Characteristics of the Facial Canal-Lateral Canal Dehiscence: The Under-recognized Third Window.

IF 1.8 Q2 OTORHINOLARYNGOLOGY
OTO Open Pub Date : 2025-02-17 eCollection Date: 2025-01-01 DOI:10.1002/oto2.70085
William J Garvis, Blake A Johnson, Katherine E Kluesner, Stephanie M Garvis
{"title":"Characteristics of the Facial Canal-Lateral Canal Dehiscence: The Under-recognized Third Window.","authors":"William J Garvis, Blake A Johnson, Katherine E Kluesner, Stephanie M Garvis","doi":"10.1002/oto2.70085","DOIUrl":null,"url":null,"abstract":"<p><strong>Objective: </strong>We aimed to establish normative data on the bony partition between the facial canal (FC) and the lateral semicircular canal (LSCC) and present our initial series of cases in which an FC-LSCC dehiscence was identified based on these anatomic criteria, with or without other third window pathologies.</p><p><strong>Study design: </strong>Normative data: Analysis of archival otopathological human temporal bone specimens and computed tomography (CT) scans. Clinical data: Case studies.</p><p><strong>Setting: </strong>An otopathology laboratory and a specialized otolaryngology, head and neck surgery outpatient clinic.</p><p><strong>Methods: </strong>We measured the bony partition thickness between the FC-LSCC in human temporal bone otopathological specimens and CT scans. The clinical study involved a series of reviews of patients with FC-LSCC, presenting clinical data and CT images.</p><p><strong>Results: </strong>The average thickness of the bony partition measured via CT was 0.6 mm ± 0.2 mm, whereas in otopathological specimens it was 0.56 mm ± 0.17 mm. We identified 34 patients with FC-LSCC dehiscence. The most frequently reported symptoms were hearing loss (44%), dizziness/vertigo (44%), and tinnitus (41%). Of the patients, 15 (44%) had more than 1 site of bone dehiscence and 21 (62%) had bilateral FC-LSCC dehiscence. We then identified 36 patients in whom only FC-LSCC dehiscences were found and provided characteristics for this population.</p><p><strong>Conclusion: </strong>Our study provides normative characteristics on the bony partition between the FC-LSCC and the signs and symptoms of this third window abnormality. FC-LSCC should be included in differential diagnoses of patients presenting with third window syndrome symptoms.</p>","PeriodicalId":19697,"journal":{"name":"OTO Open","volume":"9 1","pages":"e70085"},"PeriodicalIF":1.8000,"publicationDate":"2025-02-17","publicationTypes":"Journal Article","fieldsOfStudy":null,"isOpenAccess":false,"openAccessPdf":"https://www.ncbi.nlm.nih.gov/pmc/articles/PMC11831756/pdf/","citationCount":"0","resultStr":null,"platform":"Semanticscholar","paperid":null,"PeriodicalName":"OTO Open","FirstCategoryId":"1085","ListUrlMain":"https://doi.org/10.1002/oto2.70085","RegionNum":0,"RegionCategory":null,"ArticlePicture":[],"TitleCN":null,"AbstractTextCN":null,"PMCID":null,"EPubDate":"2025/1/1 0:00:00","PubModel":"eCollection","JCR":"Q2","JCRName":"OTORHINOLARYNGOLOGY","Score":null,"Total":0}
引用次数: 0

Abstract

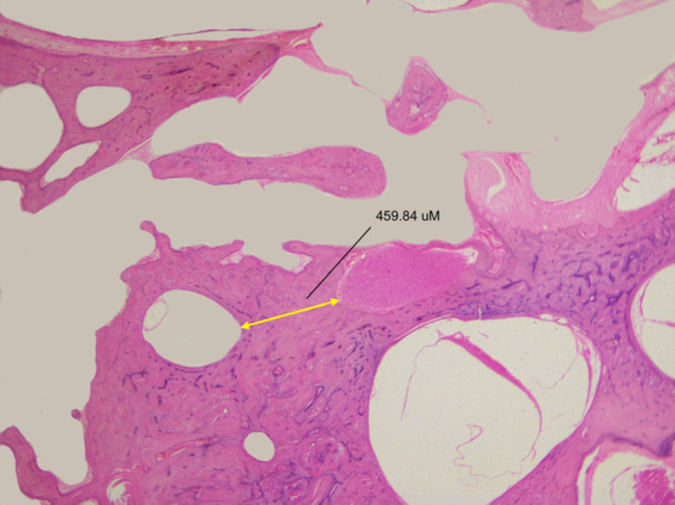
Objective: We aimed to establish normative data on the bony partition between the facial canal (FC) and the lateral semicircular canal (LSCC) and present our initial series of cases in which an FC-LSCC dehiscence was identified based on these anatomic criteria, with or without other third window pathologies.

Study design: Normative data: Analysis of archival otopathological human temporal bone specimens and computed tomography (CT) scans. Clinical data: Case studies.

Setting: An otopathology laboratory and a specialized otolaryngology, head and neck surgery outpatient clinic.

Methods: We measured the bony partition thickness between the FC-LSCC in human temporal bone otopathological specimens and CT scans. The clinical study involved a series of reviews of patients with FC-LSCC, presenting clinical data and CT images.

Results: The average thickness of the bony partition measured via CT was 0.6 mm ± 0.2 mm, whereas in otopathological specimens it was 0.56 mm ± 0.17 mm. We identified 34 patients with FC-LSCC dehiscence. The most frequently reported symptoms were hearing loss (44%), dizziness/vertigo (44%), and tinnitus (41%). Of the patients, 15 (44%) had more than 1 site of bone dehiscence and 21 (62%) had bilateral FC-LSCC dehiscence. We then identified 36 patients in whom only FC-LSCC dehiscences were found and provided characteristics for this population.

Conclusion: Our study provides normative characteristics on the bony partition between the FC-LSCC and the signs and symptoms of this third window abnormality. FC-LSCC should be included in differential diagnoses of patients presenting with third window syndrome symptoms.

Abstract Image

Abstract Image

Abstract Image

面侧管破裂的特征:未被认识的第三个窗口。
目的:我们旨在建立面部管(FC)和外侧半规管(LSCC)之间的骨分隔的规范数据,并提出我们的初步系列病例,其中FC-LSCC开裂是根据这些解剖标准确定的,有或没有其他第三窗口病理。研究设计:规范资料:分析档案人类颞骨耳病理标本和计算机断层扫描(CT)。临床资料:病例研究。环境:一个耳病理实验室和一个专门的耳鼻喉科,头颈外科门诊诊所。方法:测量人颞骨FC-LSCC耳部病理标本与CT扫描的骨隔厚度。临床研究包括对FC-LSCC患者的一系列回顾,提供临床资料和CT图像。结果:CT测得的骨隔板平均厚度为0.6 mm±0.2 mm,耳病理标本平均厚度为0.56 mm±0.17 mm。我们确定了34例FC-LSCC开裂患者。最常见的报告症状是听力丧失(44%)、头晕/眩晕(44%)和耳鸣(41%)。其中15例(44%)有1处以上骨裂,21例(62%)有双侧FC-LSCC裂。然后,我们确定了36例仅发现FC-LSCC开裂的患者,并提供了该人群的特征。结论:我们的研究提供了FC-LSCC与第三窗口异常的体征和症状之间的骨分割的规范性特征。FC-LSCC应纳入第三窗综合征患者的鉴别诊断。
本文章由计算机程序翻译,如有差异,请以英文原文为准。
求助全文
约1分钟内获得全文 求助全文
来源期刊
OTO Open
OTO Open Medicine-Surgery
CiteScore
2.70
自引率
0.00%
发文量
115
审稿时长
15 weeks
×
引用
GB/T 7714-2015
复制
MLA
复制
APA
复制
导出至
BibTeX EndNote RefMan NoteFirst NoteExpress
×
提示
您的信息不完整,为了账户安全,请先补充。
现在去补充
×
提示
您因"违规操作"
具体请查看互助需知
我知道了
×
提示
确定
请完成安全验证×
copy
已复制链接
快去分享给好友吧!
我知道了
右上角分享
点击右上角分享
0
联系我们:info@booksci.cn Book学术提供免费学术资源搜索服务,方便国内外学者检索中英文文献。致力于提供最便捷和优质的服务体验。 Copyright © 2023 布克学术 All rights reserved.
京ICP备2023020795号-1
ghs 京公网安备 11010802042870号
Book学术文献互助
Book学术文献互助群
群 号:604180095
Book学术官方微信