Primary Ovarian Leiomyoma: A Common Tumor at an Uncommon Site.

IF 1 Q3 OBSTETRICS & GYNECOLOGY
Journal of Mid-life Health Pub Date : 2024-10-01 Epub Date: 2025-01-02 DOI:10.4103/jmh.jmh_146_24
Gauri Belapurkar, Archana Khade, Jayashree Tijare, Satish Helwatkar
{"title":"Primary Ovarian Leiomyoma: A Common Tumor at an Uncommon Site.","authors":"Gauri Belapurkar, Archana Khade, Jayashree Tijare, Satish Helwatkar","doi":"10.4103/jmh.jmh_146_24","DOIUrl":null,"url":null,"abstract":"<p><p>Primary ovarian leiomyoma is a very rare benign tumor accounting for 0.5%-1% of all the benign ovarian neoplasms. The most common presentation is unilateral, small masses discovered incidentally on radiology, predominantly occurring in premenopausal women of age group 20-65 years. A 49-year-old woman presented with pain in the abdomen and abnormal uterine bleeding. Ultrasonography showed a heterogeneous, hypoechoic solid mass of size 10.4 cm × 6.4 cm × 7.7 cm arising from fundus. The patient underwent total abdominal hysterectomy with bilateral salpingo-oophorectomy. Histological examination revealed a leiomyoma arising primarily in the right ovary. The diagnosis was confirmed immunohistochemically. Ovarian leiomyoma, a rare tumor of the ovary, should be considered in the differential diagnosis of solid ovarian masses, which display gross anatomical and histological similarities. An immunohistochemical analysis is essential for definitive diagnosis. Herein, we report a case of unilateral ovarian leiomyoma in a premenopausal woman.</p>","PeriodicalId":37717,"journal":{"name":"Journal of Mid-life Health","volume":"15 4","pages":"299-301"},"PeriodicalIF":1.0000,"publicationDate":"2024-10-01","publicationTypes":"Journal Article","fieldsOfStudy":null,"isOpenAccess":false,"openAccessPdf":"https://www.ncbi.nlm.nih.gov/pmc/articles/PMC11824942/pdf/","citationCount":"0","resultStr":null,"platform":"Semanticscholar","paperid":null,"PeriodicalName":"Journal of Mid-life Health","FirstCategoryId":"1085","ListUrlMain":"https://doi.org/10.4103/jmh.jmh_146_24","RegionNum":0,"RegionCategory":null,"ArticlePicture":[],"TitleCN":null,"AbstractTextCN":null,"PMCID":null,"EPubDate":"2025/1/2 0:00:00","PubModel":"Epub","JCR":"Q3","JCRName":"OBSTETRICS & GYNECOLOGY","Score":null,"Total":0}
引用次数: 0

Abstract

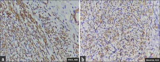
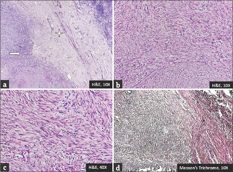
Primary ovarian leiomyoma is a very rare benign tumor accounting for 0.5%-1% of all the benign ovarian neoplasms. The most common presentation is unilateral, small masses discovered incidentally on radiology, predominantly occurring in premenopausal women of age group 20-65 years. A 49-year-old woman presented with pain in the abdomen and abnormal uterine bleeding. Ultrasonography showed a heterogeneous, hypoechoic solid mass of size 10.4 cm × 6.4 cm × 7.7 cm arising from fundus. The patient underwent total abdominal hysterectomy with bilateral salpingo-oophorectomy. Histological examination revealed a leiomyoma arising primarily in the right ovary. The diagnosis was confirmed immunohistochemically. Ovarian leiomyoma, a rare tumor of the ovary, should be considered in the differential diagnosis of solid ovarian masses, which display gross anatomical and histological similarities. An immunohistochemical analysis is essential for definitive diagnosis. Herein, we report a case of unilateral ovarian leiomyoma in a premenopausal woman.

Abstract Image

Abstract Image

Abstract Image

原发性卵巢平滑肌瘤:一种罕见部位的常见肿瘤。
原发性卵巢平滑肌瘤是一种非常罕见的良性肿瘤,约占卵巢良性肿瘤的0.5% ~ 1%。最常见的表现是单侧小肿块偶然在放射学上发现,主要发生在20-65岁的绝经前妇女。一名49岁女性,以腹部疼痛和子宫异常出血为主诉。超声示眼底出现一个大小为10.4 cm × 6.4 cm × 7.7 cm的不均匀低回声实性肿块。患者行腹部全子宫切除术及双侧输卵管卵巢切除术。组织学检查显示一平滑肌瘤,主要发源于右侧卵巢。免疫组织化学证实了诊断。卵巢平滑肌瘤是一种罕见的卵巢肿瘤,在卵巢实性肿物的鉴别诊断中应予以考虑,其大体解剖和组织学相似。免疫组织化学分析是明确诊断所必需的。在此,我们报告一例单侧卵巢平滑肌瘤在绝经前妇女。
本文章由计算机程序翻译,如有差异,请以英文原文为准。
求助全文
约1分钟内获得全文 求助全文
来源期刊
Journal of Mid-life Health
Journal of Mid-life Health Social Sciences-Health (social science)
CiteScore
1.70
自引率
9.10%
发文量
39
审稿时长
43 weeks
期刊介绍: Journal of mid-life health is the official journal of the Indian Menopause society published Quarterly in January, April, July and October. It is peer reviewed, scientific journal of mid-life health and its problems. It includes all aspects of mid-life health, preventive as well as curative. The journal publishes on subjects such as gynecology, neurology, geriatrics, psychiatry, endocrinology, urology, andrology, psychology, healthy ageing, cardiovascular health, bone health, quality of life etc. as relevant of men and women in their midlife. The Journal provides a visible platform to the researchers as well as clinicians to publish their experiences in this area thereby helping in the promotion of mid-life health leading to healthy ageing, growing need due to increasing life expectancy. The Editorial team has maintained high standards and published original research papers, case reports and review articles from the best of the best contributors both national & international, consistently so that now, it has become a great tool in the hands of menopause practitioners.
×
引用
GB/T 7714-2015
复制
MLA
复制
APA
复制
导出至
BibTeX EndNote RefMan NoteFirst NoteExpress
×
提示
您的信息不完整,为了账户安全,请先补充。
现在去补充
×
提示
您因"违规操作"
具体请查看互助需知
我知道了
×
提示
确定
请完成安全验证×
copy
已复制链接
快去分享给好友吧!
我知道了
右上角分享
点击右上角分享
0
联系我们:info@booksci.cn Book学术提供免费学术资源搜索服务,方便国内外学者检索中英文文献。致力于提供最便捷和优质的服务体验。 Copyright © 2023 布克学术 All rights reserved.
京ICP备2023020795号-1
ghs 京公网安备 11010802042870号
Book学术文献互助
Book学术文献互助群
群 号:604180095
Book学术官方微信