Throwing light on night blindness associated with rare manifestation of vitamin A deficiency.

Avadhesh Oli, Sujata Upadhyay, Agrima Bhatia, Bhavaraj Veerabhadhra Rao
{"title":"Throwing light on night blindness associated with rare manifestation of vitamin A deficiency.","authors":"Avadhesh Oli, Sujata Upadhyay, Agrima Bhatia, Bhavaraj Veerabhadhra Rao","doi":"10.22336/rjo.2024.78","DOIUrl":null,"url":null,"abstract":"<p><strong>Objective: </strong>This case report describes a rare presentation of the Mizuo phenomenon in a vitamin A deficiency-associated patient.</p><p><strong>Methods: </strong>A 38-year-old male presented with nyctalopia for 10 years and a fresh onset of dry eyes. He was a known case of alcoholic liver disease with cirrhosis and Oguchi disease. Anterior segment evaluation revealed moderate dry eyes, and fundus examination revealed metallic sheen OU, the latter extinguished after dark adaptation via a modified patch test suggestive of the Mizuo Nakamura phenomenon. Multimodal imaging modalities like SD-OCT, short-wave autofluorescence, and electrophysiological tests were performed. Findings suggested a diagnosis other than Oguchi's disease. The gene panel comprising SAG and GRK1 mutations was negative for Oguchi. Serum vitamin A levels were significantly low (0.03 mg/l). The patient was started on topical lubricants and oral vitamin A supplements and counseled to abstain from alcohol.</p><p><strong>Results: </strong>SD-OCT demonstrated thinning of the ellipsoid region with multiple hyperreflective excrescences in outer retinal layers colocalized with hyperautofluorescent flecks on short-wave autofluorescence. ERG was normal bilaterally. An electrooculogram showed a significantly decreased Arden ratio of OU. After controlled oral Vitamin A supplementation, the patient's serum Vitamin A levels remained low (0.06 mg/l).</p><p><strong>Conclusion: </strong>This case is rare and likely the first reported presentation of the Mizuo phenomenon in a vitamin A deficiency-associated patient with normal ERG and abnormal EOG. Increasing choice for weight loss diet and bariatric surgeries Vitamin A deficiency is also expected to affect developed countries. Modified patch tests make diagnosis easier and earlier. More extensive studies are needed to correlate levels of Vitamin A with the natural course of the Mizuo phenomenon and substantiate multimodal imaging findings.</p>","PeriodicalId":94355,"journal":{"name":"Romanian journal of ophthalmology","volume":"68 4","pages":"434-438"},"PeriodicalIF":0.0000,"publicationDate":"2024-10-01","publicationTypes":"Journal Article","fieldsOfStudy":null,"isOpenAccess":false,"openAccessPdf":"https://www.ncbi.nlm.nih.gov/pmc/articles/PMC11809839/pdf/","citationCount":"0","resultStr":null,"platform":"Semanticscholar","paperid":null,"PeriodicalName":"Romanian journal of ophthalmology","FirstCategoryId":"1085","ListUrlMain":"https://doi.org/10.22336/rjo.2024.78","RegionNum":0,"RegionCategory":null,"ArticlePicture":[],"TitleCN":null,"AbstractTextCN":null,"PMCID":null,"EPubDate":"","PubModel":"","JCR":"","JCRName":"","Score":null,"Total":0}
引用次数: 0

Abstract

Objective: This case report describes a rare presentation of the Mizuo phenomenon in a vitamin A deficiency-associated patient.

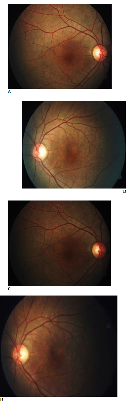
Methods: A 38-year-old male presented with nyctalopia for 10 years and a fresh onset of dry eyes. He was a known case of alcoholic liver disease with cirrhosis and Oguchi disease. Anterior segment evaluation revealed moderate dry eyes, and fundus examination revealed metallic sheen OU, the latter extinguished after dark adaptation via a modified patch test suggestive of the Mizuo Nakamura phenomenon. Multimodal imaging modalities like SD-OCT, short-wave autofluorescence, and electrophysiological tests were performed. Findings suggested a diagnosis other than Oguchi's disease. The gene panel comprising SAG and GRK1 mutations was negative for Oguchi. Serum vitamin A levels were significantly low (0.03 mg/l). The patient was started on topical lubricants and oral vitamin A supplements and counseled to abstain from alcohol.

Results: SD-OCT demonstrated thinning of the ellipsoid region with multiple hyperreflective excrescences in outer retinal layers colocalized with hyperautofluorescent flecks on short-wave autofluorescence. ERG was normal bilaterally. An electrooculogram showed a significantly decreased Arden ratio of OU. After controlled oral Vitamin A supplementation, the patient's serum Vitamin A levels remained low (0.06 mg/l).

Conclusion: This case is rare and likely the first reported presentation of the Mizuo phenomenon in a vitamin A deficiency-associated patient with normal ERG and abnormal EOG. Increasing choice for weight loss diet and bariatric surgeries Vitamin A deficiency is also expected to affect developed countries. Modified patch tests make diagnosis easier and earlier. More extensive studies are needed to correlate levels of Vitamin A with the natural course of the Mizuo phenomenon and substantiate multimodal imaging findings.

Abstract Image

Abstract Image

Abstract Image

研究罕见的维生素A缺乏引起的夜盲症。
目的:本病例报告描述了一个罕见的维他命a缺乏相关患者的Mizuo现象。方法:男性,38岁,夜盲症10年,新发干眼症。他是已知的酒精性肝病伴肝硬化和Oguchi病的病例。前节检查显示中度眼干,眼底检查显示金属光泽,经改良斑贴试验暗适应后消失,提示中村Mizuo Nakamura现象。进行多模式成像,如SD-OCT、短波自身荧光和电生理测试。结果显示不是Oguchi病的诊断。包括SAG和GRK1突变的基因面板对Oguchi呈阴性。血清维生素A水平极低(0.03 mg/l)。患者开始使用局部润滑剂和口服维生素A补充剂,并建议戒酒。结果:SD-OCT显示椭球区变薄,视网膜外层有多个高反射赘生物,与短波自身荧光的高自荧光斑点重合。双侧ERG正常。眼电图显示OU的Arden比值明显降低。口服维生素A控制后,患者血清维生素A水平维持在低水平(0.06 mg/l)。结论:本病例是罕见的,可能是第一个在ERG正常而EOG异常的维生素a缺乏相关患者中出现Mizuo现象的报道。越来越多的减肥饮食选择和减肥手术维生素A缺乏症预计也会影响发达国家。改进的补丁测试使诊断更容易、更早。需要更广泛的研究来将维生素A水平与Mizuo现象的自然过程联系起来,并证实多模态成像结果。
本文章由计算机程序翻译,如有差异,请以英文原文为准。
求助全文
约1分钟内获得全文 求助全文
来源期刊
自引率
0.00%
发文量
0
×
引用
GB/T 7714-2015
复制
MLA
复制
APA
复制
导出至
BibTeX EndNote RefMan NoteFirst NoteExpress
×
提示
您的信息不完整,为了账户安全,请先补充。
现在去补充
×
提示
您因"违规操作"
具体请查看互助需知
我知道了
×
提示
确定
请完成安全验证×
copy
已复制链接
快去分享给好友吧!
我知道了
右上角分享
点击右上角分享
0
联系我们:info@booksci.cn Book学术提供免费学术资源搜索服务,方便国内外学者检索中英文文献。致力于提供最便捷和优质的服务体验。 Copyright © 2023 布克学术 All rights reserved.
京ICP备2023020795号-1
ghs 京公网安备 11010802042870号
Book学术文献互助
Book学术文献互助群
群 号:604180095
Book学术官方微信