Ear malformation in a child with Goldenhar syndrome and its appropriate audiological management.

IF 0.6
Andrés González Fernández, Manuela Del Carmen Zapata, José Zubicaray Ugarteche
{"title":"Ear malformation in a child with Goldenhar syndrome and its appropriate audiological management.","authors":"Andrés González Fernández, Manuela Del Carmen Zapata, José Zubicaray Ugarteche","doi":"10.23938/ASSN.1102","DOIUrl":null,"url":null,"abstract":"<p><p>Goldenhar syndrome is a rare congenital disorder characterized by defects in the development of structures derived from the first and the second branchial arches. This condition encompasses a range of symptoms, including craniofacial, ocular, vertebral, and auricular abnormalities. We present the case of a 6-year-old girl with right temporal bone hypoplasia and preauricular tag from birth, leading to a diagnosis of Goldenhar syndrome. She exhibited various middle and external ear defects, and her audiological treatment was crucial in ensuring optimal neurological and speech development. In adolescence, if the Eustachian tube remains stable, surgical repair of the ossicular chain may be considered.</p>","PeriodicalId":500996,"journal":{"name":"Anales del sistema sanitario de Navarra","volume":"48 1","pages":""},"PeriodicalIF":0.6000,"publicationDate":"2025-02-13","publicationTypes":"Journal Article","fieldsOfStudy":null,"isOpenAccess":false,"openAccessPdf":"https://www.ncbi.nlm.nih.gov/pmc/articles/PMC11925475/pdf/","citationCount":"0","resultStr":null,"platform":"Semanticscholar","paperid":null,"PeriodicalName":"Anales del sistema sanitario de Navarra","FirstCategoryId":"1085","ListUrlMain":"https://doi.org/10.23938/ASSN.1102","RegionNum":0,"RegionCategory":null,"ArticlePicture":[],"TitleCN":null,"AbstractTextCN":null,"PMCID":null,"EPubDate":"","PubModel":"","JCR":"","JCRName":"","Score":null,"Total":0}
引用次数: 0

Abstract

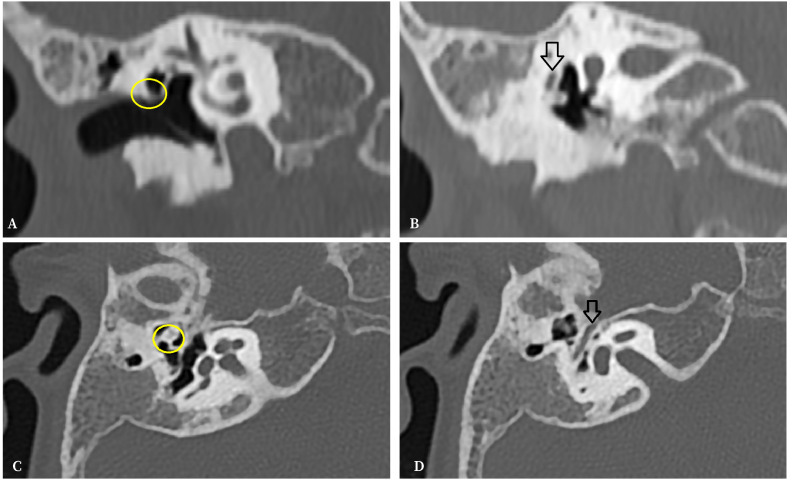
Goldenhar syndrome is a rare congenital disorder characterized by defects in the development of structures derived from the first and the second branchial arches. This condition encompasses a range of symptoms, including craniofacial, ocular, vertebral, and auricular abnormalities. We present the case of a 6-year-old girl with right temporal bone hypoplasia and preauricular tag from birth, leading to a diagnosis of Goldenhar syndrome. She exhibited various middle and external ear defects, and her audiological treatment was crucial in ensuring optimal neurological and speech development. In adolescence, if the Eustachian tube remains stable, surgical repair of the ossicular chain may be considered.

Abstract Image

Abstract Image

一名戈登哈尔综合征患儿的耳朵畸形及其听力治疗。
Goldenhar综合征是一种罕见的先天性疾病,其特征是源自第一和第二鳃弓的结构发育缺陷。此病包括一系列症状,包括颅面、眼、椎体和耳部异常。我们提出的情况下,6岁的女孩右颞骨发育不全和耳前标签从出生,导致诊断为戈登哈综合征。她表现出各种中耳和外耳缺陷,她的听力学治疗对于确保最佳的神经和语言发育至关重要。在青春期,如果耳咽管保持稳定,可以考虑手术修复听骨链。
本文章由计算机程序翻译,如有差异,请以英文原文为准。
求助全文
约1分钟内获得全文 求助全文
来源期刊
自引率
0.00%
发文量
0
×
引用
GB/T 7714-2015
复制
MLA
复制
APA
复制
导出至
BibTeX EndNote RefMan NoteFirst NoteExpress
×
提示
您的信息不完整,为了账户安全,请先补充。
现在去补充
×
提示
您因"违规操作"
具体请查看互助需知
我知道了
×
提示
确定
请完成安全验证×
copy
已复制链接
快去分享给好友吧!
我知道了
右上角分享
点击右上角分享
0
联系我们:info@booksci.cn Book学术提供免费学术资源搜索服务,方便国内外学者检索中英文文献。致力于提供最便捷和优质的服务体验。 Copyright © 2023 布克学术 All rights reserved.
京ICP备2023020795号-1
ghs 京公网安备 11010802042870号
Book学术文献互助
Book学术文献互助群
群 号:604180095
Book学术官方微信