Bullous Lichen Planus Treated with Adalimumab: A Case Report.

IF 0.8 Q4 DERMATOLOGY
Case Reports in Dermatology Pub Date : 2025-01-27 eCollection Date: 2025-01-01 DOI:10.1159/000543523
Bashayr S Alhubayshi, Abdulaziz A Alnoshan, Ahmed A Alhumidi, Asem Shadid
{"title":"Bullous Lichen Planus Treated with Adalimumab: A Case Report.","authors":"Bashayr S Alhubayshi, Abdulaziz A Alnoshan, Ahmed A Alhumidi, Asem Shadid","doi":"10.1159/000543523","DOIUrl":null,"url":null,"abstract":"<p><strong>Introduction: </strong>Bullous lichen planus is a rare variant of lichen planus that is characterized by vesiculobullous lesions developing in the setting of preexisting LP lesions with a burning and painful feeling. Bullous lichen planus treatment is difficult since so few examples of the condition have been documented in the literature.</p><p><strong>Case presentation: </strong>A 46-year-old female presented to our outpatient clinic with pruritic violaceous bullae involving lower extremities and oral mucosa for 8 years. After extensive investigations, a diagnosis of bullous lichen planus was made and successfully treated with adalimumab after failure of other treatment options.</p><p><strong>Conclusion: </strong>Adalimumab may represent a promising, efficacious, and safe monotherapy option for the management of bullous lichen planus. The therapeutic value of this novel off-label use should be assessed in controlled clinical trials.</p>","PeriodicalId":9619,"journal":{"name":"Case Reports in Dermatology","volume":"17 1","pages":"42-47"},"PeriodicalIF":0.8000,"publicationDate":"2025-01-27","publicationTypes":"Journal Article","fieldsOfStudy":null,"isOpenAccess":false,"openAccessPdf":"https://www.ncbi.nlm.nih.gov/pmc/articles/PMC11835416/pdf/","citationCount":"0","resultStr":null,"platform":"Semanticscholar","paperid":null,"PeriodicalName":"Case Reports in Dermatology","FirstCategoryId":"1085","ListUrlMain":"https://doi.org/10.1159/000543523","RegionNum":0,"RegionCategory":null,"ArticlePicture":[],"TitleCN":null,"AbstractTextCN":null,"PMCID":null,"EPubDate":"2025/1/1 0:00:00","PubModel":"eCollection","JCR":"Q4","JCRName":"DERMATOLOGY","Score":null,"Total":0}
引用次数: 0

Abstract

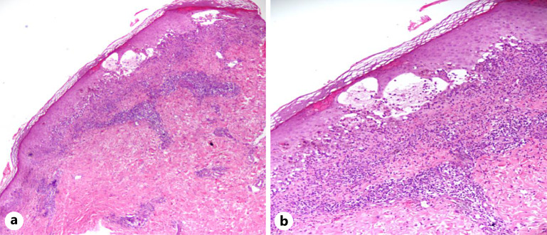
Introduction: Bullous lichen planus is a rare variant of lichen planus that is characterized by vesiculobullous lesions developing in the setting of preexisting LP lesions with a burning and painful feeling. Bullous lichen planus treatment is difficult since so few examples of the condition have been documented in the literature.

Case presentation: A 46-year-old female presented to our outpatient clinic with pruritic violaceous bullae involving lower extremities and oral mucosa for 8 years. After extensive investigations, a diagnosis of bullous lichen planus was made and successfully treated with adalimumab after failure of other treatment options.

Conclusion: Adalimumab may represent a promising, efficacious, and safe monotherapy option for the management of bullous lichen planus. The therapeutic value of this novel off-label use should be assessed in controlled clinical trials.

Abstract Image

Abstract Image

Abstract Image

阿达木单抗治疗大疱性扁平苔藓1例。
大疱性扁平苔藓是一种罕见的扁平苔藓变体,其特征是在先前存在的LP病变的基础上发生囊泡性病变,伴有灼烧和疼痛的感觉。大疱性扁平苔藓的治疗是困难的,因为在文献中记录的情况很少。病例介绍:一名46岁女性因瘙痒性紫色大疱累及下肢及口腔黏膜8年就诊于门诊。经过广泛的调查,诊断为大疱性扁平苔藓,并在其他治疗方案失败后成功使用阿达木单抗治疗。结论:阿达木单抗可能是治疗大疱性扁平苔藓的一种有希望、有效和安全的单一治疗选择。这种新型超说明书用药的治疗价值应在对照临床试验中进行评估。
本文章由计算机程序翻译,如有差异,请以英文原文为准。
求助全文
约1分钟内获得全文 求助全文
来源期刊
CiteScore
1.60
自引率
0.00%
发文量
57
审稿时长
9 weeks
×
引用
GB/T 7714-2015
复制
MLA
复制
APA
复制
导出至
BibTeX EndNote RefMan NoteFirst NoteExpress
×
提示
您的信息不完整,为了账户安全,请先补充。
现在去补充
×
提示
您因"违规操作"
具体请查看互助需知
我知道了
×
提示
确定
请完成安全验证×
copy
已复制链接
快去分享给好友吧!
我知道了
右上角分享
点击右上角分享
0
联系我们:info@booksci.cn Book学术提供免费学术资源搜索服务,方便国内外学者检索中英文文献。致力于提供最便捷和优质的服务体验。 Copyright © 2023 布克学术 All rights reserved.
京ICP备2023020795号-1
ghs 京公网安备 11010802042870号
Book学术文献互助
Book学术文献互助群
群 号:604180095
Book学术官方微信