Cyclosporin-Induced Gingival Enlargement in a Periodontitis Patient With Pemphigus Vulgaris: A Case Report.

IF 0.9 Q4 DENTISTRY, ORAL SURGERY & MEDICINE
Case Reports in Dentistry Pub Date : 2025-02-11 eCollection Date: 2025-01-01 DOI:10.1155/crid/8318894
Wee-Jian Chong, Norliwati Ibrahim, Shahida Mohd-Said
{"title":"Cyclosporin-Induced Gingival Enlargement in a Periodontitis Patient With Pemphigus Vulgaris: A Case Report.","authors":"Wee-Jian Chong, Norliwati Ibrahim, Shahida Mohd-Said","doi":"10.1155/crid/8318894","DOIUrl":null,"url":null,"abstract":"<p><p><b>Background:</b> Pemphigus vulgaris (PV) is a chronic autoimmune disorder affecting mucous membranes and skin, with potential life-threatening risks. It is typically characterized by blisters within the oral cavity with or without subsequent skin involvement. Given the importance of timely intervention, dental professionals are responsible for diagnosing this condition, as prompt detection and intervention greatly influence the disease progression and prognosis. <b>Case Description:</b> A 44-year-old male patient presented with swollen and bleeding gums, accompanied by multiple chronic ulcers in the oral cavity. He was initially diagnosed with PV in 2018; his case posed significant challenges, including drug-influenced gingival enlargement and the psychological burden of managing a chronic, relapsing condition. <b>Management and Prognosis:</b> The patient received treatment with an immunosuppressive medication (cyclosporin) along with long-term systemic steroids (prednisolone). In November 2022, cyclosporin was replaced with a steroid-sparing medication (methotrexate) to control drug-influenced gingival enlargement. The periodontal condition improved after 3 months of changing the medication regimen, nonsurgical periodontal therapy, and reinforced oral hygiene practices. The patient undergoes regular medical evaluations every 6 months with the dermatology department. <b>Clinical Implications:</b> Effective management of PV necessitates long-term systemic steroid therapy, often supplemented with immunosuppressive agents, to control the disease and minimize relapse risks. Regular clinical assessments are essential for patients receiving steroid and immunosuppressive treatment to monitor potential side effects, including cyclosporin-induced gingival enlargement. If gingival enlargement is compounded by periodontal disease, it can further complicate the management of PV. Drug-induced gingival enlargement has a favorable prognosis and is reversible upon discontinuation or substitution of the causative medication. An interdisciplinary approach involving primary clinicians, dentists, and the healthcare team is crucial to addressing the patient's signs and symptoms effectively.</p>","PeriodicalId":46841,"journal":{"name":"Case Reports in Dentistry","volume":"2025 ","pages":"8318894"},"PeriodicalIF":0.9000,"publicationDate":"2025-02-11","publicationTypes":"Journal Article","fieldsOfStudy":null,"isOpenAccess":false,"openAccessPdf":"https://www.ncbi.nlm.nih.gov/pmc/articles/PMC11835479/pdf/","citationCount":"0","resultStr":null,"platform":"Semanticscholar","paperid":null,"PeriodicalName":"Case Reports in Dentistry","FirstCategoryId":"1085","ListUrlMain":"https://doi.org/10.1155/crid/8318894","RegionNum":0,"RegionCategory":null,"ArticlePicture":[],"TitleCN":null,"AbstractTextCN":null,"PMCID":null,"EPubDate":"2025/1/1 0:00:00","PubModel":"eCollection","JCR":"Q4","JCRName":"DENTISTRY, ORAL SURGERY & MEDICINE","Score":null,"Total":0}
引用次数: 0

Abstract

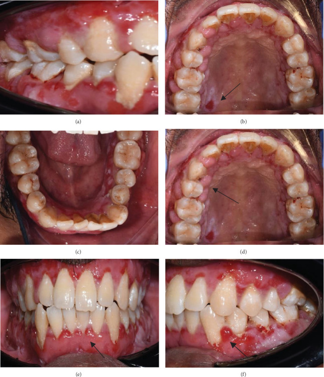
Background: Pemphigus vulgaris (PV) is a chronic autoimmune disorder affecting mucous membranes and skin, with potential life-threatening risks. It is typically characterized by blisters within the oral cavity with or without subsequent skin involvement. Given the importance of timely intervention, dental professionals are responsible for diagnosing this condition, as prompt detection and intervention greatly influence the disease progression and prognosis. Case Description: A 44-year-old male patient presented with swollen and bleeding gums, accompanied by multiple chronic ulcers in the oral cavity. He was initially diagnosed with PV in 2018; his case posed significant challenges, including drug-influenced gingival enlargement and the psychological burden of managing a chronic, relapsing condition. Management and Prognosis: The patient received treatment with an immunosuppressive medication (cyclosporin) along with long-term systemic steroids (prednisolone). In November 2022, cyclosporin was replaced with a steroid-sparing medication (methotrexate) to control drug-influenced gingival enlargement. The periodontal condition improved after 3 months of changing the medication regimen, nonsurgical periodontal therapy, and reinforced oral hygiene practices. The patient undergoes regular medical evaluations every 6 months with the dermatology department. Clinical Implications: Effective management of PV necessitates long-term systemic steroid therapy, often supplemented with immunosuppressive agents, to control the disease and minimize relapse risks. Regular clinical assessments are essential for patients receiving steroid and immunosuppressive treatment to monitor potential side effects, including cyclosporin-induced gingival enlargement. If gingival enlargement is compounded by periodontal disease, it can further complicate the management of PV. Drug-induced gingival enlargement has a favorable prognosis and is reversible upon discontinuation or substitution of the causative medication. An interdisciplinary approach involving primary clinicians, dentists, and the healthcare team is crucial to addressing the patient's signs and symptoms effectively.

Abstract Image

Abstract Image

Abstract Image

环孢素引起的寻常型天疱疮牙周炎患者牙龈肿大1例。
背景:寻常型天疱疮(Pemphigus vulgaris, PV)是一种影响粘膜和皮肤的慢性自身免疫性疾病,具有潜在的生命危险。它的典型特征是口腔内出现水泡,伴有或不伴有随后的皮肤受累。鉴于及时干预的重要性,牙科专业人员负责诊断这种情况,因为及时发现和干预对疾病的进展和预后有很大影响。病例描述:一名44岁男性患者,表现为牙龈肿胀出血,并伴有口腔多处慢性溃疡。他最初于2018年被诊断为PV;他的病例带来了重大挑战,包括药物影响的牙龈扩大和管理慢性复发性疾病的心理负担。治疗和预后:患者接受免疫抑制药物(环孢素)和长期全身类固醇(强的松龙)治疗。2022年11月,环孢素被保留类固醇的药物(甲氨蝶呤)取代,以控制药物影响的牙龈肿大。在改变药物治疗方案、非手术牙周治疗和加强口腔卫生习惯3个月后,牙周状况有所改善。患者每6个月在皮肤科接受定期医学评估。临床意义:有效治疗PV需要长期全身性类固醇治疗,通常辅以免疫抑制剂,以控制疾病并减少复发风险。定期的临床评估对于接受类固醇和免疫抑制治疗的患者至关重要,以监测潜在的副作用,包括环孢素诱导的牙龈肿大。如果牙龈肿大合并牙周病,则会使PV的治疗进一步复杂化。药物性牙龈肿大具有良好的预后,并且在停用或替代致病药物后是可逆的。涉及初级临床医生、牙医和医疗团队的跨学科方法对于有效地解决患者的体征和症状至关重要。
本文章由计算机程序翻译,如有差异,请以英文原文为准。
求助全文
约1分钟内获得全文 求助全文
来源期刊
Case Reports in Dentistry
Case Reports in Dentistry DENTISTRY, ORAL SURGERY & MEDICINE-
CiteScore
1.40
自引率
12.50%
发文量
107
审稿时长
14 weeks
期刊介绍: Case Reports in Dentistry is a peer-reviewed, Open Access journal that publishes case reports and case series in all areas of dentistry, including periodontal diseases, dental implants, oral pathology, as well as oral and maxillofacial surgery.
×
引用
GB/T 7714-2015
复制
MLA
复制
APA
复制
导出至
BibTeX EndNote RefMan NoteFirst NoteExpress
×
提示
您的信息不完整,为了账户安全,请先补充。
现在去补充
×
提示
您因"违规操作"
具体请查看互助需知
我知道了
×
提示
确定
请完成安全验证×
copy
已复制链接
快去分享给好友吧!
我知道了
右上角分享
点击右上角分享
0
联系我们:info@booksci.cn Book学术提供免费学术资源搜索服务,方便国内外学者检索中英文文献。致力于提供最便捷和优质的服务体验。 Copyright © 2023 布克学术 All rights reserved.
京ICP备2023020795号-1
ghs 京公网安备 11010802042870号
Book学术文献互助
Book学术文献互助群
群 号:604180095
Book学术官方微信