Serological determination of Trypanosoma cruzi in northern region of the State of Mexico.

IF 2 3区 医学 Q2 PARASITOLOGY
José Miguel Padilla-Valdez, Alberto Antonio-Campos, Yessenia Montes-Vergara, José Luis González-Quiroz, María Lilia Domínguez-López, Fernando Martínez-Hernández, Fernando Buendía-Salcedo, Felipe Bolaños-Rosales, Ricardo Alejandre-Aguilar, Nancy Rivas
{"title":"Serological determination of Trypanosoma cruzi in northern region of the State of Mexico.","authors":"José Miguel Padilla-Valdez, Alberto Antonio-Campos, Yessenia Montes-Vergara, José Luis González-Quiroz, María Lilia Domínguez-López, Fernando Martínez-Hernández, Fernando Buendía-Salcedo, Felipe Bolaños-Rosales, Ricardo Alejandre-Aguilar, Nancy Rivas","doi":"10.1007/s00436-025-08464-6","DOIUrl":null,"url":null,"abstract":"<p><p>Chagas disease, caused by Trypanosoma cruzi, remains a significant public health problem in Mexico, particularly challenging to diagnose during its chronic phase, due to low parasitemia and the complex immune response. According to the Pan American Health Organization, no single test is sufficiently sensitive or specific to reliably detect chronic Chagas disease, requiring the use of multiple serological methods when results are inconclusive. This study aimed to assess the seroprevalence of Chagas disease in the largely uncharted municipalities of the North of State of Mexico. A total of 250 serum samples from 17 municipalities were analyzed using a comprehensive approach involving three serological tests: the BIO-CHAGAS commercial kit (MEXLAB®), an ELISA test with antigens derived from an endemic strain, and a confirmatory Western blot analysis. The results revealed that 240 samples were negative, 3 were inconclusive, and 7 were positive, yielding a seroprevalence rate of 2.8% (7/250). The endemicity demonstrated in the municipalities of Hueypoxtla and Tequixquiac, combined with the documented presence of the vector Triatoma barberi in these areas, suggests an ongoing risk of T. cruzi transmission. These findings underscore the urgent need for targeted public health interventions, including increased surveillance, community awareness, vector control programs, screening tests to identify cases, and prompt treatment, to curb the spread of Chagas disease in this region.</p>","PeriodicalId":19968,"journal":{"name":"Parasitology Research","volume":"124 2","pages":"23"},"PeriodicalIF":2.0000,"publicationDate":"2025-02-18","publicationTypes":"Journal Article","fieldsOfStudy":null,"isOpenAccess":false,"openAccessPdf":"https://www.ncbi.nlm.nih.gov/pmc/articles/PMC11835914/pdf/","citationCount":"0","resultStr":null,"platform":"Semanticscholar","paperid":null,"PeriodicalName":"Parasitology Research","FirstCategoryId":"3","ListUrlMain":"https://doi.org/10.1007/s00436-025-08464-6","RegionNum":3,"RegionCategory":"医学","ArticlePicture":[],"TitleCN":null,"AbstractTextCN":null,"PMCID":null,"EPubDate":"","PubModel":"","JCR":"Q2","JCRName":"PARASITOLOGY","Score":null,"Total":0}
引用次数: 0

Abstract

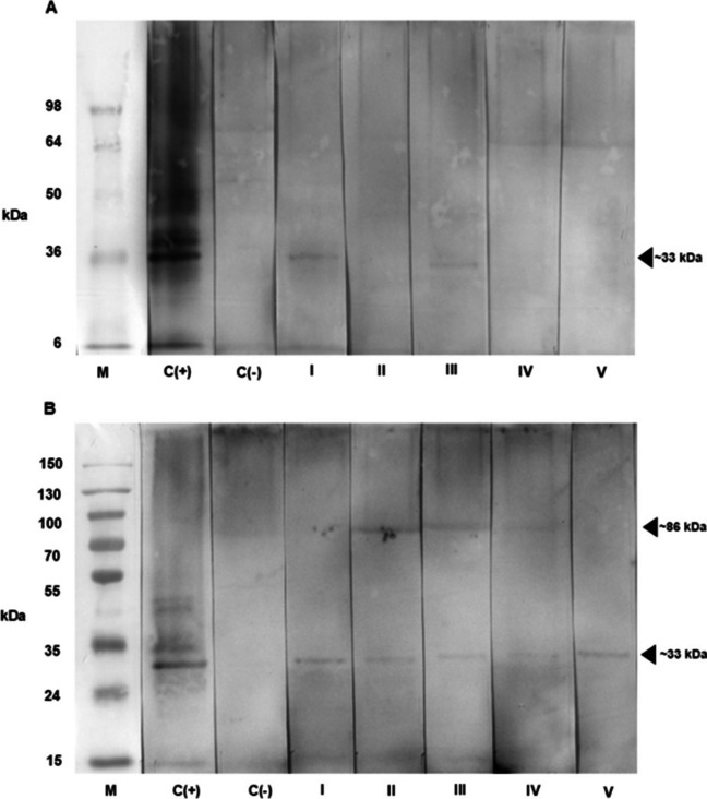
Chagas disease, caused by Trypanosoma cruzi, remains a significant public health problem in Mexico, particularly challenging to diagnose during its chronic phase, due to low parasitemia and the complex immune response. According to the Pan American Health Organization, no single test is sufficiently sensitive or specific to reliably detect chronic Chagas disease, requiring the use of multiple serological methods when results are inconclusive. This study aimed to assess the seroprevalence of Chagas disease in the largely uncharted municipalities of the North of State of Mexico. A total of 250 serum samples from 17 municipalities were analyzed using a comprehensive approach involving three serological tests: the BIO-CHAGAS commercial kit (MEXLAB®), an ELISA test with antigens derived from an endemic strain, and a confirmatory Western blot analysis. The results revealed that 240 samples were negative, 3 were inconclusive, and 7 were positive, yielding a seroprevalence rate of 2.8% (7/250). The endemicity demonstrated in the municipalities of Hueypoxtla and Tequixquiac, combined with the documented presence of the vector Triatoma barberi in these areas, suggests an ongoing risk of T. cruzi transmission. These findings underscore the urgent need for targeted public health interventions, including increased surveillance, community awareness, vector control programs, screening tests to identify cases, and prompt treatment, to curb the spread of Chagas disease in this region.

Abstract Image

Abstract Image

Abstract Image

墨西哥北部地区克氏锥虫血清学测定。
由克氏锥虫引起的恰加斯病仍然是墨西哥的一个重大公共卫生问题,由于低寄生虫率和复杂的免疫反应,在其慢性期诊断尤其具有挑战性。据泛美卫生组织称,没有一种检测方法足够敏感或具有特异性,无法可靠地检测出慢性恰加斯病,因此在结果不确定的情况下,需要使用多种血清学方法。本研究旨在评估恰加斯病在墨西哥北部大部分未知城市的血清患病率。采用一种综合方法对来自17个城市的250份血清样本进行了分析,包括三种血清学检测:BIO-CHAGAS商业试剂盒(MEXLAB®)、采用源自一种地方性毒株抗原的酶联免疫吸附试验(ELISA)和验证性Western blot分析。结果显示,240份样品为阴性,3份为不确定,7份为阳性,血清阳性率为2.8%(7/250)。韦波茨拉市和特基克斯基亚克市显示的流行情况,以及这些地区有记录的巴氏Triatoma病媒的存在,表明克氏t型虫传播的风险持续存在。这些发现强调迫切需要采取有针对性的公共卫生干预措施,包括加强监测、提高社区意识、制定病媒控制规划、进行筛查检测以确定病例和及时治疗,以遏制恰加斯病在该地区的传播。
本文章由计算机程序翻译,如有差异,请以英文原文为准。
求助全文
约1分钟内获得全文 求助全文
来源期刊
Parasitology Research
Parasitology Research 医学-寄生虫学
CiteScore
4.10
自引率
5.00%
发文量
346
审稿时长
6 months
期刊介绍: The journal Parasitology Research covers the latest developments in parasitology across a variety of disciplines, including biology, medicine and veterinary medicine. Among many topics discussed are chemotherapy and control of parasitic disease, and the relationship of host and parasite. Other coverage includes: Protozoology, Helminthology, Entomology; Morphology (incl. Pathomorphology, Ultrastructure); Biochemistry, Physiology including Pathophysiology; Parasite-Host-Relationships including Immunology and Host Specificity; life history, ecology and epidemiology; and Diagnosis, Chemotherapy and Control of Parasitic Diseases.
×
引用
GB/T 7714-2015
复制
MLA
复制
APA
复制
导出至
BibTeX EndNote RefMan NoteFirst NoteExpress
×
提示
您的信息不完整,为了账户安全,请先补充。
现在去补充
×
提示
您因"违规操作"
具体请查看互助需知
我知道了
×
提示
确定
请完成安全验证×
copy
已复制链接
快去分享给好友吧!
我知道了
右上角分享
点击右上角分享
0
联系我们:info@booksci.cn Book学术提供免费学术资源搜索服务,方便国内外学者检索中英文文献。致力于提供最便捷和优质的服务体验。 Copyright © 2023 布克学术 All rights reserved.
京ICP备2023020795号-1
ghs 京公网安备 11010802042870号
Book学术文献互助
Book学术文献互助群
群 号:604180095
Book学术官方微信