A rare case of pancreatic mucinous cystic neoplasm in a pediatric patient.

JPGN reports Pub Date : 2024-12-13 eCollection Date: 2025-02-01 DOI:10.1002/jpr3.12156
Muhammed Ali Colak, A Jay Freeman, Christie Heinzman, Muhammad A Khan, Shamlal Mangray, Carol J Potter, Sara K Rasmussen, Mitchell A Rees, Jaimie D Nathan
{"title":"A rare case of pancreatic mucinous cystic neoplasm in a pediatric patient.","authors":"Muhammed Ali Colak, A Jay Freeman, Christie Heinzman, Muhammad A Khan, Shamlal Mangray, Carol J Potter, Sara K Rasmussen, Mitchell A Rees, Jaimie D Nathan","doi":"10.1002/jpr3.12156","DOIUrl":null,"url":null,"abstract":"<p><p>Pancreatic mucinous cystic neoplasms (MCNs) are rare tumors predominantly identified in middle-aged females. Occurrences are extremely rare in children. We report a rare case of pancreatic MCN in an adolescent. A 14-year-old female with Smith-Magenis syndrome and steatotic liver disease (SLD) presented with abdominal discomfort. Magnetic resonance elastography obtained for SLD revealed cholelithiasis and a 0.5-cm cyst in the distal pancreas. Observation was recommended by her pediatric surgery provider. At 18 years old, contrast-enhanced abdominal magnetic resonance imaging showed a 2.4-cm mildly complex, septate, cystic lesion along the distal pancreas with no soft tissue component, pancreatic atrophy, or ductal dilation. Endoscopic ultrasound with cyst fluid cytology showed no definitive neoplasm. Carcinoembryonic antigen level of cyst fluid was markedly elevated at 11,207 ng/mL, concerning an MCN. She was referred to Hepatopancreatobiliary Surgery for evaluation and underwent robotic-assisted distal pancreatectomy. Final pathology revealed a 2.8-cm low-grade MCN with intermediate-grade dysplasia.</p>","PeriodicalId":501015,"journal":{"name":"JPGN reports","volume":"6 1","pages":"60-64"},"PeriodicalIF":0.0000,"publicationDate":"2024-12-13","publicationTypes":"Journal Article","fieldsOfStudy":null,"isOpenAccess":false,"openAccessPdf":"https://www.ncbi.nlm.nih.gov/pmc/articles/PMC11810804/pdf/","citationCount":"0","resultStr":null,"platform":"Semanticscholar","paperid":null,"PeriodicalName":"JPGN reports","FirstCategoryId":"1085","ListUrlMain":"https://doi.org/10.1002/jpr3.12156","RegionNum":0,"RegionCategory":null,"ArticlePicture":[],"TitleCN":null,"AbstractTextCN":null,"PMCID":null,"EPubDate":"2025/2/1 0:00:00","PubModel":"eCollection","JCR":"","JCRName":"","Score":null,"Total":0}
引用次数: 0

Abstract

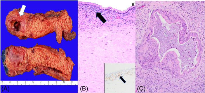
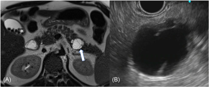
Pancreatic mucinous cystic neoplasms (MCNs) are rare tumors predominantly identified in middle-aged females. Occurrences are extremely rare in children. We report a rare case of pancreatic MCN in an adolescent. A 14-year-old female with Smith-Magenis syndrome and steatotic liver disease (SLD) presented with abdominal discomfort. Magnetic resonance elastography obtained for SLD revealed cholelithiasis and a 0.5-cm cyst in the distal pancreas. Observation was recommended by her pediatric surgery provider. At 18 years old, contrast-enhanced abdominal magnetic resonance imaging showed a 2.4-cm mildly complex, septate, cystic lesion along the distal pancreas with no soft tissue component, pancreatic atrophy, or ductal dilation. Endoscopic ultrasound with cyst fluid cytology showed no definitive neoplasm. Carcinoembryonic antigen level of cyst fluid was markedly elevated at 11,207 ng/mL, concerning an MCN. She was referred to Hepatopancreatobiliary Surgery for evaluation and underwent robotic-assisted distal pancreatectomy. Final pathology revealed a 2.8-cm low-grade MCN with intermediate-grade dysplasia.

Abstract Image

Abstract Image

Abstract Image

小儿胰腺粘液囊性肿瘤一例。
胰腺粘液囊性肿瘤(mcn)是一种罕见的肿瘤,主要见于中年女性。这种情况在儿童中极为罕见。我们报告一例罕见的青少年胰腺MCN病例。一名14岁女性,患有Smith-Magenis综合征和脂肪变性肝病(SLD),表现为腹部不适。SLD的磁共振弹性成像显示胆石症和胰腺远端0.5 cm的囊肿。她的儿科外科医生建议观察。18岁时,腹部磁共振增强成像显示胰腺远端有一个2.4厘米的轻度复杂、分隔、囊性病变,无软组织成分、胰腺萎缩或导管扩张。内窥镜超声及囊肿液细胞学检查未见明确肿瘤。囊液癌胚抗原水平明显升高,为11,207 ng/mL,与MCN有关。她被转介到肝胆胰外科进行评估,并接受了机器人辅助的远端胰腺切除术。最终病理显示为2.8 cm低级别MCN伴中度发育不良。
本文章由计算机程序翻译,如有差异,请以英文原文为准。
求助全文
约1分钟内获得全文 求助全文
来源期刊
自引率
0.00%
发文量
0
×
引用
GB/T 7714-2015
复制
MLA
复制
APA
复制
导出至
BibTeX EndNote RefMan NoteFirst NoteExpress
×
提示
您的信息不完整,为了账户安全,请先补充。
现在去补充
×
提示
您因"违规操作"
具体请查看互助需知
我知道了
×
提示
确定
请完成安全验证×
copy
已复制链接
快去分享给好友吧!
我知道了
右上角分享
点击右上角分享
0
联系我们:info@booksci.cn Book学术提供免费学术资源搜索服务,方便国内外学者检索中英文文献。致力于提供最便捷和优质的服务体验。 Copyright © 2023 布克学术 All rights reserved.
京ICP备2023020795号-1
ghs 京公网安备 11010802042870号
Book学术文献互助
Book学术文献互助群
群 号:604180095
Book学术官方微信