Investigating the Impact of Turmeric on Neuroinflammation and Degenerative Changes in Repetitive Traumatic Brain Injuries: Insights from Murine Model.

Q3 Medicine
Korean Journal of Neurotrauma Pub Date : 2025-01-30 eCollection Date: 2025-01-01 DOI:10.13004/kjnt.2025.21.e6
Andre Marolop Pangihutan Siahaan, Alvin Ivander, Nicholas Rizki Banta Ginting, Muhammad Alfath Bagus Pratama, Christine Silalahi, Tri Mulyani Aries, Michael Christian Martua Purba
{"title":"Investigating the Impact of Turmeric on Neuroinflammation and Degenerative Changes in Repetitive Traumatic Brain Injuries: Insights from Murine Model.","authors":"Andre Marolop Pangihutan Siahaan, Alvin Ivander, Nicholas Rizki Banta Ginting, Muhammad Alfath Bagus Pratama, Christine Silalahi, Tri Mulyani Aries, Michael Christian Martua Purba","doi":"10.13004/kjnt.2025.21.e6","DOIUrl":null,"url":null,"abstract":"<p><strong>Objective: </strong>Traumatic brain injury (TBI) is a leading cause of death and disability worldwide. Preclinical and clinical studies investigating the effects of curcumin on TBI indicate that curcumin can modulate essential signaling pathways and molecules that mediate neuroinflammation in TBI. This study aimed to explore the effects of turmeric on neuroinflammation and neurodegenerative disorder following repetitive traumatic brain injuries (rTBIs) in a rat model.</p><p><strong>Methods: </strong>Sixty male <i>Rattus norvegicus</i> were housed in a controlled environment. A modified Marmarou weight drop model was used. Turmeric extract was administered once daily in the morning. The avidin-biotin-peroxidase complex technique was used to evaluate the expression of all markers. Following incubation with normal rabbit serum, the slides were subsequently incubated with monoclonal antibodies targeting tau protein (AT-8), TAR DNA-binding protein 43 (TDP-43), glial fibrillary acidic protein (GFAP), and tumor necrosis factor (TNF)-α.</p><p><strong>Results: </strong>rTBI significantly increased the levels of inflammatory markers, such as TNF-α and GFAP. A substantial decrease of TNF-α expression was observed in the treatment group. A distinct trend was observed for GFAP expression, which was markedly decreased after the rest period compared to that in the trauma group. Phosphorylated tau expression decreased in both the treatment and pretreatment groups relative to that in the trauma and rest groups. TDP-43 expression was also significantly decreased in the treatment and pretreatment groups.</p><p><strong>Conclusion: </strong>In conclusion, Turmeric demonstrates significant potential as a neuroprotective and anti-inflammatory agent in rTBI, especially when used as a preventive measure. Our findings challenge the significance of rest in concussion management.</p>","PeriodicalId":36879,"journal":{"name":"Korean Journal of Neurotrauma","volume":"21 1","pages":"18-31"},"PeriodicalIF":0.0000,"publicationDate":"2025-01-30","publicationTypes":"Journal Article","fieldsOfStudy":null,"isOpenAccess":false,"openAccessPdf":"https://www.ncbi.nlm.nih.gov/pmc/articles/PMC11832280/pdf/","citationCount":"0","resultStr":null,"platform":"Semanticscholar","paperid":null,"PeriodicalName":"Korean Journal of Neurotrauma","FirstCategoryId":"1085","ListUrlMain":"https://doi.org/10.13004/kjnt.2025.21.e6","RegionNum":0,"RegionCategory":null,"ArticlePicture":[],"TitleCN":null,"AbstractTextCN":null,"PMCID":null,"EPubDate":"2025/1/1 0:00:00","PubModel":"eCollection","JCR":"Q3","JCRName":"Medicine","Score":null,"Total":0}
引用次数: 0

Abstract

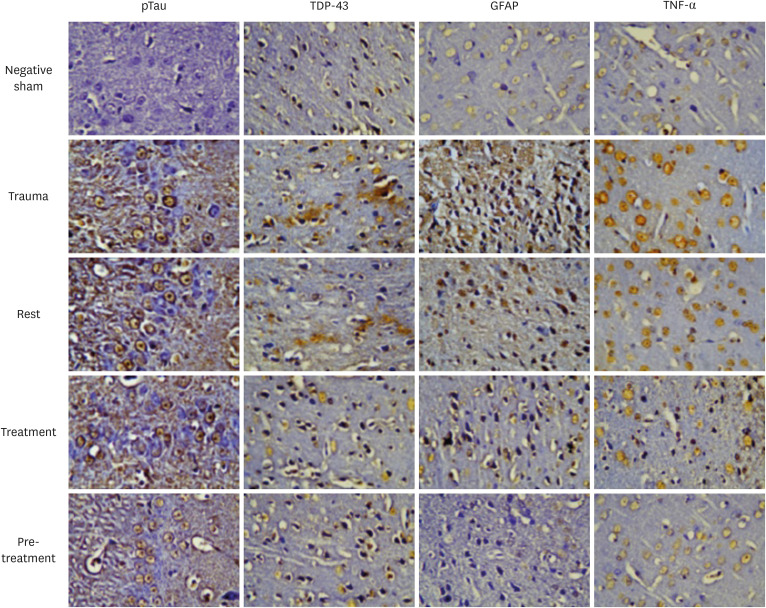
Objective: Traumatic brain injury (TBI) is a leading cause of death and disability worldwide. Preclinical and clinical studies investigating the effects of curcumin on TBI indicate that curcumin can modulate essential signaling pathways and molecules that mediate neuroinflammation in TBI. This study aimed to explore the effects of turmeric on neuroinflammation and neurodegenerative disorder following repetitive traumatic brain injuries (rTBIs) in a rat model.

Methods: Sixty male Rattus norvegicus were housed in a controlled environment. A modified Marmarou weight drop model was used. Turmeric extract was administered once daily in the morning. The avidin-biotin-peroxidase complex technique was used to evaluate the expression of all markers. Following incubation with normal rabbit serum, the slides were subsequently incubated with monoclonal antibodies targeting tau protein (AT-8), TAR DNA-binding protein 43 (TDP-43), glial fibrillary acidic protein (GFAP), and tumor necrosis factor (TNF)-α.

Results: rTBI significantly increased the levels of inflammatory markers, such as TNF-α and GFAP. A substantial decrease of TNF-α expression was observed in the treatment group. A distinct trend was observed for GFAP expression, which was markedly decreased after the rest period compared to that in the trauma group. Phosphorylated tau expression decreased in both the treatment and pretreatment groups relative to that in the trauma and rest groups. TDP-43 expression was also significantly decreased in the treatment and pretreatment groups.

Conclusion: In conclusion, Turmeric demonstrates significant potential as a neuroprotective and anti-inflammatory agent in rTBI, especially when used as a preventive measure. Our findings challenge the significance of rest in concussion management.

Abstract Image

Abstract Image

Abstract Image

研究姜黄对重复性创伤性脑损伤神经炎症和退行性改变的影响:来自小鼠模型的见解。
目的:外伤性脑损伤(TBI)是世界范围内导致死亡和残疾的主要原因。临床前和临床研究调查了姜黄素对TBI的影响,表明姜黄素可以调节TBI中介导神经炎症的必要信号通路和分子。本研究旨在探讨姜黄对大鼠重复性创伤性脑损伤(rTBIs)后神经炎症和神经退行性疾病的影响。方法:雄性褐家鼠60只,置于控制环境中饲养。采用改进的Marmarou减重模型。姜黄提取物每天早晨给药一次。采用亲和素-生物素-过氧化物酶复合物技术评价各标记物的表达。与正常兔血清孵育后,将载玻片与靶向tau蛋白(AT-8)、TAR dna结合蛋白43 (TDP-43)、胶质纤维酸性蛋白(GFAP)和肿瘤坏死因子(TNF)-α的单克隆抗体孵育。结果:rTBI显著提高炎症标志物TNF-α、GFAP水平。治疗组TNF-α表达明显降低。GFAP表达有明显的趋势,与创伤组相比,休息后GFAP表达明显下降。与创伤组和休息组相比,治疗组和预处理组磷酸化tau表达均下降。治疗组和预处理组TDP-43的表达也明显降低。结论:姜黄在rTBI中具有重要的神经保护和抗炎作用,特别是作为预防措施时。我们的发现挑战了休息在脑震荡治疗中的重要性。
本文章由计算机程序翻译,如有差异,请以英文原文为准。
求助全文
约1分钟内获得全文 求助全文
来源期刊
CiteScore
1.10
自引率
0.00%
发文量
41
×
引用
GB/T 7714-2015
复制
MLA
复制
APA
复制
导出至
BibTeX EndNote RefMan NoteFirst NoteExpress
×
提示
您的信息不完整,为了账户安全,请先补充。
现在去补充
×
提示
您因"违规操作"
具体请查看互助需知
我知道了
×
提示
确定
请完成安全验证×
copy
已复制链接
快去分享给好友吧!
我知道了
右上角分享
点击右上角分享
0
联系我们:info@booksci.cn Book学术提供免费学术资源搜索服务,方便国内外学者检索中英文文献。致力于提供最便捷和优质的服务体验。 Copyright © 2023 布克学术 All rights reserved.
京ICP备2023020795号-1
ghs 京公网安备 11010802042870号
Book学术文献互助
Book学术文献互助群
群 号:604180095
Book学术官方微信