[Multidrug-resistant Enterobacteriaceae meningoencephalitis in the Guinean-Malian area].

Medecine tropicale et sante internationale Pub Date : 2024-07-04 eCollection Date: 2024-09-30 DOI:10.48327/mtsi.v4i3.2024.452
Ouo-Ouo Loua, Issa Konaté, Yacouba Cissoko, Mamadou Saliou Sow
{"title":"[Multidrug-resistant Enterobacteriaceae meningoencephalitis in the Guinean-Malian area].","authors":"Ouo-Ouo Loua, Issa Konaté, Yacouba Cissoko, Mamadou Saliou Sow","doi":"10.48327/mtsi.v4i3.2024.452","DOIUrl":null,"url":null,"abstract":"<p><p>Extended-spectrum beta-lactamase-secreting Enterobacteriaceae (ESBL-E) infections constitute a real global public health problem, particularly in sub-Saharan Africa. We report here two cases of ESBL-E meningoencephalitis in young female patients occurring in a gestational context observed at the infectious and tropical diseases department of the Point G university hospital in Bamako. The first woman, who recently had an abortion, was being treated with ceftriaxone when she was admitted for meningeal syndrome and pyramidal syndrome associated with brain damage. <i>Escherichia coli</i> resistant to penicillins and cephalosporins was isolated from cerebrospinal fluid (CSF), blood and a purulent genital swab. She recovered under meropenem treatment for 21 days, with few sequelae.The second had given birth in the weeks prior to the onset of generalized infection. She was admitted for meningeal syndrome and pyramidal syndrome associated with several cerebral lesions disclosed by the CT scan. Multidrug-resistant <i>E. coli</i> was isolated from CSF and genital purulent sample. She recovered (with sequelae) under treatment with meropenem for 21 days. These two observations show that female genital infections <i>(postpartum</i> or <i>post abortum)</i> with <i>E. coli</i> can cause forms as serious as meningoencephalitis, in addition to the abortion they cause. ESBL-E -producing strains may be involved and represent a major therapeutic challenge. Better infection prevention and control would prevent multi-drug-resistant infections and their spread. Regulating the use of carbapenems and other antibiotics still effective against multi-resistant bacterial strains within the framework of global health (one health) would avert an incurable pandemic of highly resistant and emerging bacteria (HRB).</p>","PeriodicalId":101416,"journal":{"name":"Medecine tropicale et sante internationale","volume":"4 3","pages":""},"PeriodicalIF":0.0000,"publicationDate":"2024-07-04","publicationTypes":"Journal Article","fieldsOfStudy":null,"isOpenAccess":false,"openAccessPdf":"https://www.ncbi.nlm.nih.gov/pmc/articles/PMC11809063/pdf/","citationCount":"0","resultStr":null,"platform":"Semanticscholar","paperid":null,"PeriodicalName":"Medecine tropicale et sante internationale","FirstCategoryId":"1085","ListUrlMain":"https://doi.org/10.48327/mtsi.v4i3.2024.452","RegionNum":0,"RegionCategory":null,"ArticlePicture":[],"TitleCN":null,"AbstractTextCN":null,"PMCID":null,"EPubDate":"2024/9/30 0:00:00","PubModel":"eCollection","JCR":"","JCRName":"","Score":null,"Total":0}
引用次数: 0

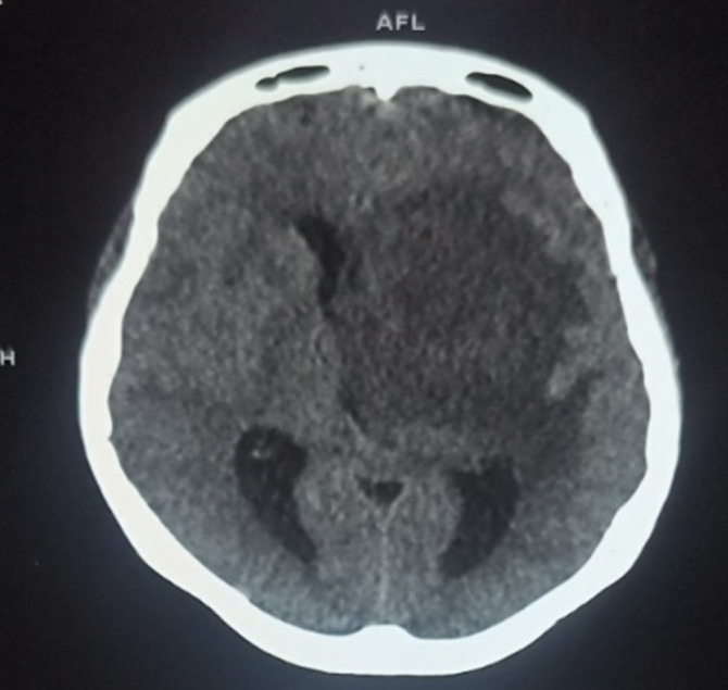
Abstract

Extended-spectrum beta-lactamase-secreting Enterobacteriaceae (ESBL-E) infections constitute a real global public health problem, particularly in sub-Saharan Africa. We report here two cases of ESBL-E meningoencephalitis in young female patients occurring in a gestational context observed at the infectious and tropical diseases department of the Point G university hospital in Bamako. The first woman, who recently had an abortion, was being treated with ceftriaxone when she was admitted for meningeal syndrome and pyramidal syndrome associated with brain damage. Escherichia coli resistant to penicillins and cephalosporins was isolated from cerebrospinal fluid (CSF), blood and a purulent genital swab. She recovered under meropenem treatment for 21 days, with few sequelae.The second had given birth in the weeks prior to the onset of generalized infection. She was admitted for meningeal syndrome and pyramidal syndrome associated with several cerebral lesions disclosed by the CT scan. Multidrug-resistant E. coli was isolated from CSF and genital purulent sample. She recovered (with sequelae) under treatment with meropenem for 21 days. These two observations show that female genital infections (postpartum or post abortum) with E. coli can cause forms as serious as meningoencephalitis, in addition to the abortion they cause. ESBL-E -producing strains may be involved and represent a major therapeutic challenge. Better infection prevention and control would prevent multi-drug-resistant infections and their spread. Regulating the use of carbapenems and other antibiotics still effective against multi-resistant bacterial strains within the framework of global health (one health) would avert an incurable pandemic of highly resistant and emerging bacteria (HRB).

Abstract Image

Abstract Image

Abstract Image

[几内亚-马里地区耐多药肠杆菌科脑膜脑炎]。
广谱分泌β -内酰胺酶的肠杆菌科(ESBL-E)感染构成了一个真正的全球公共卫生问题,特别是在撒哈拉以南非洲。我们在这里报告两例esble脑膜脑炎的年轻女性患者发生在妊娠背景下观察到的传染和热带病科在巴马科的G点大学医院。第一位妇女最近堕胎,她因脑膜综合征和与脑损伤相关的锥体综合征入院时正在接受头孢曲松治疗。从脑脊液、血液和脓性生殖器拭子中分离出对青霉素和头孢菌素耐药的大肠杆菌。患者经美罗培南治疗21天后痊愈,无后遗症。第二例在全身性感染发生前几周分娩。她因脑膜综合征和锥体综合征入院,并伴有CT扫描显示的几个脑病变。从脑脊液和生殖器化脓性标本中分离到耐多药大肠杆菌。经美罗培南治疗21天,患者痊愈(伴后遗症)。这两项观察结果表明,大肠杆菌感染女性生殖器(产后或流产后)除了导致流产外,还可导致脑膜脑炎等严重形式。产ESBL-E的菌株可能参与其中,并代表了一个主要的治疗挑战。更好的感染预防和控制将防止多重耐药感染及其传播。在全球卫生(一个健康)的框架内规范碳青霉烯类和其他对多重耐药细菌菌株仍然有效的抗生素的使用,将避免不可治愈的高耐药性和新出现的细菌(HRB)大流行。
本文章由计算机程序翻译,如有差异,请以英文原文为准。
求助全文
约1分钟内获得全文 求助全文
来源期刊
CiteScore
0.20
自引率
0.00%
发文量
0
×
引用
GB/T 7714-2015
复制
MLA
复制
APA
复制
导出至
BibTeX EndNote RefMan NoteFirst NoteExpress
×
提示
您的信息不完整,为了账户安全,请先补充。
现在去补充
×
提示
您因"违规操作"
具体请查看互助需知
我知道了
×
提示
确定
请完成安全验证×
copy
已复制链接
快去分享给好友吧!
我知道了
右上角分享
点击右上角分享
0
联系我们:info@booksci.cn Book学术提供免费学术资源搜索服务,方便国内外学者检索中英文文献。致力于提供最便捷和优质的服务体验。 Copyright © 2023 布克学术 All rights reserved.
京ICP备2023020795号-1
ghs 京公网安备 11010802042870号
Book学术文献互助
Book学术文献互助群
群 号:604180095
Book学术官方微信