Scanogram leg length measurement after total hip arthroplasty: not all landmarks are created equal.

IF 2.2 3区 医学 Q2 ORTHOPEDICS
Skeletal Radiology Pub Date : 2025-09-01 Epub Date: 2025-02-19 DOI:10.1007/s00256-025-04895-5
Brian T N Le, Yoan Bourgeault-Gagnon, Matthew C Lyons, Samuel L McCaffrey, Lucy J Salmon, Michael D O'Sullivan
{"title":"Scanogram leg length measurement after total hip arthroplasty: not all landmarks are created equal.","authors":"Brian T N Le, Yoan Bourgeault-Gagnon, Matthew C Lyons, Samuel L McCaffrey, Lucy J Salmon, Michael D O'Sullivan","doi":"10.1007/s00256-025-04895-5","DOIUrl":null,"url":null,"abstract":"<p><strong>Objective: </strong>To compare the magnitude of post-arthroplasty leg length discrepancy (LLD) and incidence of clinically significant LLD measured on CT scanogram using a commonly used measurement method (from the acetabular apex to tibial plafond) to an alternative technique avoiding the use of the acetabular prosthesis as a landmark and to assess inter-observer and intra-rater reliability of the new technique.</p><p><strong>Materials and methods: </strong>In this retrospective study, post-arthroplasty LLD measurements were conducted in 100 hips by two interpreters on CT scanogram scout views from the acetabular apex to the tibial plafond (AA-TP) and the inter-teardrop line to the tibial plafond (IT-TP). Aggregate means and proportions of clinically relevant LLD (≥ 10 mm) were compared between methods. Inter-rater reliability was calculated, and both interpreters repeated measurements on ten randomly selected patients to calculate intra-rater reliability.</p><p><strong>Results: </strong>The commonly used AA-TP technique overestimated LLD by 3.7 mm compared to the IT-TP technique. The odds of LLD measurement exceeding the clinically significant threshold of 10 mm were 3.8 times higher when using the AA-TP technique. Excellent inter-rater (ICC 0.984, 0.958) and intra-rater reliability (ICC > 0.9) were found for both techniques.</p><p><strong>Conclusion: </strong>CT scanogram measurements from the acetabular apex to the tibial plafond often overestimate operative limb length due to reference landmarks in different axial planes. Measurements from the inter-teardrop line to the tibial plafond yield significantly lower LLD values, possibly reflecting actual limb length better. The authors recommend using the inter-teardrop line and tibial plafond as reference landmarks to improve LLD assessment accuracy post-arthroplasty.</p>","PeriodicalId":21783,"journal":{"name":"Skeletal Radiology","volume":" ","pages":"1897-1904"},"PeriodicalIF":2.2000,"publicationDate":"2025-09-01","publicationTypes":"Journal Article","fieldsOfStudy":null,"isOpenAccess":false,"openAccessPdf":"https://www.ncbi.nlm.nih.gov/pmc/articles/PMC12241281/pdf/","citationCount":"0","resultStr":null,"platform":"Semanticscholar","paperid":null,"PeriodicalName":"Skeletal Radiology","FirstCategoryId":"3","ListUrlMain":"https://doi.org/10.1007/s00256-025-04895-5","RegionNum":3,"RegionCategory":"医学","ArticlePicture":[],"TitleCN":null,"AbstractTextCN":null,"PMCID":null,"EPubDate":"2025/2/19 0:00:00","PubModel":"Epub","JCR":"Q2","JCRName":"ORTHOPEDICS","Score":null,"Total":0}
引用次数: 0

Abstract

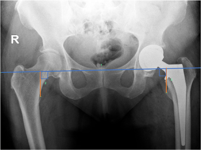
Objective: To compare the magnitude of post-arthroplasty leg length discrepancy (LLD) and incidence of clinically significant LLD measured on CT scanogram using a commonly used measurement method (from the acetabular apex to tibial plafond) to an alternative technique avoiding the use of the acetabular prosthesis as a landmark and to assess inter-observer and intra-rater reliability of the new technique.

Materials and methods: In this retrospective study, post-arthroplasty LLD measurements were conducted in 100 hips by two interpreters on CT scanogram scout views from the acetabular apex to the tibial plafond (AA-TP) and the inter-teardrop line to the tibial plafond (IT-TP). Aggregate means and proportions of clinically relevant LLD (≥ 10 mm) were compared between methods. Inter-rater reliability was calculated, and both interpreters repeated measurements on ten randomly selected patients to calculate intra-rater reliability.

Results: The commonly used AA-TP technique overestimated LLD by 3.7 mm compared to the IT-TP technique. The odds of LLD measurement exceeding the clinically significant threshold of 10 mm were 3.8 times higher when using the AA-TP technique. Excellent inter-rater (ICC 0.984, 0.958) and intra-rater reliability (ICC > 0.9) were found for both techniques.

Conclusion: CT scanogram measurements from the acetabular apex to the tibial plafond often overestimate operative limb length due to reference landmarks in different axial planes. Measurements from the inter-teardrop line to the tibial plafond yield significantly lower LLD values, possibly reflecting actual limb length better. The authors recommend using the inter-teardrop line and tibial plafond as reference landmarks to improve LLD assessment accuracy post-arthroplasty.

Abstract Image

Abstract Image

Abstract Image

全髋关节置换术后的扫描图腿长测量:并非所有的标志都是相同的。
目的:比较关节置换术后腿长差异(LLD)的大小和临床显著LLD的发生率,采用一种常用的测量方法(从髋臼尖端到胫骨平台)与一种避免使用髋臼假体作为标记的替代技术,并评估新技术的观察者间和评估者内可靠性。材料和方法:在这项回顾性研究中,两名口译员在CT扫描图上对100个髋关节进行了髋关节置换术后LLD测量,从髋臼尖到胫骨平台(AA-TP)和泪滴间线到胫骨平台(IT-TP)。比较两种方法的临床相关LLD(≥10 mm)的总平均值和比例。评估者间信度被计算,两名译员对随机选择的10名患者重复测量以计算评估者内信度。结果:常用的AA-TP技术比IT-TP技术高估LLD 3.7 mm。当使用AA-TP技术时,LLD测量超过临床显著阈值10mm的几率高出3.8倍。两种方法的间信度(ICC 0.984, 0.958)和内信度(ICC > 0.9)均良好。结论:由于不同轴向平面的参考标志,从髋臼尖端到胫骨平台的CT扫描测量常高估手术肢体长度。从泪滴间线到胫骨平台的测量结果显示LLD值明显较低,可能更好地反映了实际肢体长度。作者建议使用泪滴间线和胫骨平台作为参考标志,以提高关节置换术后LLD评估的准确性。
本文章由计算机程序翻译,如有差异,请以英文原文为准。
求助全文
约1分钟内获得全文 求助全文
来源期刊
Skeletal Radiology
Skeletal Radiology 医学-核医学
CiteScore
4.40
自引率
9.50%
发文量
253
审稿时长
3-8 weeks
期刊介绍: Skeletal Radiology provides a forum for the dissemination of current knowledge and information dealing with disorders of the musculoskeletal system including the spine. While emphasizing the radiological aspects of the many varied skeletal abnormalities, the journal also adopts an interdisciplinary approach, reflecting the membership of the International Skeletal Society. Thus, the anatomical, pathological, physiological, clinical, metabolic and epidemiological aspects of the many entities affecting the skeleton receive appropriate consideration. This is the Journal of the International Skeletal Society and the Official Journal of the Society of Skeletal Radiology and the Australasian Musculoskelelal Imaging Group.
×
引用
GB/T 7714-2015
复制
MLA
复制
APA
复制
导出至
BibTeX EndNote RefMan NoteFirst NoteExpress
×
提示
您的信息不完整,为了账户安全,请先补充。
现在去补充
×
提示
您因"违规操作"
具体请查看互助需知
我知道了
×
提示
确定
请完成安全验证×
copy
已复制链接
快去分享给好友吧!
我知道了
右上角分享
点击右上角分享
0
联系我们:info@booksci.cn Book学术提供免费学术资源搜索服务,方便国内外学者检索中英文文献。致力于提供最便捷和优质的服务体验。 Copyright © 2023 布克学术 All rights reserved.
京ICP备2023020795号-1
ghs 京公网安备 11010802042870号
Book学术文献互助
Book学术文献互助群
群 号:604180095
Book学术官方微信