Epithelioid Hemangioendothelioma (EHE) Mimicking Mesothelioma: Case Presentation and Review.

IF 0.6 Q4 ONCOLOGY
Case Reports in Oncological Medicine Pub Date : 2025-02-11 eCollection Date: 2025-01-01 DOI:10.1155/crom/9459565
Kabir Grewal, Saivaroon Gajagowni, Elyse Lopez, Kayanaat Grewal, Son Viet Nguyen
{"title":"Epithelioid Hemangioendothelioma (EHE) Mimicking Mesothelioma: Case Presentation and Review.","authors":"Kabir Grewal, Saivaroon Gajagowni, Elyse Lopez, Kayanaat Grewal, Son Viet Nguyen","doi":"10.1155/crom/9459565","DOIUrl":null,"url":null,"abstract":"<p><p>Epithelioid hemangioendothelioma (EHE) is an extremely rare vascular sarcoma that can initially present with a myriad of symptoms anywhere in the body. Imaging findings are often nonspecific, and the pathology tends to have overlap with other malignancies. As a result, it can be quite difficult to suspect and diagnose EHE. We present a case of pulmonary EHE in a 41-year-old female with left pleural thickening and subclavian tumor thrombus who was initially misdiagnosed and treated as mesothelioma. This instance demonstrates the importance of maintaining a broad differential and the utilization of repeat biopsies and next-generation sequencing for questionable diagnoses of atypical malignancies.</p>","PeriodicalId":9636,"journal":{"name":"Case Reports in Oncological Medicine","volume":"2025 ","pages":"9459565"},"PeriodicalIF":0.6000,"publicationDate":"2025-02-11","publicationTypes":"Journal Article","fieldsOfStudy":null,"isOpenAccess":false,"openAccessPdf":"https://www.ncbi.nlm.nih.gov/pmc/articles/PMC11835476/pdf/","citationCount":"0","resultStr":null,"platform":"Semanticscholar","paperid":null,"PeriodicalName":"Case Reports in Oncological Medicine","FirstCategoryId":"1085","ListUrlMain":"https://doi.org/10.1155/crom/9459565","RegionNum":0,"RegionCategory":null,"ArticlePicture":[],"TitleCN":null,"AbstractTextCN":null,"PMCID":null,"EPubDate":"2025/1/1 0:00:00","PubModel":"eCollection","JCR":"Q4","JCRName":"ONCOLOGY","Score":null,"Total":0}
引用次数: 0

Abstract

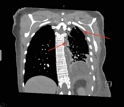
Epithelioid hemangioendothelioma (EHE) is an extremely rare vascular sarcoma that can initially present with a myriad of symptoms anywhere in the body. Imaging findings are often nonspecific, and the pathology tends to have overlap with other malignancies. As a result, it can be quite difficult to suspect and diagnose EHE. We present a case of pulmonary EHE in a 41-year-old female with left pleural thickening and subclavian tumor thrombus who was initially misdiagnosed and treated as mesothelioma. This instance demonstrates the importance of maintaining a broad differential and the utilization of repeat biopsies and next-generation sequencing for questionable diagnoses of atypical malignancies.

Abstract Image

Abstract Image

Abstract Image

上皮样血管内皮瘤(EHE)模拟间皮瘤:病例报告和回顾。
上皮样血管内皮瘤(EHE)是一种极其罕见的血管肉瘤,最初可以在身体的任何地方出现无数的症状。影像学表现通常是非特异性的,病理倾向于与其他恶性肿瘤重叠。因此,很难怀疑和诊断EHE。我们报告一例41岁女性左胸膜增厚和锁骨下肿瘤血栓,最初被误诊为间皮瘤。这个例子表明了维持广泛的鉴别和使用重复活检和下一代测序对非典型恶性肿瘤的可疑诊断的重要性。
本文章由计算机程序翻译,如有差异,请以英文原文为准。
求助全文
约1分钟内获得全文 求助全文
来源期刊
自引率
0.00%
发文量
11
审稿时长
16 weeks
期刊介绍: Case Reports in Oncological Medicine is a peer-reviewed, Open Access journal that publishes case reports and case series related to breast cancer, lung cancer, gastrointestinal cancer, skin cancer, head and neck cancer, paediatric oncology, neurooncology as well as genitourinary cancer.
×
引用
GB/T 7714-2015
复制
MLA
复制
APA
复制
导出至
BibTeX EndNote RefMan NoteFirst NoteExpress
×
提示
您的信息不完整,为了账户安全,请先补充。
现在去补充
×
提示
您因"违规操作"
具体请查看互助需知
我知道了
×
提示
确定
请完成安全验证×
copy
已复制链接
快去分享给好友吧!
我知道了
右上角分享
点击右上角分享
0
联系我们:info@booksci.cn Book学术提供免费学术资源搜索服务,方便国内外学者检索中英文文献。致力于提供最便捷和优质的服务体验。 Copyright © 2023 布克学术 All rights reserved.
京ICP备2023020795号-1
ghs 京公网安备 11010802042870号
Book学术文献互助
Book学术文献互助群
群 号:604180095
Book学术官方微信