L-Boronphenylalanine Biodistribution Dynamics in the Organs of Mice with Subcutaneous Tumor Xenograft is a Model to Assess Neuron Sources Efficiency in Boron Neutron Capture Therapy.

Sovremennye tekhnologii v meditsine Pub Date : 2023-01-01 Epub Date: 2023-12-27 DOI:10.17691/stm2023.15.6.02
I N Druzkova, A A Pakhomova, N I Ignatova, A R Suleymanova, A V Maslennikova
{"title":"L-Boronphenylalanine Biodistribution Dynamics in the Organs of Mice with Subcutaneous Tumor Xenograft is a Model to Assess Neuron Sources Efficiency in Boron Neutron Capture Therapy.","authors":"I N Druzkova, A A Pakhomova, N I Ignatova, A R Suleymanova, A V Maslennikova","doi":"10.17691/stm2023.15.6.02","DOIUrl":null,"url":null,"abstract":"<p><p>Boron neutron capture therapy (BNCT), due to its high biological efficiency, is one of the most promising methods of radiation therapy for malignant tumors. Currently, research in this area has received momentum due to the emergence of fundamentally new compact neutron sources suitable for clinical use. <b>The aim of the investigation</b> was to study L-boronphenylalanine (L-BPA) biodistribution in the organs of experimental animals with subcutaneous tumor xenografts, and evaluate the application of the experimental model to assess the effectiveness of new neutron sources.</p><p><strong>Materials and methods: </strong>The experiments were carried out on BALB/c mice with subcutaneous xenograft of mouse adenocarcinoma CT26. L-boronphenylalanine in a molar excess of fructose was administered intravenously at a dose of 350 mg/kg, the organs under study were taken 1.5, 3, 6, and 24 h after drug administration. The content of the <sup>10</sup>B isotope was analyzed using inductively coupled plasma mass spectroscopy (ICP-MS). The absence of toxic effects was verified pathomorphologically.</p><p><strong>Results: </strong>The maximum L-BPA content in the tumor was 142.0±4.41 μg/g 1.5 h after drug administration. The minimum therapeutic concentration of L-BPA in the tumor persists up to 5.4 h after drug administration. Among normal organs, the maximum content was observed in the kidneys, it is most likely being associated with the structural and functional features of the organ rather than the true content of L-BPA in the tissues. Histological studies revealed no structural disorders and dystrophic changes in tissues against the background of L-BPA introduction.</p><p><strong>Conclusion: </strong>The results of the study demonstrate the feasibility of the studied tumor model to evaluate the efficiency of new neutron sources for BNCT. The L-borophenylalanine content in the tumor and the time of maintaining the minimum therapeutic concentration appeared to be sufficient for effective BNCT. The high contrast of <sup>10</sup>B accumulation relative to non-pathological tissues minimizes the possible side effects of BNCT.</p>","PeriodicalId":520289,"journal":{"name":"Sovremennye tekhnologii v meditsine","volume":"15 6","pages":"14-20"},"PeriodicalIF":0.0000,"publicationDate":"2023-01-01","publicationTypes":"Journal Article","fieldsOfStudy":null,"isOpenAccess":false,"openAccessPdf":"https://www.ncbi.nlm.nih.gov/pmc/articles/PMC11811830/pdf/","citationCount":"0","resultStr":null,"platform":"Semanticscholar","paperid":null,"PeriodicalName":"Sovremennye tekhnologii v meditsine","FirstCategoryId":"1085","ListUrlMain":"https://doi.org/10.17691/stm2023.15.6.02","RegionNum":0,"RegionCategory":null,"ArticlePicture":[],"TitleCN":null,"AbstractTextCN":null,"PMCID":null,"EPubDate":"2023/12/27 0:00:00","PubModel":"Epub","JCR":"","JCRName":"","Score":null,"Total":0}
引用次数: 0

Abstract

Boron neutron capture therapy (BNCT), due to its high biological efficiency, is one of the most promising methods of radiation therapy for malignant tumors. Currently, research in this area has received momentum due to the emergence of fundamentally new compact neutron sources suitable for clinical use. The aim of the investigation was to study L-boronphenylalanine (L-BPA) biodistribution in the organs of experimental animals with subcutaneous tumor xenografts, and evaluate the application of the experimental model to assess the effectiveness of new neutron sources.

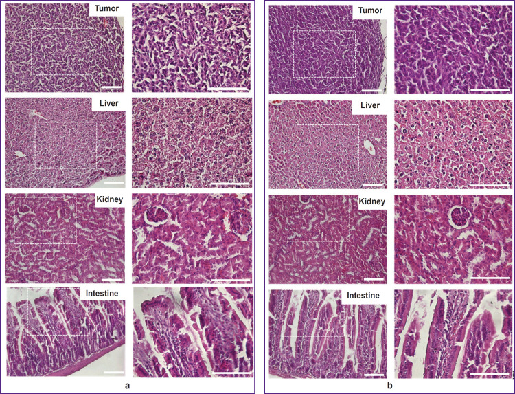
Materials and methods: The experiments were carried out on BALB/c mice with subcutaneous xenograft of mouse adenocarcinoma CT26. L-boronphenylalanine in a molar excess of fructose was administered intravenously at a dose of 350 mg/kg, the organs under study were taken 1.5, 3, 6, and 24 h after drug administration. The content of the 10B isotope was analyzed using inductively coupled plasma mass spectroscopy (ICP-MS). The absence of toxic effects was verified pathomorphologically.

Results: The maximum L-BPA content in the tumor was 142.0±4.41 μg/g 1.5 h after drug administration. The minimum therapeutic concentration of L-BPA in the tumor persists up to 5.4 h after drug administration. Among normal organs, the maximum content was observed in the kidneys, it is most likely being associated with the structural and functional features of the organ rather than the true content of L-BPA in the tissues. Histological studies revealed no structural disorders and dystrophic changes in tissues against the background of L-BPA introduction.

Conclusion: The results of the study demonstrate the feasibility of the studied tumor model to evaluate the efficiency of new neutron sources for BNCT. The L-borophenylalanine content in the tumor and the time of maintaining the minimum therapeutic concentration appeared to be sufficient for effective BNCT. The high contrast of 10B accumulation relative to non-pathological tissues minimizes the possible side effects of BNCT.

Abstract Image

Abstract Image

Abstract Image

l -硼苯丙氨酸在皮下肿瘤移植小鼠器官中的生物分布动力学是评估硼中子捕获治疗中神经元源效率的模型。
硼中子俘获疗法(BNCT)因其生物效率高而成为恶性肿瘤放射治疗中最有前途的方法之一。目前,由于出现了适合临床使用的新型致密中子源,这一领域的研究势头强劲。本研究旨在研究l -硼苯丙氨酸(L-BPA)在皮下肿瘤异种移植实验动物器官中的生物分布,并评价该实验模型在评估新型中子源有效性方面的应用。材料与方法:采用小鼠腺癌CT26皮下异种移植BALB/c小鼠进行实验。l -硼苯丙氨酸在摩尔过量的果糖中以350 mg/kg的剂量静脉注射,在给药后1.5、3、6和24小时服用所研究的器官。采用电感耦合等离子体质谱(ICP-MS)分析了10B同位素的含量。病理形态学证实无毒性作用。结果:给药后1.5 h肿瘤组织中L-BPA含量最高为142.0±4.41 μg/g。L-BPA在肿瘤中的最低治疗浓度持续到给药后5.4小时。在正常器官中,肾脏的含量最高,这很可能与器官的结构和功能特征有关,而不是与组织中L-BPA的真实含量有关。组织学研究显示,在引入L-BPA的背景下,组织没有结构紊乱和营养不良的变化。结论:研究结果证明了所研究的肿瘤模型用于评估BNCT新中子源效率的可行性。肿瘤中l -硼苯丙氨酸含量和维持最低治疗浓度的时间似乎足以实现有效的BNCT。与非病理组织相比,10B积累的高对比度使BNCT可能的副作用降到最低。
本文章由计算机程序翻译,如有差异,请以英文原文为准。
求助全文
约1分钟内获得全文 求助全文
来源期刊
自引率
0.00%
发文量
0
×
引用
GB/T 7714-2015
复制
MLA
复制
APA
复制
导出至
BibTeX EndNote RefMan NoteFirst NoteExpress
×
提示
您的信息不完整,为了账户安全,请先补充。
现在去补充
×
提示
您因"违规操作"
具体请查看互助需知
我知道了
×
提示
确定
请完成安全验证×
copy
已复制链接
快去分享给好友吧!
我知道了
右上角分享
点击右上角分享
0
联系我们:info@booksci.cn Book学术提供免费学术资源搜索服务,方便国内外学者检索中英文文献。致力于提供最便捷和优质的服务体验。 Copyright © 2023 布克学术 All rights reserved.
京ICP备2023020795号-1
ghs 京公网安备 11010802042870号
Book学术文献互助
Book学术文献互助群
群 号:604180095
Book学术官方微信