Complex Presentation of Seatbelt Syndrome.

Naif Alkhaldi, Sadeem Aljaman, Rahaf Alghamdi, Faten Al Aqeel, Mamon Nabri, Ayman Nasr, Humood Al Sadery, Saleh Busbait
{"title":"Complex Presentation of Seatbelt Syndrome.","authors":"Naif Alkhaldi, Sadeem Aljaman, Rahaf Alghamdi, Faten Al Aqeel, Mamon Nabri, Ayman Nasr, Humood Al Sadery, Saleh Busbait","doi":"10.5455/medarh.2024.78.244-246","DOIUrl":null,"url":null,"abstract":"<p><strong>Background: </strong>Seat belt usage can lead to injuries like the \"Seat-belt sign,\" an abdominal bruising from compression forces. When coupled with internal or lumbar injuries, this forms \"Seat Belt Syndrome.</p><p><strong>Objective: </strong>This report details the case of a young male involved in a frontal collision, presenting with severe multiple complicated injuries including abdominal trauma with multiple damage control surgeries.</p><p><strong>Case presentation: </strong>The patient presented to the emergency department after road traffic accident with a seat belt sign, Exploratory laparotomy unveiled extensive injuries, including complete jejunal transaction, avulsion of the terminal ileum, sigmoid mesentery avulsion, and rectosigmoid junction degloving with left anterolateral muscle destruction forming a traumatic hernia. Surgical interventions included jejunal resection and anastomosis, ileocecal limited resection and anastomosis, lastly Hartmann procedure and left high colostomy creation. Subsequent procedures addressed complications, in form of anastomotic leakage managed with resection of the ileocolic anastomosis and ileostomy creation, Vacuum-Assisted Closure dressing, and biological mesh placement to manage abdominal wall infection and dehiscence. After one year the patient underwent surgery for ileostomy and colostomy reversal, along with abdominal wall reconstruction using biosynthetic mesh.</p><p><strong>Conclusion: </strong>Managing injuries involving the jejunum, ileum, and rectosigmoid requires careful surgical intervention, considering individual cases and surgeon judgment. Our experience highlights the need for a modification in the emergency room policies, advocating immediate computed tomography scans for patients with seat belt signs for early detection and improved outcomes.</p>","PeriodicalId":94135,"journal":{"name":"Medical archives (Sarajevo, Bosnia and Herzegovina)","volume":"78 3","pages":"244-246"},"PeriodicalIF":0.0000,"publicationDate":"2024-01-01","publicationTypes":"Journal Article","fieldsOfStudy":null,"isOpenAccess":false,"openAccessPdf":"https://www.ncbi.nlm.nih.gov/pmc/articles/PMC11813206/pdf/","citationCount":"0","resultStr":null,"platform":"Semanticscholar","paperid":null,"PeriodicalName":"Medical archives (Sarajevo, Bosnia and Herzegovina)","FirstCategoryId":"1085","ListUrlMain":"https://doi.org/10.5455/medarh.2024.78.244-246","RegionNum":0,"RegionCategory":null,"ArticlePicture":[],"TitleCN":null,"AbstractTextCN":null,"PMCID":null,"EPubDate":"","PubModel":"","JCR":"","JCRName":"","Score":null,"Total":0}
引用次数: 0

Abstract

Background: Seat belt usage can lead to injuries like the "Seat-belt sign," an abdominal bruising from compression forces. When coupled with internal or lumbar injuries, this forms "Seat Belt Syndrome.

Objective: This report details the case of a young male involved in a frontal collision, presenting with severe multiple complicated injuries including abdominal trauma with multiple damage control surgeries.

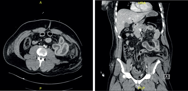
Case presentation: The patient presented to the emergency department after road traffic accident with a seat belt sign, Exploratory laparotomy unveiled extensive injuries, including complete jejunal transaction, avulsion of the terminal ileum, sigmoid mesentery avulsion, and rectosigmoid junction degloving with left anterolateral muscle destruction forming a traumatic hernia. Surgical interventions included jejunal resection and anastomosis, ileocecal limited resection and anastomosis, lastly Hartmann procedure and left high colostomy creation. Subsequent procedures addressed complications, in form of anastomotic leakage managed with resection of the ileocolic anastomosis and ileostomy creation, Vacuum-Assisted Closure dressing, and biological mesh placement to manage abdominal wall infection and dehiscence. After one year the patient underwent surgery for ileostomy and colostomy reversal, along with abdominal wall reconstruction using biosynthetic mesh.

Conclusion: Managing injuries involving the jejunum, ileum, and rectosigmoid requires careful surgical intervention, considering individual cases and surgeon judgment. Our experience highlights the need for a modification in the emergency room policies, advocating immediate computed tomography scans for patients with seat belt signs for early detection and improved outcomes.

Abstract Image

Abstract Image

Abstract Image

安全带综合症的复杂表现。
背景:安全带的使用可能会导致像“安全带标志”这样的伤害,这是一种由压迫力造成的腹部瘀伤。当加上内部或腰椎损伤时,就形成了“安全带综合症”。目的:本报告详细介绍了一名年轻男性发生正面碰撞的病例,表现为严重的多重复杂损伤,包括腹部创伤和多次损伤控制手术。病例介绍:该患者因道路交通事故出现安全带标志而被送往急诊科,剖腹探查发现广泛损伤,包括空肠完全脱落,回肠末端撕脱,乙状结肠肠系膜撕脱,直肠乙状结肠连接处脱套伴左前外侧肌肉破坏形成外伤性疝。手术干预包括空肠切除吻合、回盲部有限切除吻合、Hartmann手术及左高结肠造口术。随后的手术解决了并发症,通过切除回结肠吻合处和造回造口来处理吻合口漏,真空辅助闭合敷料和放置生物补片来处理腹壁感染和开裂。一年后,患者接受了回肠造口术和结肠造口术逆转手术,并使用生物合成补片重建腹壁。结论:治疗累及空肠、回肠和乙状结肠直肠的损伤需要谨慎的手术干预,考虑个案和外科医生的判断。我们的经验强调了修改急诊室政策的必要性,提倡对有安全带迹象的患者立即进行计算机断层扫描,以便早期发现并改善预后。
本文章由计算机程序翻译,如有差异,请以英文原文为准。
求助全文
约1分钟内获得全文 求助全文
来源期刊
自引率
0.00%
发文量
0
×
引用
GB/T 7714-2015
复制
MLA
复制
APA
复制
导出至
BibTeX EndNote RefMan NoteFirst NoteExpress
×
提示
您的信息不完整,为了账户安全,请先补充。
现在去补充
×
提示
您因"违规操作"
具体请查看互助需知
我知道了
×
提示
确定
请完成安全验证×
copy
已复制链接
快去分享给好友吧!
我知道了
右上角分享
点击右上角分享
0
联系我们:info@booksci.cn Book学术提供免费学术资源搜索服务,方便国内外学者检索中英文文献。致力于提供最便捷和优质的服务体验。 Copyright © 2023 布克学术 All rights reserved.
京ICP备2023020795号-1
ghs 京公网安备 11010802042870号
Book学术文献互助
Book学术文献互助群
群 号:604180095
Book学术官方微信