Acute corneal edema and residual subepithelial haze after bilateral selective laser trabeculoplasty: A case series.

IF 1.2 Q4 OPHTHALMOLOGY
Saudi Journal of Ophthalmology Pub Date : 2024-12-26 eCollection Date: 2024-10-01 DOI:10.4103/sjopt.sjopt_152_24
Jeffrey Nijs, Evelien Vandewalle, Ingeborg Stalmans, Sophie Lemmens
{"title":"Acute corneal edema and residual subepithelial haze after bilateral selective laser trabeculoplasty: A case series.","authors":"Jeffrey Nijs, Evelien Vandewalle, Ingeborg Stalmans, Sophie Lemmens","doi":"10.4103/sjopt.sjopt_152_24","DOIUrl":null,"url":null,"abstract":"<p><p>The primary objective of this case series is to report three cases of acute corneal edema and subepithelial haze occurring shortly after bilateral selective laser trabeculoplasty (SLT). SLT was performed to treat open-angle glaucoma in three female, middle-aged patients who subsequently manifested stromal haze within 24-48 h following the procedure. The patients were, therefore, treated with topical steroids for several weeks. Due to uncontrolled intraocular pressure, one patient underwent a trabeculectomy. The corneal edema resolved in all three patients. However, they exhibited a hyperopic shift, along with alterations in corneal astigmatism. The incidence of corneal edema and subepithelial haze following SLT is an exceedingly rare phenomenon. While certain factors are hypothesized to contribute to this complication, the predisposing factors leading to corneal changes following this laser procedure remain unclear.</p>","PeriodicalId":46810,"journal":{"name":"Saudi Journal of Ophthalmology","volume":"38 4","pages":"396-400"},"PeriodicalIF":1.2000,"publicationDate":"2024-12-26","publicationTypes":"Journal Article","fieldsOfStudy":null,"isOpenAccess":false,"openAccessPdf":"https://www.ncbi.nlm.nih.gov/pmc/articles/PMC11811399/pdf/","citationCount":"0","resultStr":null,"platform":"Semanticscholar","paperid":null,"PeriodicalName":"Saudi Journal of Ophthalmology","FirstCategoryId":"1085","ListUrlMain":"https://doi.org/10.4103/sjopt.sjopt_152_24","RegionNum":0,"RegionCategory":null,"ArticlePicture":[],"TitleCN":null,"AbstractTextCN":null,"PMCID":null,"EPubDate":"2024/10/1 0:00:00","PubModel":"eCollection","JCR":"Q4","JCRName":"OPHTHALMOLOGY","Score":null,"Total":0}
引用次数: 0

Abstract

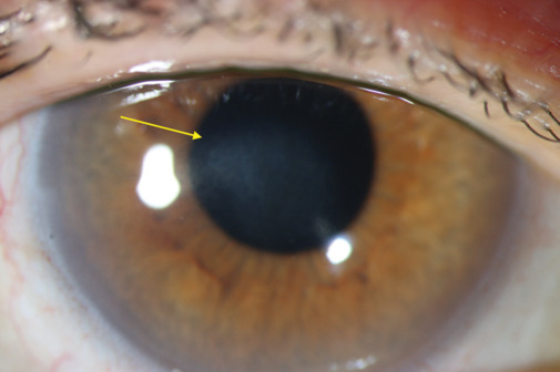
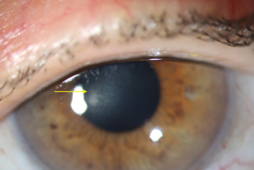
The primary objective of this case series is to report three cases of acute corneal edema and subepithelial haze occurring shortly after bilateral selective laser trabeculoplasty (SLT). SLT was performed to treat open-angle glaucoma in three female, middle-aged patients who subsequently manifested stromal haze within 24-48 h following the procedure. The patients were, therefore, treated with topical steroids for several weeks. Due to uncontrolled intraocular pressure, one patient underwent a trabeculectomy. The corneal edema resolved in all three patients. However, they exhibited a hyperopic shift, along with alterations in corneal astigmatism. The incidence of corneal edema and subepithelial haze following SLT is an exceedingly rare phenomenon. While certain factors are hypothesized to contribute to this complication, the predisposing factors leading to corneal changes following this laser procedure remain unclear.

Abstract Image

Abstract Image

Abstract Image

双侧选择性激光小梁成形术后急性角膜水肿和残余上皮下混浊:一个病例系列。
本病例系列的主要目的是报告三例急性角膜水肿和上皮下混浊发生在双侧选择性激光小梁成形术(SLT)后不久。我们对三名中年女性青光眼患者进行了SLT治疗,这些患者在手术后24-48小时内表现为间质雾霾。因此,患者接受局部类固醇治疗数周。由于眼压失控,一名患者接受了小梁切除术。3例患者的角膜水肿均得到缓解。然而,他们表现出远视的改变,并伴有角膜散光的改变。SLT术后角膜水肿和上皮下混浊是一种极为罕见的现象。虽然某些因素被假设为导致这种并发症,但导致激光手术后角膜变化的易感因素仍不清楚。
本文章由计算机程序翻译,如有差异,请以英文原文为准。
求助全文
约1分钟内获得全文 求助全文
来源期刊
CiteScore
0.90
自引率
0.00%
发文量
79
审稿时长
13 weeks
期刊介绍: Saudi Journal of Ophthalmology is an English language, peer-reviewed scholarly publication in the area of ophthalmology. Saudi Journal of Ophthalmology publishes original papers, clinical studies, reviews and case reports. Saudi Journal of Ophthalmology is the official publication of the Saudi Ophthalmological Society and is published by King Saud University in collaboration with Elsevier and is edited by an international group of eminent researchers.
×
引用
GB/T 7714-2015
复制
MLA
复制
APA
复制
导出至
BibTeX EndNote RefMan NoteFirst NoteExpress
×
提示
您的信息不完整,为了账户安全,请先补充。
现在去补充
×
提示
您因"违规操作"
具体请查看互助需知
我知道了
×
提示
确定
请完成安全验证×
copy
已复制链接
快去分享给好友吧!
我知道了
右上角分享
点击右上角分享
0
联系我们:info@booksci.cn Book学术提供免费学术资源搜索服务,方便国内外学者检索中英文文献。致力于提供最便捷和优质的服务体验。 Copyright © 2023 布克学术 All rights reserved.
京ICP备2023020795号-1
ghs 京公网安备 11010802042870号
Book学术文献互助
Book学术文献互助群
群 号:604180095
Book学术官方微信