Fasciitis-panniculitis syndrome with autoantibodies reacting to adipocyte pericellular fibers: a case report.

IF 2.3 3区 医学 Q1 PEDIATRICS
Yu Uehara, Takuji Enya, Kohei Miyazaki, Yoshiyuki Hakata, Sachiyo Kawahara, Masaaki Miyazawa, Keisuke Sugimoto
{"title":"Fasciitis-panniculitis syndrome with autoantibodies reacting to adipocyte pericellular fibers: a case report.","authors":"Yu Uehara, Takuji Enya, Kohei Miyazaki, Yoshiyuki Hakata, Sachiyo Kawahara, Masaaki Miyazawa, Keisuke Sugimoto","doi":"10.1186/s12969-025-01071-w","DOIUrl":null,"url":null,"abstract":"<p><strong>Background: </strong>Fasciitis-panniculitis syndrome (FPS) typically presents with swelling and skin hardening. Its histopathological characteristics include inflammatory cell infiltration and fibrous thickening of the subcutaneous tissue and fascia. Panniculitides in children are rare and only a small number of juvenile FPS cases have been reported. We encountered a case of a 10-year-old boy in which autoantibodies reactive to adipocyte pericellular fibers were detected in relapsing FPS.</p><p><strong>Case presentation: </strong>The patient developed a high fever and skin swelling with pain and erythema on the right side of his body following an abrasion injury on his right wrist at the age of 5 years, and was suspected of having streptococcal toxic shock-like syndrome, for which he received antimicrobials, immunoglobulin therapy, debridement, and plasma exchange. The same manifestations with similar magnetic resonance imaging (MRI) findings of high signal on short tau inversion recovery showing the spread of inflammation in the fat tissue and fascia was observed twice at the age of 6 years. Serological analyses for conventional autoantibodies, bone marrow aspiration, and whole-exome sequencing examination were non-remarkable. Prednisolone was effective in ameliorating the above putative autoinflammatory syndrome. The patient was admitted at the age of 10 years with similar clinical and MRI findings indicative of recurrence of the same disease. En bloc biopsy from the skin to the fascia showed thickening of collagen fibers, infiltration of inflammatory cells composed mainly of neutrophils and lymphocytes, and necrotizing vasculitis in the fat tissue and fascia. Immunohistochemical staining of the en bloc biopsy sections indicated infiltration of T lymphocytes and macrophages in the perivascular connective tissue and fibrinoid necrosis, supporting the diagnosis of FPS. Induction therapy with prednisolone resulted in a remission. IgG purified from the patient's serum reacted with pericellular basement membranes in the subcutaneous fat tissue by immunohistochemistry. The patient is currently taking famotidine to prevent relapses and is making good progress in his recovery.</p><p><strong>Conclusions: </strong>Although pathogenic autoantibodies have not been described in FPS, our results suggest that fat-tissue-reactive autoantibodies may be involved in the pathogenesis of FPS.</p>","PeriodicalId":54630,"journal":{"name":"Pediatric Rheumatology","volume":"23 1","pages":"17"},"PeriodicalIF":2.3000,"publicationDate":"2025-02-18","publicationTypes":"Journal Article","fieldsOfStudy":null,"isOpenAccess":false,"openAccessPdf":"https://www.ncbi.nlm.nih.gov/pmc/articles/PMC11834650/pdf/","citationCount":"0","resultStr":null,"platform":"Semanticscholar","paperid":null,"PeriodicalName":"Pediatric Rheumatology","FirstCategoryId":"3","ListUrlMain":"https://doi.org/10.1186/s12969-025-01071-w","RegionNum":3,"RegionCategory":"医学","ArticlePicture":[],"TitleCN":null,"AbstractTextCN":null,"PMCID":null,"EPubDate":"","PubModel":"","JCR":"Q1","JCRName":"PEDIATRICS","Score":null,"Total":0}
引用次数: 0

Abstract

Background: Fasciitis-panniculitis syndrome (FPS) typically presents with swelling and skin hardening. Its histopathological characteristics include inflammatory cell infiltration and fibrous thickening of the subcutaneous tissue and fascia. Panniculitides in children are rare and only a small number of juvenile FPS cases have been reported. We encountered a case of a 10-year-old boy in which autoantibodies reactive to adipocyte pericellular fibers were detected in relapsing FPS.

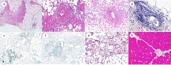
Case presentation: The patient developed a high fever and skin swelling with pain and erythema on the right side of his body following an abrasion injury on his right wrist at the age of 5 years, and was suspected of having streptococcal toxic shock-like syndrome, for which he received antimicrobials, immunoglobulin therapy, debridement, and plasma exchange. The same manifestations with similar magnetic resonance imaging (MRI) findings of high signal on short tau inversion recovery showing the spread of inflammation in the fat tissue and fascia was observed twice at the age of 6 years. Serological analyses for conventional autoantibodies, bone marrow aspiration, and whole-exome sequencing examination were non-remarkable. Prednisolone was effective in ameliorating the above putative autoinflammatory syndrome. The patient was admitted at the age of 10 years with similar clinical and MRI findings indicative of recurrence of the same disease. En bloc biopsy from the skin to the fascia showed thickening of collagen fibers, infiltration of inflammatory cells composed mainly of neutrophils and lymphocytes, and necrotizing vasculitis in the fat tissue and fascia. Immunohistochemical staining of the en bloc biopsy sections indicated infiltration of T lymphocytes and macrophages in the perivascular connective tissue and fibrinoid necrosis, supporting the diagnosis of FPS. Induction therapy with prednisolone resulted in a remission. IgG purified from the patient's serum reacted with pericellular basement membranes in the subcutaneous fat tissue by immunohistochemistry. The patient is currently taking famotidine to prevent relapses and is making good progress in his recovery.

Conclusions: Although pathogenic autoantibodies have not been described in FPS, our results suggest that fat-tissue-reactive autoantibodies may be involved in the pathogenesis of FPS.

Abstract Image

Abstract Image

Abstract Image

筋膜炎-泛膜炎综合征伴自身抗体对脂肪细胞周纤维反应:1例报告。
背景:筋膜炎-泛膜炎综合征(FPS)典型表现为肿胀和皮肤硬化。其组织病理学特征包括炎症细胞浸润和皮下组织及筋膜纤维增厚。Panniculitides在儿童中是罕见的,只有少数青少年FPS病例被报道。我们遇到了一个10岁男孩的病例,在复发的FPS中检测到对脂肪细胞周纤维反应的自身抗体。病例介绍:患者5岁时右手腕擦伤,出现高热、皮肤肿胀、疼痛、右侧皮肤红斑,疑似链球菌中毒性休克样综合征,接受了抗菌剂、免疫球蛋白治疗、清创和血浆置换。6岁时两次观察到相同的表现,MRI短tau反转恢复高信号显示炎症在脂肪组织和筋膜中扩散。血清学分析常规自身抗体,骨髓穿刺和全外显子组测序检查无显著性。强的松龙可有效改善上述假定的自身炎症综合征。患者在10岁时入院,有类似的临床和MRI结果表明同一疾病的复发。从皮肤到筋膜的整体活检显示胶原纤维增厚,以中性粒细胞和淋巴细胞为主的炎症细胞浸润,脂肪组织和筋膜出现坏死性血管炎。免疫组化染色显示血管周围结缔组织中T淋巴细胞和巨噬细胞浸润,纤维蛋白样坏死,支持FPS的诊断。强的松龙诱导治疗导致缓解。从患者血清中纯化的IgG通过免疫组化与皮下脂肪组织的细胞基底膜反应。患者目前正在服用法莫替丁以防止复发,恢复情况良好。结论:虽然在FPS中尚未发现致病性自身抗体,但我们的研究结果表明脂肪组织反应性自身抗体可能参与了FPS的发病机制。
本文章由计算机程序翻译,如有差异,请以英文原文为准。
求助全文
约1分钟内获得全文 求助全文
来源期刊
Pediatric Rheumatology
Pediatric Rheumatology PEDIATRICS-RHEUMATOLOGY
CiteScore
4.10
自引率
8.00%
发文量
95
审稿时长
>12 weeks
期刊介绍: Pediatric Rheumatology is an open access, peer-reviewed, online journal encompassing all aspects of clinical and basic research related to pediatric rheumatology and allied subjects. The journal’s scope of diseases and syndromes include musculoskeletal pain syndromes, rheumatic fever and post-streptococcal syndromes, juvenile idiopathic arthritis, systemic lupus erythematosus, juvenile dermatomyositis, local and systemic scleroderma, Kawasaki disease, Henoch-Schonlein purpura and other vasculitides, sarcoidosis, inherited musculoskeletal syndromes, autoinflammatory syndromes, and others.
×
引用
GB/T 7714-2015
复制
MLA
复制
APA
复制
导出至
BibTeX EndNote RefMan NoteFirst NoteExpress
×
提示
您的信息不完整,为了账户安全,请先补充。
现在去补充
×
提示
您因"违规操作"
具体请查看互助需知
我知道了
×
提示
确定
请完成安全验证×
copy
已复制链接
快去分享给好友吧!
我知道了
右上角分享
点击右上角分享
0
联系我们:info@booksci.cn Book学术提供免费学术资源搜索服务,方便国内外学者检索中英文文献。致力于提供最便捷和优质的服务体验。 Copyright © 2023 布克学术 All rights reserved.
京ICP备2023020795号-1
ghs 京公网安备 11010802042870号
Book学术文献互助
Book学术文献互助群
群 号:604180095
Book学术官方微信