCategory":"农林科学","ArticlePicture":[],"TitleCN":null,"AbstractTextCN":null,"PMCID":null,"EPubDate":"2025/1/31 0:00:00","PubModel":"Epub","JCR":"Q1","JCRName":"AGRICULTURE, DAIRY & ANIMAL SCIENCE","Score":null,"Total":0}
引用次数: 0

Abstract

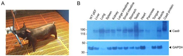
Clustered Regularly Interspaced Short Palindromic Repeats/CRISPR-associated protein 9 (CRISPR/Cas9) technology has significantly facilitated the generation of gene-edited (GE) pigs. Although GE pigs are promising for agricultural and biomedical applications, the entire process of generating useful GE pigs is time- and labor-intensive. To overcome this, in vivo gene-editing techniques have been developed, where Cas9 nuclease and single guide RNA (sgRNA) are directly injected into animals; however, their efficiency remains low owing to the large size of the nuclease. In this study, we generated a Cas9-expressing pig by inserting the Cas9 gene into the ROSA26 locus, resulting in its constitutive expression in various tissues. We also confirmed the pig's fertility. In vitro experiments with primary cells from the pig confirmed effective gene deletion by adding only sgRNAs. These results suggest that the Cas9-expressing pig generated in this study could serve as an effective platform for in vivo and in vitro gene editing in agricultural and biomedical research.

Abstract Image

Abstract Image

Abstract Image

使用来自表达cas9的猪的原代细胞进行体外基因编辑。
聚类规则间隔短回文重复序列/CRISPR相关蛋白9 (CRISPR/Cas9)技术显著促进了基因编辑(GE)猪的产生。尽管转基因猪在农业和生物医学应用方面很有前景,但生产有用的转基因猪的整个过程是时间和劳动密集型的。为了克服这个问题,已经开发了体内基因编辑技术,其中将Cas9核酸酶和单导RNA (sgRNA)直接注射到动物体内;然而,由于核酸酶的大尺寸,它们的效率仍然很低。在本研究中,我们通过将Cas9基因插入到ROSA26位点,培育出一只表达Cas9的猪,使其在多种组织中组成性表达。我们还确认了猪的生育能力。用猪原代细胞进行的体外实验证实,只添加sgRNAs就能有效地删除基因。这些结果表明,本研究产生的表达cas9的猪可以作为农业和生物医学研究中体内和体外基因编辑的有效平台。
本文章由计算机程序翻译,如有差异,请以英文原文为准。
求助全文
约1分钟内获得全文 求助全文
来源期刊
Journal of Animal Science and Technology
Journal of Animal Science and Technology Agricultural and Biological Sciences-Food Science
CiteScore
4.50
自引率
8.70%
发文量
96
审稿时长
7 weeks
期刊介绍: Journal of Animal Science and Technology (J. Anim. Sci. Technol. or JAST) is a peer-reviewed, open access journal publishing original research, review articles and notes in all fields of animal science. Topics covered by the journal include: genetics and breeding, physiology, nutrition of monogastric animals, nutrition of ruminants, animal products (milk, meat, eggs and their by-products) and their processing, grasslands and roughages, livestock environment, animal biotechnology, animal behavior and welfare. Articles generally report research involving beef cattle, dairy cattle, pigs, companion animals, goats, horses, and sheep. However, studies involving other farm animals, aquatic and wildlife species, and laboratory animal species that address fundamental questions related to livestock and companion animal biology will also be considered for publication. The Journal of Animal Science and Technology (J. Anim. Technol. or JAST) has been the official journal of The Korean Society of Animal Science and Technology (KSAST) since 2000, formerly known as The Korean Journal of Animal Sciences (launched in 1956).
×
引用
GB/T 7714-2015
复制
MLA
复制
APA
复制
导出至
BibTeX EndNote RefMan NoteFirst NoteExpress
×
提示
您的信息不完整,为了账户安全,请先补充。
现在去补充
×
提示
您因"违规操作"
具体请查看互助需知
我知道了
×
提示
确定
请完成安全验证×
copy
已复制链接
快去分享给好友吧!
我知道了
右上角分享
点击右上角分享
0
联系我们:info@booksci.cn Book学术提供免费学术资源搜索服务,方便国内外学者检索中英文文献。致力于提供最便捷和优质的服务体验。 Copyright © 2023 布克学术 All rights reserved.
京ICP备2023020795号-1
ghs 京公网安备 11010802042870号
Book学术文献互助
Book学术文献互助群
群 号:604180095
Book学术官方微信