A challenging case of solitary fibrous tumor of the orbit in an anemic patient.

Sonali Vinay Kumar, Manoj Gopal Madakshira, Vinay Kumar, Alok Sati, Natasha Vinay Kumar, Sandeepan Bandopadhyay
{"title":"A challenging case of solitary fibrous tumor of the orbit in an anemic patient.","authors":"Sonali Vinay Kumar, Manoj Gopal Madakshira, Vinay Kumar, Alok Sati, Natasha Vinay Kumar, Sandeepan Bandopadhyay","doi":"10.22336/rjo.2024.82","DOIUrl":null,"url":null,"abstract":"<p><p>We report a problematic case of solitary fibrous tumor of the orbit in an anemic patient who presented with painless, progressive outward protrusion of the right eye. Magnetic resonance imaging (MRI) orbit and brain with contrast showed a well-defined intraconal lesion in the superomedial aspect of the right orbit. The lesion was excised using a vertical eyelid split orbitotomy with minimal blood loss. Histopathological and immunohistochemical examination showed the features of a solitary fibrous tumor. This case highlighted that with careful surgical planning, total removal of a large vascular tumor could be done with less bleeding, especially in an anemic patient in whom an iota of hemorrhage was life-threatening.</p>","PeriodicalId":94355,"journal":{"name":"Romanian journal of ophthalmology","volume":"68 4","pages":"457-461"},"PeriodicalIF":0.0000,"publicationDate":"2024-10-01","publicationTypes":"Journal Article","fieldsOfStudy":null,"isOpenAccess":false,"openAccessPdf":"https://www.ncbi.nlm.nih.gov/pmc/articles/PMC11809825/pdf/","citationCount":"0","resultStr":null,"platform":"Semanticscholar","paperid":null,"PeriodicalName":"Romanian journal of ophthalmology","FirstCategoryId":"1085","ListUrlMain":"https://doi.org/10.22336/rjo.2024.82","RegionNum":0,"RegionCategory":null,"ArticlePicture":[],"TitleCN":null,"AbstractTextCN":null,"PMCID":null,"EPubDate":"","PubModel":"","JCR":"","JCRName":"","Score":null,"Total":0}
引用次数: 0

Abstract

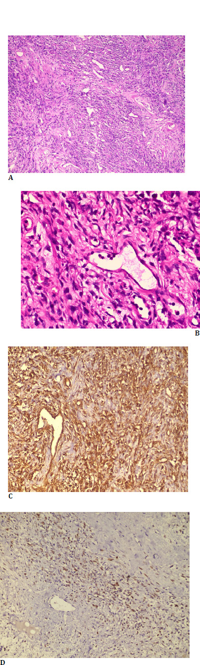
We report a problematic case of solitary fibrous tumor of the orbit in an anemic patient who presented with painless, progressive outward protrusion of the right eye. Magnetic resonance imaging (MRI) orbit and brain with contrast showed a well-defined intraconal lesion in the superomedial aspect of the right orbit. The lesion was excised using a vertical eyelid split orbitotomy with minimal blood loss. Histopathological and immunohistochemical examination showed the features of a solitary fibrous tumor. This case highlighted that with careful surgical planning, total removal of a large vascular tumor could be done with less bleeding, especially in an anemic patient in whom an iota of hemorrhage was life-threatening.

Abstract Image

Abstract Image

Abstract Image

一例贫血患者眼眶孤立性纤维性肿瘤。
我们报告一个有问题的情况下,孤立的纤维性肿瘤的眼眶在贫血患者谁提出了无痛,进行性外突出的右眼。眼眶与脑部磁共振成像(MRI)对比显示右眼眼眶上内侧有一界限清楚的腔内病变。病变采用垂直眼睑开眼手术切除,出血量最小。组织病理及免疫组化检查显示为孤立性纤维性肿瘤。该病例强调,通过精心的手术计划,可以在减少出血的情况下完全切除大血管肿瘤,特别是在出血危及生命的贫血患者中。
本文章由计算机程序翻译,如有差异,请以英文原文为准。
求助全文
约1分钟内获得全文 求助全文
来源期刊
自引率
0.00%
发文量
0
×
引用
GB/T 7714-2015
复制
MLA
复制
APA
复制
导出至
BibTeX EndNote RefMan NoteFirst NoteExpress
×
提示
您的信息不完整,为了账户安全,请先补充。
现在去补充
×
提示
您因"违规操作"
具体请查看互助需知
我知道了
×
提示
确定
请完成安全验证×
copy
已复制链接
快去分享给好友吧!
我知道了
右上角分享
点击右上角分享
0
联系我们:info@booksci.cn Book学术提供免费学术资源搜索服务,方便国内外学者检索中英文文献。致力于提供最便捷和优质的服务体验。 Copyright © 2023 布克学术 All rights reserved.
京ICP备2023020795号-1
ghs 京公网安备 11010802042870号
Book学术文献互助
Book学术文献互助群
群 号:604180095
Book学术官方微信