Outcomes of removing the fracture fragments in the treatment of intracapsular condylar fractures in children.

IF 2.1 3区 医学 Q2 DENTISTRY, ORAL SURGERY & MEDICINE
J Dai, C Gong, D Diarra, Z Li
{"title":"Outcomes of removing the fracture fragments in the treatment of intracapsular condylar fractures in children.","authors":"J Dai, C Gong, D Diarra, Z Li","doi":"10.4317/medoral.27079","DOIUrl":null,"url":null,"abstract":"<p><strong>Background: </strong>Treatment methods for mandibular condylar fractures in children can be broadly divided into closed treatment and open treatment (open reduction and internal fixation). The aim of the study is to evaluate the feasibility of removing the fracture fragments when treating intracapsular condylar fractures in children.</p><p><strong>Material and methods: </strong>A retrospective study was performed in patients aged ≤12 years with intracapsular condylar fractures treated with removal of the fracture fragments from June 2010 through June 2018. The preoperative and postoperative data of physical complaints, facial asymmetry, maximal interincisal distance, occlusal relationship and radiographic examinations were extracted from the patients' records. The collected preoperative and postoperative data were analysed.</p><p><strong>Results: </strong>Thirteen intracapsular condylar fractures in nine cases were subjected to fracture fragments removal. In these patients, clinical and radiographic results at different follow-up periods displayed normal occlusion and satisfactory bone healing. New condyles were found to be regenerated, in the cases with follow-up period longer than 3 months.</p><p><strong>Conclusions: </strong>Removal of fracture fragments proves to be effective in delivering satisfactory clinical results and permitting ongoing condyle remodelling and regeneration.</p>","PeriodicalId":49016,"journal":{"name":"Medicina Oral Patologia Oral Y Cirugia Bucal","volume":" ","pages":"e536-e542"},"PeriodicalIF":2.1000,"publicationDate":"2025-07-01","publicationTypes":"Journal Article","fieldsOfStudy":null,"isOpenAccess":false,"openAccessPdf":"https://www.ncbi.nlm.nih.gov/pmc/articles/PMC12221151/pdf/","citationCount":"0","resultStr":null,"platform":"Semanticscholar","paperid":null,"PeriodicalName":"Medicina Oral Patologia Oral Y Cirugia Bucal","FirstCategoryId":"3","ListUrlMain":"https://doi.org/10.4317/medoral.27079","RegionNum":3,"RegionCategory":"医学","ArticlePicture":[],"TitleCN":null,"AbstractTextCN":null,"PMCID":null,"EPubDate":"","PubModel":"","JCR":"Q2","JCRName":"DENTISTRY, ORAL SURGERY & MEDICINE","Score":null,"Total":0}
引用次数: 0

Abstract

Background: Treatment methods for mandibular condylar fractures in children can be broadly divided into closed treatment and open treatment (open reduction and internal fixation). The aim of the study is to evaluate the feasibility of removing the fracture fragments when treating intracapsular condylar fractures in children.

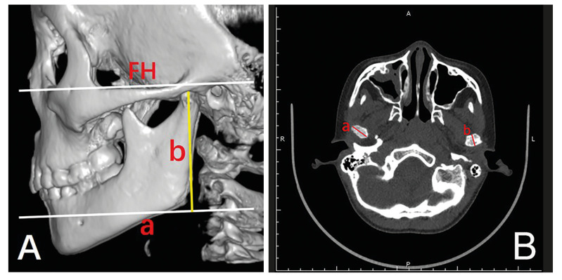
Material and methods: A retrospective study was performed in patients aged ≤12 years with intracapsular condylar fractures treated with removal of the fracture fragments from June 2010 through June 2018. The preoperative and postoperative data of physical complaints, facial asymmetry, maximal interincisal distance, occlusal relationship and radiographic examinations were extracted from the patients' records. The collected preoperative and postoperative data were analysed.

Results: Thirteen intracapsular condylar fractures in nine cases were subjected to fracture fragments removal. In these patients, clinical and radiographic results at different follow-up periods displayed normal occlusion and satisfactory bone healing. New condyles were found to be regenerated, in the cases with follow-up period longer than 3 months.

Conclusions: Removal of fracture fragments proves to be effective in delivering satisfactory clinical results and permitting ongoing condyle remodelling and regeneration.

Abstract Image

Abstract Image

Abstract Image

取出骨折碎片治疗儿童髁突囊内骨折的效果。
背景:儿童下颌骨髁突骨折的治疗方法大致可分为闭合治疗和开放治疗(切开复位内固定)。本研究的目的是评估在治疗儿童髁突囊内骨折时取出骨折碎片的可行性。材料和方法:对2010年6月至2018年6月期间年龄≤12岁的髁突囊内骨折患者进行回顾性研究。从患者病历中提取术前和术后的身体不适、面部不对称、最大内切距离、咬合关系和x线片检查数据。对收集的术前和术后资料进行分析。结果:13例髁突囊内骨折9例均行骨折碎片取出术。这些患者在不同随访时期的临床和影像学结果均显示牙合正常,骨愈合良好。随访时间超过3个月者,髁突可再生。结论:骨折碎片的去除被证明是有效的,提供了令人满意的临床结果,并允许进行髁突重建和再生。
本文章由计算机程序翻译,如有差异,请以英文原文为准。
求助全文
约1分钟内获得全文 求助全文
来源期刊
Medicina Oral Patologia Oral Y Cirugia Bucal
Medicina Oral Patologia Oral Y Cirugia Bucal DENTISTRY, ORAL SURGERY & MEDICINE-
CiteScore
4.60
自引率
0.00%
发文量
52
审稿时长
3-8 weeks
期刊介绍: 1. Oral Medicine and Pathology: Clinicopathological as well as medical or surgical management aspects of diseases affecting oral mucosa, salivary glands, maxillary bones, as well as orofacial neurological disorders, and systemic conditions with an impact on the oral cavity. 2. Oral Surgery: Surgical management aspects of diseases affecting oral mucosa, salivary glands, maxillary bones, teeth, implants, oral surgical procedures. Surgical management of diseases affecting head and neck areas. 3. Medically compromised patients in Dentistry: Articles discussing medical problems in Odontology will also be included, with a special focus on the clinico-odontological management of medically compromised patients, and considerations regarding high-risk or disabled patients. 4. Implantology 5. Periodontology
×
引用
GB/T 7714-2015
复制
MLA
复制
APA
复制
导出至
BibTeX EndNote RefMan NoteFirst NoteExpress
×
提示
您的信息不完整,为了账户安全,请先补充。
现在去补充
×
提示
您因"违规操作"
具体请查看互助需知
我知道了
×
提示
确定
请完成安全验证×
copy
已复制链接
快去分享给好友吧!
我知道了
右上角分享
点击右上角分享
0
联系我们:info@booksci.cn Book学术提供免费学术资源搜索服务,方便国内外学者检索中英文文献。致力于提供最便捷和优质的服务体验。 Copyright © 2023 布克学术 All rights reserved.
京ICP备2023020795号-1
ghs 京公网安备 11010802042870号
Book学术文献互助
Book学术文献互助群
群 号:604180095
Book学术官方微信