Unraveling Cystic Adenomyosis: Diagnostic Odyssey and Surgical Resolution in a Multiparous Woman.

IF 1 Q3 OBSTETRICS & GYNECOLOGY
Journal of Mid-life Health Pub Date : 2024-10-01 Epub Date: 2025-01-02 DOI:10.4103/jmh.jmh_143_24
Bhupinder Deep Kaur, Parneet Kaur, Manmeet Kaur, Mandeep Kaur
{"title":"Unraveling Cystic Adenomyosis: Diagnostic Odyssey and Surgical Resolution in a Multiparous Woman.","authors":"Bhupinder Deep Kaur, Parneet Kaur, Manmeet Kaur, Mandeep Kaur","doi":"10.4103/jmh.jmh_143_24","DOIUrl":null,"url":null,"abstract":"<p><p>Cystic adenomyosis, a rare variant of adenomyosis, poses diagnostic challenges due to its resemblance to other uterine pathologies. We present the case of a 37-year-old multiparous woman with a history of cesarean sections, who presented with heavy menstrual bleeding and progressive pelvic pain. Despite initial medical management, symptoms persisted, prompting further investigation. Ultrasonography initially suggested fibroid degeneration or a neoplastic change, later confirmed by magnetic resonance imaging which showed degenerative changes in fibroid. However, worsening symptoms and failed medical management led to surgical intervention. The patient underwent a total abdominal hysterectomy, revealing cystic spaces filled with altered blood within the myometrium. Histopathological analysis postsurgery confirmed the diagnosis of cystic adenomyosis. This case highlights the diagnostic challenges and therapeutic considerations in managing cystic adenomyosis in multiparous women.</p>","PeriodicalId":37717,"journal":{"name":"Journal of Mid-life Health","volume":"15 4","pages":"302-305"},"PeriodicalIF":1.0000,"publicationDate":"2024-10-01","publicationTypes":"Journal Article","fieldsOfStudy":null,"isOpenAccess":false,"openAccessPdf":"https://www.ncbi.nlm.nih.gov/pmc/articles/PMC11824930/pdf/","citationCount":"0","resultStr":null,"platform":"Semanticscholar","paperid":null,"PeriodicalName":"Journal of Mid-life Health","FirstCategoryId":"1085","ListUrlMain":"https://doi.org/10.4103/jmh.jmh_143_24","RegionNum":0,"RegionCategory":null,"ArticlePicture":[],"TitleCN":null,"AbstractTextCN":null,"PMCID":null,"EPubDate":"2025/1/2 0:00:00","PubModel":"Epub","JCR":"Q3","JCRName":"OBSTETRICS & GYNECOLOGY","Score":null,"Total":0}
引用次数: 0

Abstract

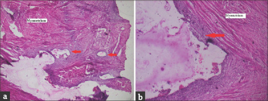
Cystic adenomyosis, a rare variant of adenomyosis, poses diagnostic challenges due to its resemblance to other uterine pathologies. We present the case of a 37-year-old multiparous woman with a history of cesarean sections, who presented with heavy menstrual bleeding and progressive pelvic pain. Despite initial medical management, symptoms persisted, prompting further investigation. Ultrasonography initially suggested fibroid degeneration or a neoplastic change, later confirmed by magnetic resonance imaging which showed degenerative changes in fibroid. However, worsening symptoms and failed medical management led to surgical intervention. The patient underwent a total abdominal hysterectomy, revealing cystic spaces filled with altered blood within the myometrium. Histopathological analysis postsurgery confirmed the diagnosis of cystic adenomyosis. This case highlights the diagnostic challenges and therapeutic considerations in managing cystic adenomyosis in multiparous women.

Abstract Image

Abstract Image

Abstract Image

揭示囊性囊肿:诊断奥德赛和手术解决多胎妇女。
囊性子宫腺肌症是子宫腺肌症的一种罕见变体,由于其与其他子宫病理相似,因此对诊断提出了挑战。我们提出的情况下,37岁的多胎妇女剖宫产史,谁提出了月经出血和进行性骨盆疼痛。尽管进行了初步治疗,但症状持续存在,需要进一步调查。超声检查最初提示肌瘤变性或肿瘤改变,后来磁共振成像证实肌瘤变性改变。然而,恶化的症状和失败的医疗管理导致手术干预。患者接受了全腹部子宫切除术,发现子宫肌层内充满改变的血液的囊性空间。术后组织病理分析证实为囊性血脑屏障。本病例强调了在处理多产妇女囊性脑卒中中的诊断挑战和治疗考虑。
本文章由计算机程序翻译,如有差异,请以英文原文为准。
求助全文
约1分钟内获得全文 求助全文
来源期刊
Journal of Mid-life Health
Journal of Mid-life Health Social Sciences-Health (social science)
CiteScore
1.70
自引率
9.10%
发文量
39
审稿时长
43 weeks
期刊介绍: Journal of mid-life health is the official journal of the Indian Menopause society published Quarterly in January, April, July and October. It is peer reviewed, scientific journal of mid-life health and its problems. It includes all aspects of mid-life health, preventive as well as curative. The journal publishes on subjects such as gynecology, neurology, geriatrics, psychiatry, endocrinology, urology, andrology, psychology, healthy ageing, cardiovascular health, bone health, quality of life etc. as relevant of men and women in their midlife. The Journal provides a visible platform to the researchers as well as clinicians to publish their experiences in this area thereby helping in the promotion of mid-life health leading to healthy ageing, growing need due to increasing life expectancy. The Editorial team has maintained high standards and published original research papers, case reports and review articles from the best of the best contributors both national & international, consistently so that now, it has become a great tool in the hands of menopause practitioners.
×
引用
GB/T 7714-2015
复制
MLA
复制
APA
复制
导出至
BibTeX EndNote RefMan NoteFirst NoteExpress
×
提示
您的信息不完整,为了账户安全,请先补充。
现在去补充
×
提示
您因"违规操作"
具体请查看互助需知
我知道了
×
提示
确定
请完成安全验证×
copy
已复制链接
快去分享给好友吧!
我知道了
右上角分享
点击右上角分享
0
联系我们:info@booksci.cn Book学术提供免费学术资源搜索服务,方便国内外学者检索中英文文献。致力于提供最便捷和优质的服务体验。 Copyright © 2023 布克学术 All rights reserved.
京ICP备2023020795号-1
ghs 京公网安备 11010802042870号
Book学术文献互助
Book学术文献互助群
群 号:604180095
Book学术官方微信