CT-guided high-dose-rate brachytherapy ablation of HCC patients with portal vein tumor thrombosis.

IF 3.6 Q1 RADIOLOGY, NUCLEAR MEDICINE & MEDICAL IMAGING
Timo Alexander Auer, Marie-Luise Helene Hildegard Ranner-Hafferl, Melina Anhamm, Georg Böning, Uli Fehrenbach, Raphael Mohr, Dominik Geisel, Roman Kloeckner, Bernhard Gebauer, Federico Collettini
{"title":"CT-guided high-dose-rate brachytherapy ablation of HCC patients with portal vein tumor thrombosis.","authors":"Timo Alexander Auer, Marie-Luise Helene Hildegard Ranner-Hafferl, Melina Anhamm, Georg Böning, Uli Fehrenbach, Raphael Mohr, Dominik Geisel, Roman Kloeckner, Bernhard Gebauer, Federico Collettini","doi":"10.1186/s41747-025-00564-3","DOIUrl":null,"url":null,"abstract":"<p><strong>Background: </strong>We assessed the safety and efficacy of computed tomography (CT)-guided high-dose-rate (HDR) brachytherapy in treating hepatocellular carcinoma (HCC) with portal vein tumor thrombosis (PVTT).</p><p><strong>Methods: </strong>From January 2010 to January 2022, 56 patients (median age 67.5 years) with HCC and PVTT underwent 64 procedures. PVTT was further classified according to the Japan liver cancer study group into VP1-VP4. Tumor response was evaluated by cross-sectional imaging 6 weeks after CT-guided HDR brachytherapy and every 3 months thereafter. Local tumor control (LTC), progression-free survival (PFS), and overall survival (OS) were assessed using Kaplan-Meier curves. The severity of procedure-related complications was classified according to the Society of Interventional Radiology guidelines.</p><p><strong>Results: </strong>Patients were available for imaging evaluation for a median follow-up of 14.0 months. The median diameter of the largest lesion was 56 mm. Estimated median PFS, LTC, and OS were 7.0 (95% CI 5.0-13.0), 14.0 (95% CI 7.0-21.0), and 20.0 (95% CI 13.0-26.0) months respectively. Actuarial 1-, 2-, and 3-year OS rates were 66%, 41%, and 27%, respectively. Subclassified for VP1, VP2, VP3, and VP4 estimated OS was 38.0 (95% CI 9.0-Not-a-number), 21.5 (95% CI 15.0-25.0), 15.0 (95% CI 7.0-33.0), and 13.0 (95% CI 6.0-34.0) months, respectively. Considering the 64 procedures, we recorded no complications for 49 (76.6%), mild-to-moderate complications for 12 (18.8%), and major complications for 3 (4.7%).</p><p><strong>Conclusion: </strong>CT-guided HDR brachytherapy was safe and effective for locoregional treatment in patients with advanced HCC due to PVTT, achieving long-lasting local tumor control.</p><p><strong>Relevance statement: </strong>CT-guided HDR brachytherapy is an option to be considered for locoregional treatment of patients with advanced HCC due to PVTT.</p><p><strong>Key points: </strong>Evaluation of CT-guided high-dose-rate (HDR) brachytherapy in treating HCC patients with portal vein tumor thrombosis (PVTT). Median OS was 20.0 months ranging between 13.0 and 38.0 months. CT-guided HDR brachytherapy seems to be a safe and effective treatment option in HCC patients with PVTT.</p>","PeriodicalId":36926,"journal":{"name":"European Radiology Experimental","volume":"9 1","pages":"16"},"PeriodicalIF":3.6000,"publicationDate":"2025-02-14","publicationTypes":"Journal Article","fieldsOfStudy":null,"isOpenAccess":false,"openAccessPdf":"https://www.ncbi.nlm.nih.gov/pmc/articles/PMC11828765/pdf/","citationCount":"0","resultStr":null,"platform":"Semanticscholar","paperid":null,"PeriodicalName":"European Radiology Experimental","FirstCategoryId":"1085","ListUrlMain":"https://doi.org/10.1186/s41747-025-00564-3","RegionNum":0,"RegionCategory":null,"ArticlePicture":[],"TitleCN":null,"AbstractTextCN":null,"PMCID":null,"EPubDate":"","PubModel":"","JCR":"Q1","JCRName":"RADIOLOGY, NUCLEAR MEDICINE & MEDICAL IMAGING","Score":null,"Total":0}
引用次数: 0

Abstract

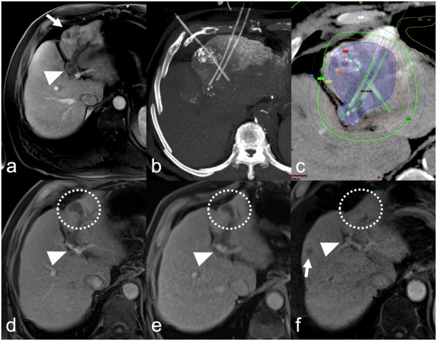
Background: We assessed the safety and efficacy of computed tomography (CT)-guided high-dose-rate (HDR) brachytherapy in treating hepatocellular carcinoma (HCC) with portal vein tumor thrombosis (PVTT).

Methods: From January 2010 to January 2022, 56 patients (median age 67.5 years) with HCC and PVTT underwent 64 procedures. PVTT was further classified according to the Japan liver cancer study group into VP1-VP4. Tumor response was evaluated by cross-sectional imaging 6 weeks after CT-guided HDR brachytherapy and every 3 months thereafter. Local tumor control (LTC), progression-free survival (PFS), and overall survival (OS) were assessed using Kaplan-Meier curves. The severity of procedure-related complications was classified according to the Society of Interventional Radiology guidelines.

Results: Patients were available for imaging evaluation for a median follow-up of 14.0 months. The median diameter of the largest lesion was 56 mm. Estimated median PFS, LTC, and OS were 7.0 (95% CI 5.0-13.0), 14.0 (95% CI 7.0-21.0), and 20.0 (95% CI 13.0-26.0) months respectively. Actuarial 1-, 2-, and 3-year OS rates were 66%, 41%, and 27%, respectively. Subclassified for VP1, VP2, VP3, and VP4 estimated OS was 38.0 (95% CI 9.0-Not-a-number), 21.5 (95% CI 15.0-25.0), 15.0 (95% CI 7.0-33.0), and 13.0 (95% CI 6.0-34.0) months, respectively. Considering the 64 procedures, we recorded no complications for 49 (76.6%), mild-to-moderate complications for 12 (18.8%), and major complications for 3 (4.7%).

Conclusion: CT-guided HDR brachytherapy was safe and effective for locoregional treatment in patients with advanced HCC due to PVTT, achieving long-lasting local tumor control.

Relevance statement: CT-guided HDR brachytherapy is an option to be considered for locoregional treatment of patients with advanced HCC due to PVTT.

Key points: Evaluation of CT-guided high-dose-rate (HDR) brachytherapy in treating HCC patients with portal vein tumor thrombosis (PVTT). Median OS was 20.0 months ranging between 13.0 and 38.0 months. CT-guided HDR brachytherapy seems to be a safe and effective treatment option in HCC patients with PVTT.

Abstract Image

Abstract Image

Abstract Image

ct引导下门静脉肿瘤血栓形成HCC患者的高剂量率近距离消融。
背景:我们评估了计算机断层扫描(CT)引导的高剂量率近距离放射治疗(HDR)治疗伴有门静脉肿瘤血栓形成(PVTT)的肝细胞癌(HCC)的安全性和有效性:2010年1月至2022年1月,56名患有HCC和PVTT的患者(中位年龄67.5岁)接受了64次手术。根据日本肝癌研究小组将 PVTT 进一步分为 VP1-VP4。在 CT 引导下进行 HDR 近距离放射治疗 6 周后,通过横断面成像评估肿瘤反应,此后每 3 个月评估一次。采用 Kaplan-Meier 曲线评估局部肿瘤控制(LTC)、无进展生存期(PFS)和总生存期(OS)。手术相关并发症的严重程度根据介入放射学会指南进行分类:患者接受影像评估的中位随访时间为14.0个月。最大病灶的中位直径为 56 毫米。估计中位 PFS、LTC 和 OS 分别为 7.0 个月(95% CI 5.0-13.0)、14.0 个月(95% CI 7.0-21.0)和 20.0 个月(95% CI 13.0-26.0)。1年、2年和3年的精算OS率分别为66%、41%和27%。根据 VP1、VP2、VP3 和 VP4 进行亚分类后,估计 OS 分别为 38.0(95% CI 9.0-无数字)、21.5(95% CI 15.0-25.0)、15.0(95% CI 7.0-33.0)和 13.0(95% CI 6.0-34.0)个月。64例手术中,49例(76.6%)无并发症,12例(18.8%)有轻度至中度并发症,3例(4.7%)有严重并发症:结论:CT引导下的HDR近距离放射治疗对PVTT导致的晚期HCC患者的局部治疗是安全有效的,可实现持久的局部肿瘤控制:CT引导下的HDR近距离放射治疗是PVTT所致晚期HCC患者局部治疗的一个可考虑的选择:评估CT引导下高剂量率(HDR)近距离放射治疗门静脉肿瘤血栓形成(PVTT)HCC患者的效果。中位OS为20.0个月,介于13.0个月和38.0个月之间。CT引导下的HDR近距离放射治疗似乎是治疗患有门静脉瘤栓的HCC患者的一种安全有效的方法。
本文章由计算机程序翻译,如有差异,请以英文原文为准。
求助全文
约1分钟内获得全文 求助全文
来源期刊
European Radiology Experimental
European Radiology Experimental Medicine-Radiology, Nuclear Medicine and Imaging
CiteScore
6.70
自引率
2.60%
发文量
56
审稿时长
18 weeks
×
引用
GB/T 7714-2015
复制
MLA
复制
APA
复制
导出至
BibTeX EndNote RefMan NoteFirst NoteExpress
×
提示
您的信息不完整,为了账户安全,请先补充。
现在去补充
×
提示
您因"违规操作"
具体请查看互助需知
我知道了
×
提示
确定
请完成安全验证×
copy
已复制链接
快去分享给好友吧!
我知道了
右上角分享
点击右上角分享
0
联系我们:info@booksci.cn Book学术提供免费学术资源搜索服务,方便国内外学者检索中英文文献。致力于提供最便捷和优质的服务体验。 Copyright © 2023 布克学术 All rights reserved.
京ICP备2023020795号-1
ghs 京公网安备 11010802042870号
Book学术文献互助
Book学术文献互助群
群 号:604180095
Book学术官方微信