A case of atypical infantile de novo antiphospholipid syndrome presenting with neonatal ischemic stroke without any triggering risk factors as a "second hit" and review of the literature.

IF 3.1 4区 医学 Q3 IMMUNOLOGY
Doruk Bor, Mustafa Vakur Bor
{"title":"A case of atypical infantile de novo antiphospholipid syndrome presenting with neonatal ischemic stroke without any triggering risk factors as a \"second hit\" and review of the literature.","authors":"Doruk Bor, Mustafa Vakur Bor","doi":"10.1007/s12026-025-09605-w","DOIUrl":null,"url":null,"abstract":"<p><p>Infantile antiphospholipid syndrome (APS) is a rare condition arising from either transplacental transfer of antiphospholipid antibodies (aPL) from the mother or de novo antibody production in the newborn. We present a unique case of cerebral artery thrombosis with persistently elevated anti-cardiolipin and anti-β2-glycoprotein-I antibodies, despite the absence of maternal aPL, suggesting primary de novo aPL synthesis. While the prevailing \"second-hit\" hypothesis suggests that additional thrombotic risk factors are required to trigger APS in infants, our case exhibited no prenatal, maternal, or thrombophilic risk factors. A literature review of 20 reported cases further confirmed that ours was the only case without additional thrombotic triggers among the 18 cases with complete data, challenging the necessity of a \"second hit\" in neonatal APS. Notably, aPL levels normalized over time without recurrence, raising questions about the need for long-term anticoagulation in select cases, including ours. These findings suggest a potential transient form of infantile APS and highlight the importance of sequential aPL testing to guide treatment. Further research is required to elucidate the mechanisms underlying de novo aPL synthesis and its clinical implications.</p>","PeriodicalId":13389,"journal":{"name":"Immunologic Research","volume":"73 1","pages":"53"},"PeriodicalIF":3.1000,"publicationDate":"2025-02-19","publicationTypes":"Journal Article","fieldsOfStudy":null,"isOpenAccess":false,"openAccessPdf":"https://www.ncbi.nlm.nih.gov/pmc/articles/PMC11839866/pdf/","citationCount":"0","resultStr":null,"platform":"Semanticscholar","paperid":null,"PeriodicalName":"Immunologic Research","FirstCategoryId":"3","ListUrlMain":"https://doi.org/10.1007/s12026-025-09605-w","RegionNum":4,"RegionCategory":"医学","ArticlePicture":[],"TitleCN":null,"AbstractTextCN":null,"PMCID":null,"EPubDate":"","PubModel":"","JCR":"Q3","JCRName":"IMMUNOLOGY","Score":null,"Total":0}
引用次数: 0

Abstract

Infantile antiphospholipid syndrome (APS) is a rare condition arising from either transplacental transfer of antiphospholipid antibodies (aPL) from the mother or de novo antibody production in the newborn. We present a unique case of cerebral artery thrombosis with persistently elevated anti-cardiolipin and anti-β2-glycoprotein-I antibodies, despite the absence of maternal aPL, suggesting primary de novo aPL synthesis. While the prevailing "second-hit" hypothesis suggests that additional thrombotic risk factors are required to trigger APS in infants, our case exhibited no prenatal, maternal, or thrombophilic risk factors. A literature review of 20 reported cases further confirmed that ours was the only case without additional thrombotic triggers among the 18 cases with complete data, challenging the necessity of a "second hit" in neonatal APS. Notably, aPL levels normalized over time without recurrence, raising questions about the need for long-term anticoagulation in select cases, including ours. These findings suggest a potential transient form of infantile APS and highlight the importance of sequential aPL testing to guide treatment. Further research is required to elucidate the mechanisms underlying de novo aPL synthesis and its clinical implications.

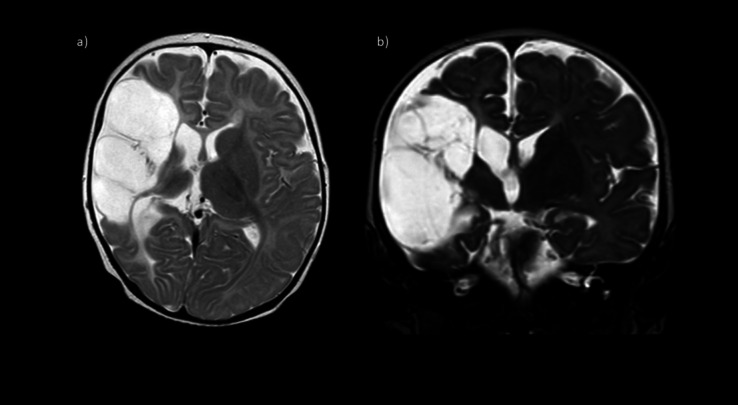
Abstract Image

非典型婴儿新生抗磷脂综合征一例,表现为新生儿缺血性中风,无任何触发危险因素作为“第二次打击”和文献回顾。
婴儿抗磷脂综合征(APS)是一种罕见的疾病,由母亲的抗磷脂抗体(aPL)经胎盘转移或新生儿的新生抗体产生引起。我们报告了一个独特的脑动脉血栓病例,尽管缺乏母体aPL,但抗心磷脂和抗β2-糖蛋白- i抗体持续升高,提示原发性新生aPL合成。虽然流行的“二次冲击”假说认为需要额外的血栓危险因素来触发婴儿APS,但我们的病例没有显示出产前、母亲或亲血栓的危险因素。对20例报告病例的文献回顾进一步证实,我们的病例是18例数据完整的病例中唯一没有额外血栓触发的病例,挑战了新生儿APS“二次打击”的必要性。值得注意的是,随着时间的推移,aPL水平正常化而没有复发,这就提出了包括我们在内的某些病例是否需要长期抗凝治疗的问题。这些发现提示了一种潜在的短暂型婴儿APS,并强调了序贯aPL检测对指导治疗的重要性。需要进一步的研究来阐明新生aPL合成的机制及其临床意义。
本文章由计算机程序翻译,如有差异,请以英文原文为准。
求助全文
约1分钟内获得全文 求助全文
来源期刊
Immunologic Research
Immunologic Research 医学-免疫学
CiteScore
6.90
自引率
0.00%
发文量
83
审稿时长
6-12 weeks
期刊介绍: IMMUNOLOGIC RESEARCH represents a unique medium for the presentation, interpretation, and clarification of complex scientific data. Information is presented in the form of interpretive synthesis reviews, original research articles, symposia, editorials, and theoretical essays. The scope of coverage extends to cellular immunology, immunogenetics, molecular and structural immunology, immunoregulation and autoimmunity, immunopathology, tumor immunology, host defense and microbial immunity, including viral immunology, immunohematology, mucosal immunity, complement, transplantation immunology, clinical immunology, neuroimmunology, immunoendocrinology, immunotoxicology, translational immunology, and history of immunology.
×
引用
GB/T 7714-2015
复制
MLA
复制
APA
复制
导出至
BibTeX EndNote RefMan NoteFirst NoteExpress
×
提示
您的信息不完整,为了账户安全,请先补充。
现在去补充
×
提示
您因"违规操作"
具体请查看互助需知
我知道了
×
提示
确定
请完成安全验证×
copy
已复制链接
快去分享给好友吧!
我知道了
右上角分享
点击右上角分享
0
联系我们:info@booksci.cn Book学术提供免费学术资源搜索服务,方便国内外学者检索中英文文献。致力于提供最便捷和优质的服务体验。 Copyright © 2023 布克学术 All rights reserved.
京ICP备2023020795号-1
ghs 京公网安备 11010802042870号
Book学术文献互助
Book学术文献互助群
群 号:604180095
Book学术官方微信