Mechanisms of combined deer antler polysaccharides and postbiotics supplementation for regulating obesity in mice.

IF 3.4 4区 医学 Q2 FOOD SCIENCE & TECHNOLOGY
Food & Nutrition Research Pub Date : 2025-01-28 eCollection Date: 2025-01-01 DOI:10.29219/fnr.v69.11634
Lanyue Yin, Jiating Li, Xueyue Tai, Guoqi Zhang, Mingran Luan, Bao Zhong, Fenglin Li
{"title":"Mechanisms of combined deer antler polysaccharides and postbiotics supplementation for regulating obesity in mice.","authors":"Lanyue Yin, Jiating Li, Xueyue Tai, Guoqi Zhang, Mingran Luan, Bao Zhong, Fenglin Li","doi":"10.29219/fnr.v69.11634","DOIUrl":null,"url":null,"abstract":"<p><strong>Objective: </strong>This study investigated the mechanisms related to lipid metabolism regulation after combined supplementation with deer antler polysaccharides and postbiotics.</p><p><strong>Methods: </strong>Thirty-two male mice were divided into high-fat diet, HD + deer antler polysaccharides, HD + <i>Bacillus coagulans</i> postbiotics, and HD + deer antler polysaccharides + <i>B. coagulans</i> postbiotics groups. The diets contained 60% fat. After 9 weeks, the effects of deer antler polysaccharides and postbiotics on lipid metabolism were assessed through blood biochemical, histological tissue staining, and polymerase chain reaction analyses.</p><p><strong>Results: </strong>Supplementation with deer antler polysaccharides and postbiotics significantly inhibited weight gain in obese mice, reduced serum total cholesterol, triglyceride, and low-density lipoprotein levels and markedly increased the serum high-density lipoprotein level. Additionally, hepatic lipid droplet accumulation and adipocyte hypertrophy improved. The expressions of the lipid synthesis genes, sterol regulatory element-binding protein 1 (i.e. <i>SREBP-1c</i>), and fatty acid synthase (i.e. <i>FAS</i>), significantly decreased, while peroxisome proliferator-activated receptor alpha (i.e. <i>PPAR-α</i>) and acyl-CoA oxidase 1 (i.e. <i>ACOX1</i>) expression significantly increased. The expressions of the inflammation-related genes, tumor necrosis factor-alpha (i.e. <i>TNF-α</i>), interleukin (<i>IL</i>)<i>-6</i>, and <i>IL-1</i> also significantly decreased.</p><p><strong>Conclusion: </strong>Thus, combined deer antler polysaccharides and postbiotic supplementation regulated obesity in mice, potentially by modulating lipid synthesis and inflammation-related gene expression.</p>","PeriodicalId":12119,"journal":{"name":"Food & Nutrition Research","volume":"69 ","pages":""},"PeriodicalIF":3.4000,"publicationDate":"2025-01-28","publicationTypes":"Journal Article","fieldsOfStudy":null,"isOpenAccess":false,"openAccessPdf":"https://www.ncbi.nlm.nih.gov/pmc/articles/PMC11836782/pdf/","citationCount":"0","resultStr":null,"platform":"Semanticscholar","paperid":null,"PeriodicalName":"Food & Nutrition Research","FirstCategoryId":"97","ListUrlMain":"https://doi.org/10.29219/fnr.v69.11634","RegionNum":4,"RegionCategory":"医学","ArticlePicture":[],"TitleCN":null,"AbstractTextCN":null,"PMCID":null,"EPubDate":"2025/1/1 0:00:00","PubModel":"eCollection","JCR":"Q2","JCRName":"FOOD SCIENCE & TECHNOLOGY","Score":null,"Total":0}
引用次数: 0

Abstract

Objective: This study investigated the mechanisms related to lipid metabolism regulation after combined supplementation with deer antler polysaccharides and postbiotics.

Methods: Thirty-two male mice were divided into high-fat diet, HD + deer antler polysaccharides, HD + Bacillus coagulans postbiotics, and HD + deer antler polysaccharides + B. coagulans postbiotics groups. The diets contained 60% fat. After 9 weeks, the effects of deer antler polysaccharides and postbiotics on lipid metabolism were assessed through blood biochemical, histological tissue staining, and polymerase chain reaction analyses.

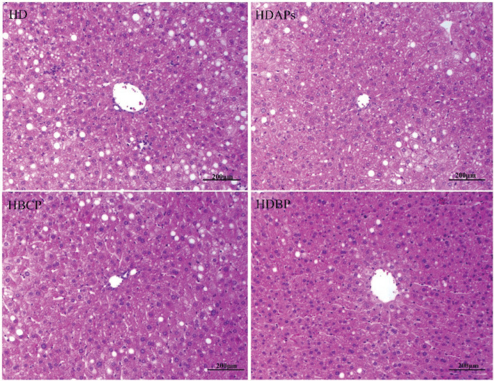
Results: Supplementation with deer antler polysaccharides and postbiotics significantly inhibited weight gain in obese mice, reduced serum total cholesterol, triglyceride, and low-density lipoprotein levels and markedly increased the serum high-density lipoprotein level. Additionally, hepatic lipid droplet accumulation and adipocyte hypertrophy improved. The expressions of the lipid synthesis genes, sterol regulatory element-binding protein 1 (i.e. SREBP-1c), and fatty acid synthase (i.e. FAS), significantly decreased, while peroxisome proliferator-activated receptor alpha (i.e. PPAR-α) and acyl-CoA oxidase 1 (i.e. ACOX1) expression significantly increased. The expressions of the inflammation-related genes, tumor necrosis factor-alpha (i.e. TNF-α), interleukin (IL)-6, and IL-1 also significantly decreased.

Conclusion: Thus, combined deer antler polysaccharides and postbiotic supplementation regulated obesity in mice, potentially by modulating lipid synthesis and inflammation-related gene expression.

Abstract Image

Abstract Image

Abstract Image

鹿茸多糖与生物后制剂联合补充调节小鼠肥胖的机制。
目的:探讨鹿茸多糖与生物后制剂联用对脂质代谢调节的作用机制。方法:将32只雄性小鼠分为高脂饮食组、HD +鹿茸多糖组、HD +鹿茸多糖后生制剂组、HD +鹿茸多糖后生制剂组和HD +鹿茸多糖后生制剂组。这些饮食含有60%的脂肪。9周后,通过血液生化、组织染色和聚合酶链反应分析,评价鹿茸多糖和后生物制剂对脂质代谢的影响。结果:添加鹿茸多糖和后生物制剂可显著抑制肥胖小鼠体重增加,降低血清总胆固醇、甘油三酯和低密度脂蛋白水平,显著提高血清高密度脂蛋白水平。此外,肝脂滴积聚和脂肪细胞肥大得到改善。脂质合成基因、甾醇调控元件结合蛋白1 (SREBP-1c)、脂肪酸合成酶(FAS)表达显著降低,过氧化物酶体增殖物激活受体α (PPAR-α)、酰基辅酶a氧化酶1 (ACOX1)表达显著升高。炎症相关基因、肿瘤坏死因子-α(即TNF-α)、白细胞介素(IL)-6、IL-1的表达也显著降低。结论:由此可见,鹿茸多糖联合生物后补充剂可能通过调节脂质合成和炎症相关基因表达来调节小鼠肥胖。
本文章由计算机程序翻译,如有差异,请以英文原文为准。
求助全文
约1分钟内获得全文 求助全文
来源期刊
Food & Nutrition Research
Food & Nutrition Research FOOD SCIENCE & TECHNOLOGY-NUTRITION & DIETETICS
CiteScore
5.20
自引率
9.10%
发文量
47
审稿时长
14 weeks
期刊介绍: Food & Nutrition Research is a peer-reviewed journal that presents the latest scientific research in various fields focusing on human nutrition. The journal publishes both quantitative and qualitative research papers. Through an Open Access publishing model, Food & Nutrition Research opens an important forum for researchers from academic and private arenas to exchange the latest results from research on human nutrition in a broad sense, both original papers and reviews, including: * Associations and effects of foods and nutrients on health * Dietary patterns and health * Molecular nutrition * Health claims on foods * Nutrition and cognitive functions * Nutritional effects of food composition and processing * Nutrition in developing countries * Animal and in vitro models with clear relevance for human nutrition * Nutrition and the Environment * Food and Nutrition Education * Nutrition and Economics Research papers on food chemistry (focus on chemical composition and analysis of foods) are generally not considered eligible, unless the results have a clear impact on human nutrition. The journal focuses on the different aspects of nutrition for people involved in nutrition research such as Dentists, Dieticians, Medical doctors, Nutritionists, Teachers, Journalists and Manufacturers in the food and pharmaceutical industries.
×
引用
GB/T 7714-2015
复制
MLA
复制
APA
复制
导出至
BibTeX EndNote RefMan NoteFirst NoteExpress
×
提示
您的信息不完整,为了账户安全,请先补充。
现在去补充
×
提示
您因"违规操作"
具体请查看互助需知
我知道了
×
提示
确定
请完成安全验证×
copy
已复制链接
快去分享给好友吧!
我知道了
右上角分享
点击右上角分享
0
联系我们:info@booksci.cn Book学术提供免费学术资源搜索服务,方便国内外学者检索中英文文献。致力于提供最便捷和优质的服务体验。 Copyright © 2023 布克学术 All rights reserved.
京ICP备2023020795号-1
ghs 京公网安备 11010802042870号
Book学术文献互助
Book学术文献互助群
群 号:604180095
Book学术官方微信