Microscopic testicular sperm extraction in 46, XY differences in sex development caused by 5-alpha reductase type 2 deficiency.

IF 2.3 4区 医学 Q4 ENDOCRINOLOGY & METABOLISM
Joao Paulo Greco Cardoso, Berenice Bilharinho Mendonça, William Carlos Nahas, Marcello Antonio Signorelli Cocuzza
{"title":"Microscopic testicular sperm extraction in 46, XY differences in sex development caused by 5-alpha reductase type 2 deficiency.","authors":"Joao Paulo Greco Cardoso, Berenice Bilharinho Mendonça, William Carlos Nahas, Marcello Antonio Signorelli Cocuzza","doi":"10.20945/2359-4292-2024-0223","DOIUrl":null,"url":null,"abstract":"<p><p>The 46, XY differences in sex development (DSD) caused by 5-alpha reductase type 2 (5ARD2) often presents with bilateral undescended testicles, otherwise normal internal reproductive structures, prostate hypoplasia and undervirilized male genitalia. Notably, as one of the few DSDs where fertility is possible, the clinical presentation of this disease is diverse, and reported cases of assisted reproduction are scarce. The fertility potential, reproductive counseling and treatment depend on the clinical presentation of this DSD, especially the testicular position and urethral anatomy. The influence of the timing and modality of surgery for hypospadias and cryptorchidism should be considered. We aimed to describe the use of microscopic testicular sperm extraction (micro-TESE) in this population. We provide a descriptive analysis of how micro-TESE is a possible potential tool for assisted reproduction in 5ARD2-deficient patients. A 33-year-old male who underwent bilateral orchidopexy, phalloplasty, and urethroplasty at the age of 9 years presented successful sperm retrieval but failed embryo development after intracytoplasmic sperm injection. Testicular histology revealed late spermatogenic arrest. A 28-year-old male with bilateral orchidopexy, phalloplasty, and urethroplasty at age 25 with unsuccessful sperm retrieval. Testicular histology revealed a Sertoli cell-only pattern. 5ARD2-deficient patients are singular patients. The potential impact of the time between atypical genitalia procedures and orchidopexy on fertility should be highly considered. Micro-TESE is a technique that may be used to assist azoospermic patients in this population. Early orchidopexy and penile and urethral corrections should be considered key strategies to preserve the fertility potential of 5ARD2 patients.</p>","PeriodicalId":54303,"journal":{"name":"Archives of Endocrinology Metabolism","volume":"69 1","pages":"e240223"},"PeriodicalIF":2.3000,"publicationDate":"2025-02-13","publicationTypes":"Journal Article","fieldsOfStudy":null,"isOpenAccess":false,"openAccessPdf":"https://www.ncbi.nlm.nih.gov/pmc/articles/PMC11834858/pdf/","citationCount":"0","resultStr":null,"platform":"Semanticscholar","paperid":null,"PeriodicalName":"Archives of Endocrinology Metabolism","FirstCategoryId":"3","ListUrlMain":"https://doi.org/10.20945/2359-4292-2024-0223","RegionNum":4,"RegionCategory":"医学","ArticlePicture":[],"TitleCN":null,"AbstractTextCN":null,"PMCID":null,"EPubDate":"","PubModel":"","JCR":"Q4","JCRName":"ENDOCRINOLOGY & METABOLISM","Score":null,"Total":0}
引用次数: 0

Abstract

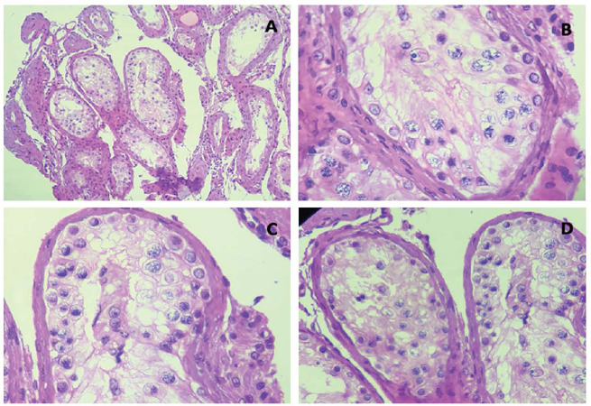
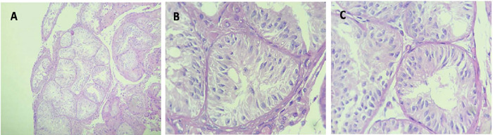
The 46, XY differences in sex development (DSD) caused by 5-alpha reductase type 2 (5ARD2) often presents with bilateral undescended testicles, otherwise normal internal reproductive structures, prostate hypoplasia and undervirilized male genitalia. Notably, as one of the few DSDs where fertility is possible, the clinical presentation of this disease is diverse, and reported cases of assisted reproduction are scarce. The fertility potential, reproductive counseling and treatment depend on the clinical presentation of this DSD, especially the testicular position and urethral anatomy. The influence of the timing and modality of surgery for hypospadias and cryptorchidism should be considered. We aimed to describe the use of microscopic testicular sperm extraction (micro-TESE) in this population. We provide a descriptive analysis of how micro-TESE is a possible potential tool for assisted reproduction in 5ARD2-deficient patients. A 33-year-old male who underwent bilateral orchidopexy, phalloplasty, and urethroplasty at the age of 9 years presented successful sperm retrieval but failed embryo development after intracytoplasmic sperm injection. Testicular histology revealed late spermatogenic arrest. A 28-year-old male with bilateral orchidopexy, phalloplasty, and urethroplasty at age 25 with unsuccessful sperm retrieval. Testicular histology revealed a Sertoli cell-only pattern. 5ARD2-deficient patients are singular patients. The potential impact of the time between atypical genitalia procedures and orchidopexy on fertility should be highly considered. Micro-TESE is a technique that may be used to assist azoospermic patients in this population. Early orchidopexy and penile and urethral corrections should be considered key strategies to preserve the fertility potential of 5ARD2 patients.

Abstract Image

Abstract Image

显微镜下睾丸精子提取46例,5- α还原酶2型缺乏引起性发育的XY差异。
由5- α还原酶2型(5ARD2)引起的46,xy性发育差异(DSD)通常表现为双侧睾丸未降,否则内部生殖结构正常,前列腺发育不全和男性生殖器阳痿。值得注意的是,作为少数可能生育的dsd之一,这种疾病的临床表现多种多样,辅助生殖的报告病例很少。生育潜力、生殖咨询和治疗取决于该DSD的临床表现,特别是睾丸位置和尿道解剖。尿道下裂和隐睾手术时机和手术方式的影响应予以考虑。我们的目的是描述在这一人群中使用显微睾丸精子提取(micro-TESE)。我们提供了一项描述性分析,说明微型tese如何成为5ard2缺陷患者辅助生殖的可能潜在工具。一位33岁男性患者在9岁时接受了双侧睾丸切除术、阴茎成形术和尿道成形术,精子恢复成功,但在胞浆内单精子注射后胚胎发育失败。睾丸组织学显示晚期生精阻滞。一位28岁男性患者,25岁时行双侧睾丸切除术、阴茎成形术和尿道成形术,精子取出失败。睾丸组织学显示仅支持细胞模式。5ard2缺陷患者是单一患者。非典型生殖器手术和兰花切除术之间的时间对生育能力的潜在影响应予以高度考虑。Micro-TESE是一种可用于帮助无精子症患者的技术。早期睾丸切除术、阴茎和尿道矫正应被视为保持5ARD2患者生育潜力的关键策略。
本文章由计算机程序翻译,如有差异,请以英文原文为准。
求助全文
约1分钟内获得全文 求助全文
来源期刊
Archives of Endocrinology Metabolism
Archives of Endocrinology Metabolism Medicine-Endocrinology, Diabetes and Metabolism
CiteScore
2.90
自引率
5.90%
发文量
107
审稿时长
7 weeks
期刊介绍: The Archives of Endocrinology and Metabolism - AE&M – is the official journal of the Brazilian Society of Endocrinology and Metabolism - SBEM, which is affiliated with the Brazilian Medical Association. Edited since 1951, the AE&M aims at publishing articles on scientific themes in the basic translational and clinical area of Endocrinology and Metabolism. The printed version AE&M is published in 6 issues/year. The full electronic issue is open access in the SciELO - Scientific Electronic Library Online e at the AE&M site: www.aem-sbem.com. From volume 59 on, the name was changed to Archives of Endocrinology and Metabolism, and it became mandatory for manuscripts to be submitted in English for the online issue. However, for the printed issue it is still optional for the articles to be sent in English or Portuguese. The journal is published six times a year, with one issue every two months.
×
引用
GB/T 7714-2015
复制
MLA
复制
APA
复制
导出至
BibTeX EndNote RefMan NoteFirst NoteExpress
×
提示
您的信息不完整,为了账户安全,请先补充。
现在去补充
×
提示
您因"违规操作"
具体请查看互助需知
我知道了
×
提示
确定
请完成安全验证×
copy
已复制链接
快去分享给好友吧!
我知道了
右上角分享
点击右上角分享
0
联系我们:info@booksci.cn Book学术提供免费学术资源搜索服务,方便国内外学者检索中英文文献。致力于提供最便捷和优质的服务体验。 Copyright © 2023 布克学术 All rights reserved.
京ICP备2023020795号-1
ghs 京公网安备 11010802042870号
Book学术文献互助
Book学术文献互助群
群 号:604180095
Book学术官方微信