Intraindividual crossover comparison of gadobenate dimeglumine-enhanced and gadoxetate disodium-enhanced MRI for characterizing focal liver lesions.

IF 3.6 Q1 RADIOLOGY, NUCLEAR MEDICINE & MEDICAL IMAGING
Wenjie Tang, Yuanqiang Xiao, Sichi Kuang, Dailin Rong, Bingjun He, Luigi Grazioli, Shahid M Hussain, Jin Wang
{"title":"Intraindividual crossover comparison of gadobenate dimeglumine-enhanced and gadoxetate disodium-enhanced MRI for characterizing focal liver lesions.","authors":"Wenjie Tang, Yuanqiang Xiao, Sichi Kuang, Dailin Rong, Bingjun He, Luigi Grazioli, Shahid M Hussain, Jin Wang","doi":"10.1186/s41747-025-00551-8","DOIUrl":null,"url":null,"abstract":"<p><strong>Background: </strong>Gadobenate and gadoxetate are hepatobiliary magnetic resonance imaging (MRI) contrast agents. We intraindividually compared these two agents for the characterization of focal liver lesions (FLLs).</p><p><strong>Methods: </strong>A total of 140 adult subjects were randomized to undergo two 3-T MRI exams separated by 7-14 days, one with 0.05 mmol/kg gadobenate and one with 0.025 mmol/kg gadoxetate. For both exams, we acquired the same unenhanced T1-weighted, T2-weighted, and diffusion-weighted sequences, followed by contrast-enhanced T1-weighted sequences during the dynamic and hepatobiliary phases (HBP) (at 20 min for gadoxetate, at 120 min for gadobenate). Three experienced unaffiliated readers independently evaluated each exam in blinded, randomized order for lesion nature (benign/malignant) and specific lesion diagnosis. McNemar test, Wald tests. paired t-tests and κ statistics were used.</p><p><strong>Results: </strong>A total of 208 FLLs (108 malignant and 100 benign) were confirmed at final diagnosis. Sensitivity and specificity for malignant/benign differentiation ranged from 91.6% to 99.1% and from 87.5% to 90.5% for gadobenate, and from 86.0% to 91.6% and from 79.7% to 83.6% for gadoxetate. Significantly (p ≤ 0.025) higher values for gadobenate were determined for all diagnostic performance parameters except for sensitivity and negative predictive value for one reader. Significantly (p < 0.001) greater accuracy and confidence for specific lesion diagnosis was achieved with gadobenate for two of three blinded readers. Interreader agreement for malignant/benign differentiation was better with gadobenate (κ = 0.91 versus κ = 0.72).</p><p><strong>Conclusion: </strong>Gadobenate was superior to gadoxetate for the differentiation and diagnosis of malignant and benign FLLs for two of three readers. Further confirmatory studies that include a wider representation of different types of FLLs are warranted.</p><p><strong>Relevance statement: </strong>Better diagnostic performance and greater confidence in the characterization of FLLs with gadobenate might improve patient management decisions and timings, and potentially lead to better patient outcomes.</p><p><strong>Key points: </strong>Better diagnostic performance for the differentiation of FLLs was achieved with gadobenate for two of three readers. Reader confidence for lesion diagnosis was greater with gadobenate. Superior dynamic phase imaging with gadobenate was crucial for accurate lesion diagnosis.</p>","PeriodicalId":36926,"journal":{"name":"European Radiology Experimental","volume":"9 1","pages":"23"},"PeriodicalIF":3.6000,"publicationDate":"2025-02-18","publicationTypes":"Journal Article","fieldsOfStudy":null,"isOpenAccess":false,"openAccessPdf":"https://www.ncbi.nlm.nih.gov/pmc/articles/PMC11836252/pdf/","citationCount":"0","resultStr":null,"platform":"Semanticscholar","paperid":null,"PeriodicalName":"European Radiology Experimental","FirstCategoryId":"1085","ListUrlMain":"https://doi.org/10.1186/s41747-025-00551-8","RegionNum":0,"RegionCategory":null,"ArticlePicture":[],"TitleCN":null,"AbstractTextCN":null,"PMCID":null,"EPubDate":"","PubModel":"","JCR":"Q1","JCRName":"RADIOLOGY, NUCLEAR MEDICINE & MEDICAL IMAGING","Score":null,"Total":0}
引用次数: 0

Abstract

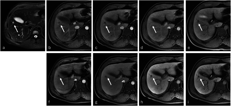
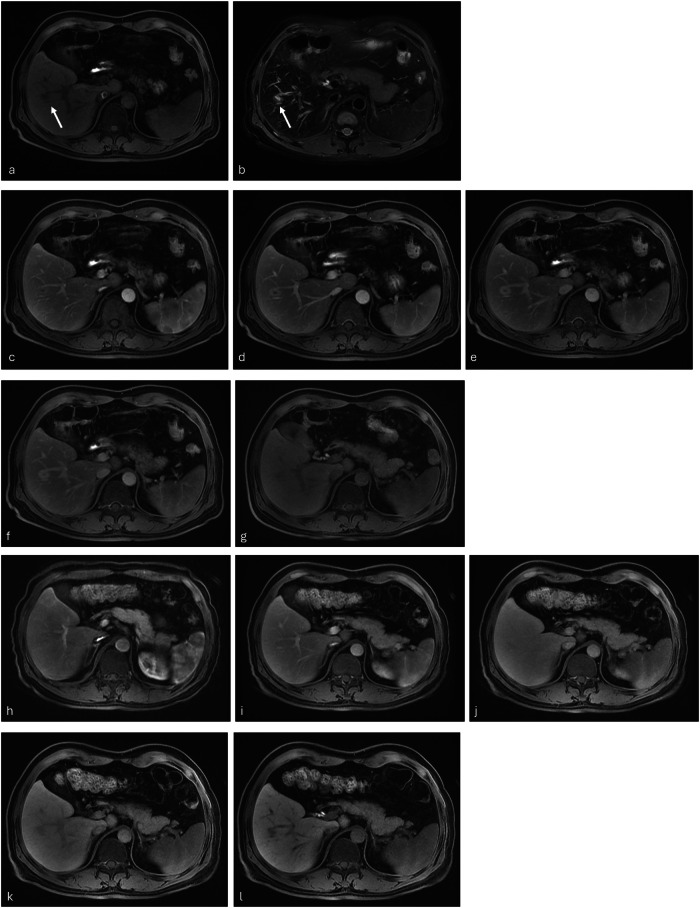
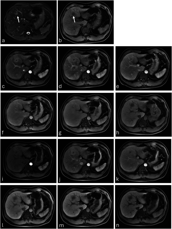
Background: Gadobenate and gadoxetate are hepatobiliary magnetic resonance imaging (MRI) contrast agents. We intraindividually compared these two agents for the characterization of focal liver lesions (FLLs).

Methods: A total of 140 adult subjects were randomized to undergo two 3-T MRI exams separated by 7-14 days, one with 0.05 mmol/kg gadobenate and one with 0.025 mmol/kg gadoxetate. For both exams, we acquired the same unenhanced T1-weighted, T2-weighted, and diffusion-weighted sequences, followed by contrast-enhanced T1-weighted sequences during the dynamic and hepatobiliary phases (HBP) (at 20 min for gadoxetate, at 120 min for gadobenate). Three experienced unaffiliated readers independently evaluated each exam in blinded, randomized order for lesion nature (benign/malignant) and specific lesion diagnosis. McNemar test, Wald tests. paired t-tests and κ statistics were used.

Results: A total of 208 FLLs (108 malignant and 100 benign) were confirmed at final diagnosis. Sensitivity and specificity for malignant/benign differentiation ranged from 91.6% to 99.1% and from 87.5% to 90.5% for gadobenate, and from 86.0% to 91.6% and from 79.7% to 83.6% for gadoxetate. Significantly (p ≤ 0.025) higher values for gadobenate were determined for all diagnostic performance parameters except for sensitivity and negative predictive value for one reader. Significantly (p < 0.001) greater accuracy and confidence for specific lesion diagnosis was achieved with gadobenate for two of three blinded readers. Interreader agreement for malignant/benign differentiation was better with gadobenate (κ = 0.91 versus κ = 0.72).

Conclusion: Gadobenate was superior to gadoxetate for the differentiation and diagnosis of malignant and benign FLLs for two of three readers. Further confirmatory studies that include a wider representation of different types of FLLs are warranted.

Relevance statement: Better diagnostic performance and greater confidence in the characterization of FLLs with gadobenate might improve patient management decisions and timings, and potentially lead to better patient outcomes.

Key points: Better diagnostic performance for the differentiation of FLLs was achieved with gadobenate for two of three readers. Reader confidence for lesion diagnosis was greater with gadobenate. Superior dynamic phase imaging with gadobenate was crucial for accurate lesion diagnosis.

Abstract Image

Abstract Image

Abstract Image

gadoxetate二聚氨基磺酸增强和gadoxetate二钠增强MRI对局灶性肝脏病变特征的个体交叉比较。
背景:Gadobenate和gadoxetate是肝胆磁共振成像(MRI)造影剂。我们单独比较了这两种药物对局灶性肝病变(fll)的表征。方法:140名成年受试者随机接受两次3-T MRI检查,间隔7-14天,一次给药0.05 mmol/kg加多贝酸,一次给药0.025 mmol/kg加多贝酸。在这两项检查中,我们获得了相同的未增强t1加权、t2加权和弥散加权序列,然后在动态期和肝胆期(HBP)(加多西酸20分钟,加多贝酸120分钟)获得了对比增强的t1加权序列。三位经验丰富的独立读者以盲法、随机顺序对病变性质(良性/恶性)和特定病变诊断进行独立评估。McNemar测试,Wald测试。采用配对t检验和κ统计。结果:最终确诊fll 208例,其中恶性108例,良性100例。gadoxetate对良/恶性分化的敏感性和特异性分别为91.6% ~ 99.1%和87.5% ~ 90.5%,gadoxetate对良/恶性分化的敏感性和特异性分别为86.0% ~ 91.6%和79.7% ~ 83.6%。除敏感性和一个阅读器的阴性预测值外,gadobenate在所有诊断性能参数中的值均显著升高(p≤0.025)。结论:三分之二的读者对恶性和良性fll的鉴别和诊断Gadobenate优于gadoxetate。有必要进行进一步的确证性研究,包括更广泛地代表不同类型的fll。相关声明:更好的诊断性能和更大的信心对加苯酸对fll的表征可能会改善患者的管理决策和时机,并可能导致更好的患者预后。重点:在三个读卡器中,有两个使用gadobenate对fll的鉴别诊断效果更好。使用gadobenate时,读者对病变诊断的信心更大。gadobenate的动态相位成像对准确诊断病变至关重要。
本文章由计算机程序翻译,如有差异,请以英文原文为准。
求助全文
约1分钟内获得全文 求助全文
来源期刊
European Radiology Experimental
European Radiology Experimental Medicine-Radiology, Nuclear Medicine and Imaging
CiteScore
6.70
自引率
2.60%
发文量
56
审稿时长
18 weeks
×
引用
GB/T 7714-2015
复制
MLA
复制
APA
复制
导出至
BibTeX EndNote RefMan NoteFirst NoteExpress
×
提示
您的信息不完整,为了账户安全,请先补充。
现在去补充
×
提示
您因"违规操作"
具体请查看互助需知
我知道了
×
提示
确定
请完成安全验证×
copy
已复制链接
快去分享给好友吧!
我知道了
右上角分享
点击右上角分享
0
联系我们:info@booksci.cn Book学术提供免费学术资源搜索服务,方便国内外学者检索中英文文献。致力于提供最便捷和优质的服务体验。 Copyright © 2023 布克学术 All rights reserved.
京ICP备2023020795号-1
ghs 京公网安备 11010802042870号
Book学术文献互助
Book学术文献互助群
群 号:604180095
Book学术官方微信