Pulmonary Embolism Following Living Donor Hepatectomy: A Report of 4 Cases and Literature Review.

IF 1.4 4区 医学 Q3 SURGERY
Ling-Li Cui, Xu-Ming Liu, Liang Zhang, Shen Liu, Bo Wu, Yun Wang, Zhi-Jun Zhu
{"title":"Pulmonary Embolism Following Living Donor Hepatectomy: A Report of 4 Cases and Literature Review.","authors":"Ling-Li Cui, Xu-Ming Liu, Liang Zhang, Shen Liu, Bo Wu, Yun Wang, Zhi-Jun Zhu","doi":"10.12659/AOT.946752","DOIUrl":null,"url":null,"abstract":"<p><p>BACKGROUND Living donor liver transplantation (LDLT) is an established treatment for end-stage liver disease, where donor safety remains a top priority. Pulmonary embolism (PE) is an unpredictable but serious complication following liver donor hepatectomy (LDH), contributing significantly to postoperative morbidity and mortality. CASE REPORT This article reports 4 cases of PE in living donors following LDH, discussing their clinical presentations, diagnosis, and treatment, and reviewing the relevant literature. Patient 1 was a 46-year-old man who underwent laparotomy right hepatectomy and developed PE on postoperative day (POD) 2. Patient 2 was a 42-year-old woman who donated the left half liver for her son. On POD 8, she was diagnosed with PE by enhanced computed tomography (CT) scan. Patient 3 was a 65-year-old man with 2 years history of hypertension. He underwent a laparotomy right hepatectomy and developed PE on POD 2. Patient 4 was a 57-year-old woman who underwent laparotomy left hepatectomy with the middle hepatic vein. On POD 3, the patient suddenly developed dyspnea after ambulation, and the enhanced CT of pulmonary arteries showed extensive PE in both lungs. All donors developed symptoms such as dyspnea and hypoxemia postoperatively, and were diagnosed with PE through imaging studies. Prompt anticoagulation therapy led to favorable outcomes in all cases. CONCLUSIONS Although PE is a rare and serious complication after LDH, early recognition and timely intervention are crucial to prevent catastrophic outcomes for the donor. Improving perioperative management is key to enhancing donor safety.</p>","PeriodicalId":7935,"journal":{"name":"Annals of Transplantation","volume":"30 ","pages":"e946752"},"PeriodicalIF":1.4000,"publicationDate":"2025-02-18","publicationTypes":"Journal Article","fieldsOfStudy":null,"isOpenAccess":false,"openAccessPdf":"https://www.ncbi.nlm.nih.gov/pmc/articles/PMC11846252/pdf/","citationCount":"0","resultStr":null,"platform":"Semanticscholar","paperid":null,"PeriodicalName":"Annals of Transplantation","FirstCategoryId":"3","ListUrlMain":"https://doi.org/10.12659/AOT.946752","RegionNum":4,"RegionCategory":"医学","ArticlePicture":[],"TitleCN":null,"AbstractTextCN":null,"PMCID":null,"EPubDate":"","PubModel":"","JCR":"Q3","JCRName":"SURGERY","Score":null,"Total":0}
引用次数: 0

Abstract

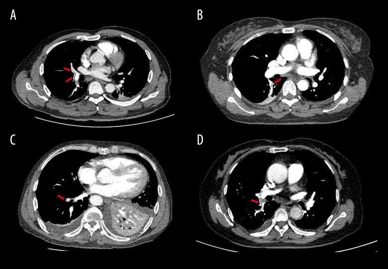
BACKGROUND Living donor liver transplantation (LDLT) is an established treatment for end-stage liver disease, where donor safety remains a top priority. Pulmonary embolism (PE) is an unpredictable but serious complication following liver donor hepatectomy (LDH), contributing significantly to postoperative morbidity and mortality. CASE REPORT This article reports 4 cases of PE in living donors following LDH, discussing their clinical presentations, diagnosis, and treatment, and reviewing the relevant literature. Patient 1 was a 46-year-old man who underwent laparotomy right hepatectomy and developed PE on postoperative day (POD) 2. Patient 2 was a 42-year-old woman who donated the left half liver for her son. On POD 8, she was diagnosed with PE by enhanced computed tomography (CT) scan. Patient 3 was a 65-year-old man with 2 years history of hypertension. He underwent a laparotomy right hepatectomy and developed PE on POD 2. Patient 4 was a 57-year-old woman who underwent laparotomy left hepatectomy with the middle hepatic vein. On POD 3, the patient suddenly developed dyspnea after ambulation, and the enhanced CT of pulmonary arteries showed extensive PE in both lungs. All donors developed symptoms such as dyspnea and hypoxemia postoperatively, and were diagnosed with PE through imaging studies. Prompt anticoagulation therapy led to favorable outcomes in all cases. CONCLUSIONS Although PE is a rare and serious complication after LDH, early recognition and timely intervention are crucial to prevent catastrophic outcomes for the donor. Improving perioperative management is key to enhancing donor safety.

Abstract Image

活体肝切除术后肺栓塞4例报告并文献复习。
活体供肝移植(LDLT)是终末期肝病的一种既定治疗方法,在终末期肝病中,供体安全仍然是重中之重。肺栓塞(PE)是肝供肝切除术(LDH)后不可预测但严重的并发症,对术后发病率和死亡率有重要影响。本文报告了4例LDH后活体供者发生PE的病例,讨论了他们的临床表现、诊断和治疗,并复习了相关文献。患者1是一名46岁的男性,他接受了剖腹手术,右肝切除术,术后发生PE (POD) 2。患者2是一名42岁的女性,她为儿子捐献了左半块肝脏。在POD 8上,她通过增强计算机断层扫描(CT)诊断为PE。患者3为65岁男性,有2年高血压病史。他接受了剖腹手术,右肝切除术,并在POD 2上出现PE。患者4是一名57岁的女性,她接受了带肝中静脉的剖腹左肝切除术。POD 3患儿行走后突然出现呼吸困难,肺动脉增强CT示双肺广泛PE。所有供体术后均出现呼吸困难、低氧血症等症状,影像学诊断为PE。及时的抗凝治疗在所有病例中都取得了良好的结果。结论:尽管肺动脉栓塞是LDH后罕见且严重的并发症,但早期识别和及时干预对于预防供者的灾难性后果至关重要。改善围手术期管理是提高供体安全的关键。
本文章由计算机程序翻译,如有差异,请以英文原文为准。
求助全文
约1分钟内获得全文 求助全文
来源期刊
CiteScore
2.50
自引率
0.00%
发文量
79
审稿时长
>12 weeks
期刊介绍: Annals of Transplantation is one of the fast-developing journals open to all scientists and fields of transplant medicine and related research. The journal is published quarterly and provides extensive coverage of the most important advances in transplantation. Using an electronic on-line submission and peer review tracking system, Annals of Transplantation is committed to rapid review and publication. The average time to first decision is around 3-4 weeks. Time to publication of accepted manuscripts continues to be shortened, with the Editorial team committed to a goal of 3 months from acceptance to publication. Expert reseachers and clinicians from around the world contribute original Articles, Review Papers, Case Reports and Special Reports in every pertinent specialty, providing a lot of arguments for discussion of exciting developments and controversies in the field.
×
引用
GB/T 7714-2015
复制
MLA
复制
APA
复制
导出至
BibTeX EndNote RefMan NoteFirst NoteExpress
×
提示
您的信息不完整,为了账户安全,请先补充。
现在去补充
×
提示
您因"违规操作"
具体请查看互助需知
我知道了
×
提示
确定
请完成安全验证×
copy
已复制链接
快去分享给好友吧!
我知道了
右上角分享
点击右上角分享
0
联系我们:info@booksci.cn Book学术提供免费学术资源搜索服务,方便国内外学者检索中英文文献。致力于提供最便捷和优质的服务体验。 Copyright © 2023 布克学术 All rights reserved.
京ICP备2023020795号-1
ghs 京公网安备 11010802042870号
Book学术文献互助
Book学术文献互助群
群 号:604180095
Book学术官方微信