Posterior fossa astroblastoma: a case report of an extremely rare tumor with challenging diagnosis in a child and a review of literature.

IF 1.2 4区 医学 Q4 CLINICAL NEUROLOGY
Ehab Shabo, Saida Zoubaa, Gerrit H Gielen, Ralf Clauberg, Christian Wispel, Torsten Pietsch, Hartmut Vatter, Sevgi Sarikaya-Seiwert
{"title":"Posterior fossa astroblastoma: a case report of an extremely rare tumor with challenging diagnosis in a child and a review of literature.","authors":"Ehab Shabo, Saida Zoubaa, Gerrit H Gielen, Ralf Clauberg, Christian Wispel, Torsten Pietsch, Hartmut Vatter, Sevgi Sarikaya-Seiwert","doi":"10.1007/s00381-025-06768-7","DOIUrl":null,"url":null,"abstract":"<p><p>A 7-year-old boy presented to the hospital with recurrent nausea and vomiting over 2 weeks. A cranial MRI revealed a large heterogeneous lesion in the posterior fossa extending from the fourth ventricle to the foramen magnum with contact to the brainstem. The lesion showed moderate diffusion restriction and multiple small cystic components. The child underwent gross total resection. The primary histological findings suggested proliferative active tumor without further definition. The extended histological examination 3 weeks later confirmed the diagnosis of astroblastoma. Due to complete resection and full recovery of the patient, watchful waiting with radiological follow-up was recommended. Astroblastoma is an extremely rare tumor especially in the posterior fossa. However, it should be considered as a differential diagnosis in every tumor presenting the discussed radiological and histological features, especially in young aged patients.</p>","PeriodicalId":9970,"journal":{"name":"Child's Nervous System","volume":"41 1","pages":"112"},"PeriodicalIF":1.2000,"publicationDate":"2025-02-14","publicationTypes":"Journal Article","fieldsOfStudy":null,"isOpenAccess":false,"openAccessPdf":"https://www.ncbi.nlm.nih.gov/pmc/articles/PMC11828785/pdf/","citationCount":"0","resultStr":null,"platform":"Semanticscholar","paperid":null,"PeriodicalName":"Child's Nervous System","FirstCategoryId":"3","ListUrlMain":"https://doi.org/10.1007/s00381-025-06768-7","RegionNum":4,"RegionCategory":"医学","ArticlePicture":[],"TitleCN":null,"AbstractTextCN":null,"PMCID":null,"EPubDate":"","PubModel":"","JCR":"Q4","JCRName":"CLINICAL NEUROLOGY","Score":null,"Total":0}
引用次数: 0

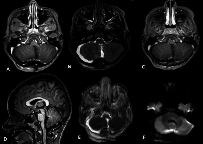
Abstract

A 7-year-old boy presented to the hospital with recurrent nausea and vomiting over 2 weeks. A cranial MRI revealed a large heterogeneous lesion in the posterior fossa extending from the fourth ventricle to the foramen magnum with contact to the brainstem. The lesion showed moderate diffusion restriction and multiple small cystic components. The child underwent gross total resection. The primary histological findings suggested proliferative active tumor without further definition. The extended histological examination 3 weeks later confirmed the diagnosis of astroblastoma. Due to complete resection and full recovery of the patient, watchful waiting with radiological follow-up was recommended. Astroblastoma is an extremely rare tumor especially in the posterior fossa. However, it should be considered as a differential diagnosis in every tumor presenting the discussed radiological and histological features, especially in young aged patients.

Abstract Image

Abstract Image

Abstract Image

后窝星形母细胞瘤:儿童一例极罕见的肿瘤,诊断具有挑战性,并复习文献。
一名7岁男孩因反复恶心和呕吐2周入院。颅脑MRI显示后颅窝有一个大的非均匀病变,从第四脑室延伸到枕骨大孔,并与脑干接触。病变表现为中度扩散限制和多发小囊性成分。患儿接受了大体全切除术。原发性组织学表现为增殖性活动性肿瘤,无进一步定义。3周后病理检查证实为星形母细胞瘤。由于切除完全,患者完全恢复,建议观察等待并进行放射随访。星形母细胞瘤是一种非常罕见的肿瘤,尤其是在后颅窝。然而,对于每一种呈现上述影像学和组织学特征的肿瘤,尤其是年轻患者,应将其视为鉴别诊断。
本文章由计算机程序翻译,如有差异,请以英文原文为准。
求助全文
约1分钟内获得全文 求助全文
来源期刊
Child's Nervous System
Child's Nervous System 医学-临床神经学
CiteScore
3.00
自引率
7.10%
发文量
322
审稿时长
3 months
期刊介绍: The journal has been expanded to encompass all aspects of pediatric neurosciences concerning the developmental and acquired abnormalities of the nervous system and its coverings, functional disorders, epilepsy, spasticity, basic and clinical neuro-oncology, rehabilitation and trauma. Global pediatric neurosurgery is an additional field of interest that will be considered for publication in the journal.
×
引用
GB/T 7714-2015
复制
MLA
复制
APA
复制
导出至
BibTeX EndNote RefMan NoteFirst NoteExpress
×
提示
您的信息不完整,为了账户安全,请先补充。
现在去补充
×
提示
您因"违规操作"
具体请查看互助需知
我知道了
×
提示
确定
请完成安全验证×
copy
已复制链接
快去分享给好友吧!
我知道了
右上角分享
点击右上角分享
0
联系我们:info@booksci.cn Book学术提供免费学术资源搜索服务,方便国内外学者检索中英文文献。致力于提供最便捷和优质的服务体验。 Copyright © 2023 布克学术 All rights reserved.
京ICP备2023020795号-1
ghs 京公网安备 11010802042870号
Book学术文献互助
Book学术文献互助群
群 号:604180095
Book学术官方微信