Gastric mucormycosis in a cat.

IF 0.7 Q3 VETERINARY SCIENCES
Journal of Feline Medicine and Surgery Open Reports Pub Date : 2025-02-12 eCollection Date: 2025-01-01 DOI:10.1177/20551169241301914
Emilio Mavilio, Enrico Bottero
{"title":"Gastric mucormycosis in a cat.","authors":"Emilio Mavilio, Enrico Bottero","doi":"10.1177/20551169241301914","DOIUrl":null,"url":null,"abstract":"<p><strong>Case summary: </strong>This report describes a case of gastric mucormycosis in a young Ragdoll cat with a 5-day history of vomiting. Physical examination detected mild dehydration and tenderness was elicited on abdominal palpation. The results of blood work-up and radiographic study were unremarkable; however, abdominal ultrasonographic examination revealed multiple hyperechoic neoformations at the level of the pyloric antrum, which were confirmed on endoscopic examination. Non-septate hyphae of irregular diameter with a branched appearance were observed on cytology, and histological examination revealed severe diffuse necrotising and granulomatous gastritis with the presence of intralesional fungal hyphae indicative of mucormycosis, which was confirmed by PCR tests. Antifungal therapy with ketoconazole in addition to supportive treatment temporarily improved the clinical condition. Lethargy, fever and abdominal effusion developed in the following days. Cytological examination of abdominal fluid was compatible with septic peritonitis and, given the severity of the condition, euthanasia was opted by the owners. Post-mortem examination confirmed septic peritonitis resulting from perforation of the gastric wall at one of the neoformations of the pyloric antrum.</p><p><strong>Relevance and novel information: </strong>To the authors' knowledge, this is the first reported case of gastric mucormycosis in a cat. Previous literature includes a case of mucormycosis in a Persian cat affecting only the duodenum. In both the Persian cat and the cat described here, gastrointestinal mucormycosis disease progressed rapidly and was fatal.</p>","PeriodicalId":36588,"journal":{"name":"Journal of Feline Medicine and Surgery Open Reports","volume":"11 1","pages":"20551169241301914"},"PeriodicalIF":0.7000,"publicationDate":"2025-02-12","publicationTypes":"Journal Article","fieldsOfStudy":null,"isOpenAccess":false,"openAccessPdf":"https://www.ncbi.nlm.nih.gov/pmc/articles/PMC11822825/pdf/","citationCount":"0","resultStr":null,"platform":"Semanticscholar","paperid":null,"PeriodicalName":"Journal of Feline Medicine and Surgery Open Reports","FirstCategoryId":"1085","ListUrlMain":"https://doi.org/10.1177/20551169241301914","RegionNum":0,"RegionCategory":null,"ArticlePicture":[],"TitleCN":null,"AbstractTextCN":null,"PMCID":null,"EPubDate":"2025/1/1 0:00:00","PubModel":"eCollection","JCR":"Q3","JCRName":"VETERINARY SCIENCES","Score":null,"Total":0}
引用次数: 0

Abstract

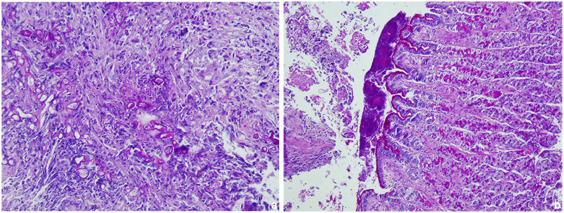
Case summary: This report describes a case of gastric mucormycosis in a young Ragdoll cat with a 5-day history of vomiting. Physical examination detected mild dehydration and tenderness was elicited on abdominal palpation. The results of blood work-up and radiographic study were unremarkable; however, abdominal ultrasonographic examination revealed multiple hyperechoic neoformations at the level of the pyloric antrum, which were confirmed on endoscopic examination. Non-septate hyphae of irregular diameter with a branched appearance were observed on cytology, and histological examination revealed severe diffuse necrotising and granulomatous gastritis with the presence of intralesional fungal hyphae indicative of mucormycosis, which was confirmed by PCR tests. Antifungal therapy with ketoconazole in addition to supportive treatment temporarily improved the clinical condition. Lethargy, fever and abdominal effusion developed in the following days. Cytological examination of abdominal fluid was compatible with septic peritonitis and, given the severity of the condition, euthanasia was opted by the owners. Post-mortem examination confirmed septic peritonitis resulting from perforation of the gastric wall at one of the neoformations of the pyloric antrum.

Relevance and novel information: To the authors' knowledge, this is the first reported case of gastric mucormycosis in a cat. Previous literature includes a case of mucormycosis in a Persian cat affecting only the duodenum. In both the Persian cat and the cat described here, gastrointestinal mucormycosis disease progressed rapidly and was fatal.

Abstract Image

Abstract Image

Abstract Image

猫胃毛霉病。
病例总结:本报告描述了一例胃粘膜真菌病在一个年轻的布娃娃猫与呕吐5天的历史。体格检查发现轻度脱水,腹部触诊有压痛。血液检查和影像学检查结果无显著差异;然而,腹部超声检查显示幽门上腔处多发高回声新生物,经内镜检查证实。细胞学检查发现直径不规则,分枝状的无分隔菌丝,组织学检查显示严重的弥漫性坏死和肉芽肿性胃炎,病变内真菌菌丝的存在提示毛霉病,PCR检测证实。酮康唑抗真菌治疗加支持治疗可暂时改善临床情况。随后数日出现嗜睡、发热和腹部积液。腹液细胞学检查与脓毒性腹膜炎相符,鉴于病情的严重性,业主选择安乐死。死后检查证实脓毒性腹膜炎是由胃壁在幽门窦的一个新形成处穿孔引起的。相关性和新信息:据作者所知,这是第一例报道的猫胃毛霉病。以前的文献包括一例毛霉病在波斯猫只影响十二指肠。在波斯猫和本文描述的猫中,胃肠道毛霉病进展迅速,是致命的。
本文章由计算机程序翻译,如有差异,请以英文原文为准。
求助全文
约1分钟内获得全文 求助全文
来源期刊
CiteScore
1.30
自引率
14.30%
发文量
57
审稿时长
15 weeks
×
引用
GB/T 7714-2015
复制
MLA
复制
APA
复制
导出至
BibTeX EndNote RefMan NoteFirst NoteExpress
×
提示
您的信息不完整,为了账户安全,请先补充。
现在去补充
×
提示
您因"违规操作"
具体请查看互助需知
我知道了
×
提示
确定
请完成安全验证×
copy
已复制链接
快去分享给好友吧!
我知道了
右上角分享
点击右上角分享
0
联系我们:info@booksci.cn Book学术提供免费学术资源搜索服务,方便国内外学者检索中英文文献。致力于提供最便捷和优质的服务体验。 Copyright © 2023 布克学术 All rights reserved.
京ICP备2023020795号-1
ghs 京公网安备 11010802042870号
Book学术文献互助
Book学术文献互助群
群 号:604180095
Book学术官方微信