A Veterinary DICOM-Based Deep Learning Denoising Algorithm Can Improve Subjective and Objective Brain MRI Image Quality.

IF 1.5 2区 农林科学 Q2 VETERINARY SCIENCES
Wilfried Mai, Silke Hecht, Matthew Paek, Shannon P Holmes, Hugo Dorez, Martin Blanchard, Jamil Nour Eddin
{"title":"A Veterinary DICOM-Based Deep Learning Denoising Algorithm Can Improve Subjective and Objective Brain MRI Image Quality.","authors":"Wilfried Mai, Silke Hecht, Matthew Paek, Shannon P Holmes, Hugo Dorez, Martin Blanchard, Jamil Nour Eddin","doi":"10.1111/vru.70015","DOIUrl":null,"url":null,"abstract":"<p><p>In this analytical cross-sectional method comparison study, we evaluated brain MR images in 30 dogs and cats with and without using a DICOM-based deep-learning (DL) denoising algorithm developed specifically for veterinary patients. Quantitative comparison was performed by measuring signal-to-noise (SNR) and contrast-to-noise ratios (CNR) on the same T2-weighted (T2W), T2-FLAIR, and Gradient Echo (GRE) MR brain images in each patient (native images and after denoising) in identical regions of interest. Qualitative comparisons were then conducted: three experienced veterinary radiologists independently evaluated each patient's T2W, T2-FLAIR, and GRE image series. Native and denoised images were evaluated separately, with observers blinded to the type of images they were assessing. For each image type (native and denoised) and pulse sequence type image, they assigned a subjective grade of coarseness, contrast, and overall quality. For all image series tested (T2W, T2-FLAIR, and GRE), the SNRs of cortical gray matter, subcortical white matter, deep gray matter, and internal capsule were statistically significantly higher on images treated with DL denoising algorithm than native images. Similarly, for all image series types tested, the CNRs between cortical gray and white matter and between deep gray matter and internal capsule were significantly higher on DL algorithm-treated images than native images. The qualitative analysis confirmed these results, with generally better coarseness, contrast, and overall quality scores for the images treated with the DL denoising algorithm. In this study, this DICOM-based DL denoising algorithm reduced noise in 1.5T MRI canine and feline brain images, and radiologists' perceived image quality improved.</p>","PeriodicalId":23581,"journal":{"name":"Veterinary Radiology & Ultrasound","volume":"66 2","pages":"e70015"},"PeriodicalIF":1.5000,"publicationDate":"2025-03-01","publicationTypes":"Journal Article","fieldsOfStudy":null,"isOpenAccess":false,"openAccessPdf":"https://www.ncbi.nlm.nih.gov/pmc/articles/PMC11822732/pdf/","citationCount":"0","resultStr":null,"platform":"Semanticscholar","paperid":null,"PeriodicalName":"Veterinary Radiology & Ultrasound","FirstCategoryId":"97","ListUrlMain":"https://doi.org/10.1111/vru.70015","RegionNum":2,"RegionCategory":"农林科学","ArticlePicture":[],"TitleCN":null,"AbstractTextCN":null,"PMCID":null,"EPubDate":"","PubModel":"","JCR":"Q2","JCRName":"VETERINARY SCIENCES","Score":null,"Total":0}
引用次数: 0

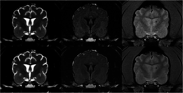
Abstract

In this analytical cross-sectional method comparison study, we evaluated brain MR images in 30 dogs and cats with and without using a DICOM-based deep-learning (DL) denoising algorithm developed specifically for veterinary patients. Quantitative comparison was performed by measuring signal-to-noise (SNR) and contrast-to-noise ratios (CNR) on the same T2-weighted (T2W), T2-FLAIR, and Gradient Echo (GRE) MR brain images in each patient (native images and after denoising) in identical regions of interest. Qualitative comparisons were then conducted: three experienced veterinary radiologists independently evaluated each patient's T2W, T2-FLAIR, and GRE image series. Native and denoised images were evaluated separately, with observers blinded to the type of images they were assessing. For each image type (native and denoised) and pulse sequence type image, they assigned a subjective grade of coarseness, contrast, and overall quality. For all image series tested (T2W, T2-FLAIR, and GRE), the SNRs of cortical gray matter, subcortical white matter, deep gray matter, and internal capsule were statistically significantly higher on images treated with DL denoising algorithm than native images. Similarly, for all image series types tested, the CNRs between cortical gray and white matter and between deep gray matter and internal capsule were significantly higher on DL algorithm-treated images than native images. The qualitative analysis confirmed these results, with generally better coarseness, contrast, and overall quality scores for the images treated with the DL denoising algorithm. In this study, this DICOM-based DL denoising algorithm reduced noise in 1.5T MRI canine and feline brain images, and radiologists' perceived image quality improved.

Abstract Image

Abstract Image

Abstract Image

一种基于兽医dicom的深度学习去噪算法可以提高主客观脑MRI图像质量。
在这项分析横断面方法比较研究中,我们评估了30只狗和猫的脑MR图像,使用和不使用专门为兽医患者开发的基于dicom的深度学习(DL)去噪算法。通过测量每位患者在相同感兴趣区域的相同t2加权(T2W), T2-FLAIR和梯度回声(GRE)脑图像(原始图像和去噪后的图像)的信噪比(SNR)和噪声对比比(CNR)进行定量比较。然后进行定性比较:三名经验丰富的兽医放射科医生独立评估每位患者的T2W, T2-FLAIR和GRE图像系列。分别评估原生图像和去噪图像,观察者对他们正在评估的图像类型不知情。对于每种图像类型(原生图像和去噪图像)和脉冲序列图像,他们对粗度、对比度和整体质量进行了主观评分。在所有测试的图像序列(T2W、T2-FLAIR和GRE)中,经过深度去噪算法处理的图像的皮质灰质、皮质下白质、深部灰质和内囊的信噪比均显著高于原始图像。同样,对于所有测试的图像序列类型,在DL算法处理的图像上,皮层灰质与白质之间以及深部灰质与内部囊之间的cnr明显高于原生图像。定性分析证实了这些结果,使用DL去噪算法处理的图像通常具有更好的粗度、对比度和总体质量分数。在本研究中,基于dicom的DL去噪算法降低了1.5T MRI犬、猫脑图像的噪声,提高了放射科医生的感知图像质量。
本文章由计算机程序翻译,如有差异,请以英文原文为准。
求助全文
约1分钟内获得全文 求助全文
来源期刊
Veterinary Radiology & Ultrasound
Veterinary Radiology & Ultrasound 农林科学-兽医学
CiteScore
2.40
自引率
17.60%
发文量
133
审稿时长
8-16 weeks
期刊介绍: Veterinary Radiology & Ultrasound is a bimonthly, international, peer-reviewed, research journal devoted to the fields of veterinary diagnostic imaging and radiation oncology. Established in 1958, it is owned by the American College of Veterinary Radiology and is also the official journal for six affiliate veterinary organizations. Veterinary Radiology & Ultrasound is represented on the International Committee of Medical Journal Editors, World Association of Medical Editors, and Committee on Publication Ethics. The mission of Veterinary Radiology & Ultrasound is to serve as a leading resource for high quality articles that advance scientific knowledge and standards of clinical practice in the areas of veterinary diagnostic radiology, computed tomography, magnetic resonance imaging, ultrasonography, nuclear imaging, radiation oncology, and interventional radiology. Manuscript types include original investigations, imaging diagnosis reports, review articles, editorials and letters to the Editor. Acceptance criteria include originality, significance, quality, reader interest, composition and adherence to author guidelines.
×
引用
GB/T 7714-2015
复制
MLA
复制
APA
复制
导出至
BibTeX EndNote RefMan NoteFirst NoteExpress
×
提示
您的信息不完整,为了账户安全,请先补充。
现在去补充
×
提示
您因"违规操作"
具体请查看互助需知
我知道了
×
提示
确定
请完成安全验证×
copy
已复制链接
快去分享给好友吧!
我知道了
右上角分享
点击右上角分享
0
联系我们:info@booksci.cn Book学术提供免费学术资源搜索服务,方便国内外学者检索中英文文献。致力于提供最便捷和优质的服务体验。 Copyright © 2023 布克学术 All rights reserved.
京ICP备2023020795号-1
ghs 京公网安备 11010802042870号
Book学术文献互助
Book学术文献互助群
群 号:604180095
Book学术官方微信