Idiopathic orbital inflammatory disease - a diagnostic dilemma.

Sarita Lobo, Geover Joslen Lobo
{"title":"Idiopathic orbital inflammatory disease - a diagnostic dilemma.","authors":"Sarita Lobo, Geover Joslen Lobo","doi":"10.22336/rjo.2024.83","DOIUrl":null,"url":null,"abstract":"<p><p>Orbital pseudotumor is nonspecific orbital inflammation (NSOI). It is a benign, non-infectious, space-occupying inflammatory lesion of the orbit. NSOI can affect various tissues in the orbit, such as the lacrimal gland and extraocular muscles. The most common classification is based on clinical presentation. Bacteria, viruses, fungi, or parasites can cause infectious orbital inflammation. It is a diagnosis of exclusion after ruling out inflammatory, infectious, and neoplastic causes. We present a case of a male in his sixties who presented with progressive pain, swelling, blurry vision, and forward protrusion of his right eye. He had no history of trauma or recent illness. His general physical and systemic examination was within normal limits. His ocular examination showed eyelid edema, erythema, eccentric proptosis, and a mature cataract in his right eye. His left eye showed a lenticular opacity. CT orbit revealed a homogenous isodense lesion observed without any globe distortion. A diagnosis of orbital pseudotumor was made. The patient was treated with oral corticosteroids, and an excision biopsy was done, resulting in symptomatic improvement and regression of inflammation at follow-up. In complex cases of inflammatory orbital pseudotumor, particularly those with granulomatous inflammation, some initial success has occurred with monoclonal antibodies against tumor necrosis factor (TNF)-alpha or with lymphocyte depletion using rituximab. Our patient, however, responded well to an excision biopsy and a course of oral steroids.</p>","PeriodicalId":94355,"journal":{"name":"Romanian journal of ophthalmology","volume":"68 4","pages":"462-465"},"PeriodicalIF":0.0000,"publicationDate":"2024-10-01","publicationTypes":"Journal Article","fieldsOfStudy":null,"isOpenAccess":false,"openAccessPdf":"https://www.ncbi.nlm.nih.gov/pmc/articles/PMC11809838/pdf/","citationCount":"0","resultStr":null,"platform":"Semanticscholar","paperid":null,"PeriodicalName":"Romanian journal of ophthalmology","FirstCategoryId":"1085","ListUrlMain":"https://doi.org/10.22336/rjo.2024.83","RegionNum":0,"RegionCategory":null,"ArticlePicture":[],"TitleCN":null,"AbstractTextCN":null,"PMCID":null,"EPubDate":"","PubModel":"","JCR":"","JCRName":"","Score":null,"Total":0}
引用次数: 0

Abstract

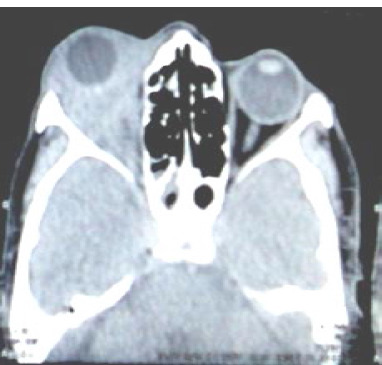
Orbital pseudotumor is nonspecific orbital inflammation (NSOI). It is a benign, non-infectious, space-occupying inflammatory lesion of the orbit. NSOI can affect various tissues in the orbit, such as the lacrimal gland and extraocular muscles. The most common classification is based on clinical presentation. Bacteria, viruses, fungi, or parasites can cause infectious orbital inflammation. It is a diagnosis of exclusion after ruling out inflammatory, infectious, and neoplastic causes. We present a case of a male in his sixties who presented with progressive pain, swelling, blurry vision, and forward protrusion of his right eye. He had no history of trauma or recent illness. His general physical and systemic examination was within normal limits. His ocular examination showed eyelid edema, erythema, eccentric proptosis, and a mature cataract in his right eye. His left eye showed a lenticular opacity. CT orbit revealed a homogenous isodense lesion observed without any globe distortion. A diagnosis of orbital pseudotumor was made. The patient was treated with oral corticosteroids, and an excision biopsy was done, resulting in symptomatic improvement and regression of inflammation at follow-up. In complex cases of inflammatory orbital pseudotumor, particularly those with granulomatous inflammation, some initial success has occurred with monoclonal antibodies against tumor necrosis factor (TNF)-alpha or with lymphocyte depletion using rituximab. Our patient, however, responded well to an excision biopsy and a course of oral steroids.

Abstract Image

Abstract Image

Abstract Image

特发性眼窝炎-诊断困境。
眼眶假瘤是一种非特异性眼眶炎症(NSOI)。它是一种良性、非感染性、占位性的眼眶炎性病变。NSOI可影响眼眶内各种组织,如泪腺和眼外肌。最常见的分类是基于临床表现。细菌、病毒、真菌或寄生虫可引起感染性眼窝炎症。这是一种排除炎症、感染和肿瘤原因后的诊断。我们提出一个六十多岁的男性病例,他表现为进行性疼痛,肿胀,视力模糊,右眼向前突出。他没有外伤史或近期疾病。他的身体和全身检查都在正常范围内。眼部检查显示右眼眼睑水肿、红斑、偏心性眼球突出及成熟白内障。他的左眼有晶状体混浊。CT眼眶示均匀等密度病灶,无球体畸变。诊断为眼眶假瘤。患者接受口服皮质类固醇治疗,并行切除活检,随访时症状改善,炎症消退。在炎性眼眶假瘤的复杂病例中,特别是肉芽肿性炎症,一些初步的成功已经发生了针对肿瘤坏死因子(TNF)- α的单克隆抗体或使用利妥昔单抗淋巴细胞清除。然而,我们的病人对切除活检和一个疗程的口服类固醇反应良好。
本文章由计算机程序翻译,如有差异,请以英文原文为准。
求助全文
约1分钟内获得全文 求助全文
来源期刊
自引率
0.00%
发文量
0
×
引用
GB/T 7714-2015
复制
MLA
复制
APA
复制
导出至
BibTeX EndNote RefMan NoteFirst NoteExpress
×
提示
您的信息不完整,为了账户安全,请先补充。
现在去补充
×
提示
您因"违规操作"
具体请查看互助需知
我知道了
×
提示
确定
请完成安全验证×
copy
已复制链接
快去分享给好友吧!
我知道了
右上角分享
点击右上角分享
0
联系我们:info@booksci.cn Book学术提供免费学术资源搜索服务,方便国内外学者检索中英文文献。致力于提供最便捷和优质的服务体验。 Copyright © 2023 布克学术 All rights reserved.
京ICP备2023020795号-1
ghs 京公网安备 11010802042870号
Book学术文献互助
Book学术文献互助群
群 号:604180095
Book学术官方微信