Reducing clinical target volume margins for multifocal glioblastoma: a multi-institutional analysis of patterns of recurrence and treatment response.

Radiation oncology journal Pub Date : 2025-03-01 Epub Date: 2024-12-19 DOI:10.3857/roj.2024.00059
Francesco Marampon, Giovanni Luca Gravina, Elisa Cinelli, Lucy Zaccaro, Miriam Tomaciello, Nunzia Di Meglio, Francesco Gentili, Alfonso Cerase, Armando Perrella, Mariya Yavorska, Sami Aburas, Luciano Mutti, Maria Antonietta Mazzei, Giuseppe Minniti, Paolo Tini
{"title":"Reducing clinical target volume margins for multifocal glioblastoma: a multi-institutional analysis of patterns of recurrence and treatment response.","authors":"Francesco Marampon, Giovanni Luca Gravina, Elisa Cinelli, Lucy Zaccaro, Miriam Tomaciello, Nunzia Di Meglio, Francesco Gentili, Alfonso Cerase, Armando Perrella, Mariya Yavorska, Sami Aburas, Luciano Mutti, Maria Antonietta Mazzei, Giuseppe Minniti, Paolo Tini","doi":"10.3857/roj.2024.00059","DOIUrl":null,"url":null,"abstract":"<p><strong>Purpose: </strong>No guidelines exist to delineate radiation therapy (RT) targets for the treatment of multiple glioblastoma (mGBM). This study analyzes margins around the gross tumor volume (GTV) to create a clinical target volume (CTV), comparing response parameters and modalities of recurrence. Material and Methods: One-hundred and three mGBM patients with a CTV margin of 2 cm (GTV + 2.0 cm) or 1 cm (GTV + 1.0 cm) were retrospectively analyzed. All patients received a total dose of 59.4-60 Gy in 1.8-2.0 Gy daily fractions, delivered from 4 to 8 weeks after surgery, concomitantly with temozolomide (75 mg/m2). Overall survival (OS) and progression-free survival (PFS) were calculated from the date of surgery until diagnosis of disease progression performed by magnetic resonance imaging and classified as marginal, in-field, or distant, comparing site of progression with dose distribution in RT plan.</p><p><strong>Results: </strong>OS in mGBM CTV1 group was 11.2 months (95% confidence interval [CI], 10.3-12.1), and 9.2 months in mGBM CTV2 group (95% CI, 9.0-11.3). PFS in mGBM CTV1 group occurred within 8.3 months (95% CI, 7.3-9.3), and 7.3 months in mGBM CTV2 group (95% CI, 6.4-8.1). No difference was observed between the two groups in terms of OS and PFS time distribution. Adjusted to a multivariate Cox risk model, epidermal growth factor receptor amplification resulted a negative prognostic factor for both OS and PFS.</p><p><strong>Conclusion: </strong>In mGBM, the use of a 1 cm CTV expansion seems feasible as it does not significantly affect oncological outcomes and progression outcome.</p>","PeriodicalId":94184,"journal":{"name":"Radiation oncology journal","volume":" ","pages":"13-21"},"PeriodicalIF":0.0000,"publicationDate":"2025-03-01","publicationTypes":"Journal Article","fieldsOfStudy":null,"isOpenAccess":false,"openAccessPdf":"https://www.ncbi.nlm.nih.gov/pmc/articles/PMC12010890/pdf/","citationCount":"0","resultStr":null,"platform":"Semanticscholar","paperid":null,"PeriodicalName":"Radiation oncology journal","FirstCategoryId":"1085","ListUrlMain":"https://doi.org/10.3857/roj.2024.00059","RegionNum":0,"RegionCategory":null,"ArticlePicture":[],"TitleCN":null,"AbstractTextCN":null,"PMCID":null,"EPubDate":"2024/12/19 0:00:00","PubModel":"Epub","JCR":"","JCRName":"","Score":null,"Total":0}
引用次数: 0

Abstract

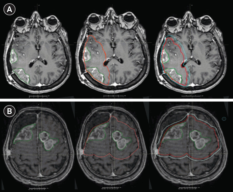
Purpose: No guidelines exist to delineate radiation therapy (RT) targets for the treatment of multiple glioblastoma (mGBM). This study analyzes margins around the gross tumor volume (GTV) to create a clinical target volume (CTV), comparing response parameters and modalities of recurrence. Material and Methods: One-hundred and three mGBM patients with a CTV margin of 2 cm (GTV + 2.0 cm) or 1 cm (GTV + 1.0 cm) were retrospectively analyzed. All patients received a total dose of 59.4-60 Gy in 1.8-2.0 Gy daily fractions, delivered from 4 to 8 weeks after surgery, concomitantly with temozolomide (75 mg/m2). Overall survival (OS) and progression-free survival (PFS) were calculated from the date of surgery until diagnosis of disease progression performed by magnetic resonance imaging and classified as marginal, in-field, or distant, comparing site of progression with dose distribution in RT plan.

Results: OS in mGBM CTV1 group was 11.2 months (95% confidence interval [CI], 10.3-12.1), and 9.2 months in mGBM CTV2 group (95% CI, 9.0-11.3). PFS in mGBM CTV1 group occurred within 8.3 months (95% CI, 7.3-9.3), and 7.3 months in mGBM CTV2 group (95% CI, 6.4-8.1). No difference was observed between the two groups in terms of OS and PFS time distribution. Adjusted to a multivariate Cox risk model, epidermal growth factor receptor amplification resulted a negative prognostic factor for both OS and PFS.

Conclusion: In mGBM, the use of a 1 cm CTV expansion seems feasible as it does not significantly affect oncological outcomes and progression outcome.

Abstract Image

Abstract Image

Abstract Image

减少多灶性胶质母细胞瘤的临床靶体积边缘:复发模式和治疗反应的多机构分析。
目的:目前还没有指南来描述多发性胶质母细胞瘤(mGBM)的放射治疗(RT)靶点。本研究分析总肿瘤体积(GTV)周围的边缘,以创建临床靶体积(CTV),比较反应参数和复发方式。材料与方法:回顾性分析103例CTV切缘为2cm (GTV + 2.0 cm)或1cm (GTV + 1.0 cm)的mGBM患者。所有患者接受的总剂量为59.4-60 Gy,每日1.8-2.0 Gy,于术后4- 8周给予,同时给予替莫唑胺(75 mg/m2)。总生存期(OS)和无进展生存期(PFS)从手术之日起计算,直到通过磁共振成像诊断疾病进展,并将进展部位与RT计划中的剂量分布进行比较,分为边缘、现场或远处。结果:mGBM CTV1组的OS为11.2个月(95%可信区间[CI], 10.3-12.1), mGBM CTV2组的OS为9.2个月(95% CI, 9.0-11.3)。mGBM CTV1组的PFS发生在8.3个月(95% CI, 7.3-9.3), mGBM CTV2组的PFS发生在7.3个月(95% CI, 6.4-8.1)。两组在OS和PFS时间分布方面无差异。调整到多变量Cox风险模型,表皮生长因子受体扩增导致OS和PFS的负预后因素。结论:在mGBM中,使用1cm CTV扩张似乎是可行的,因为它不会显著影响肿瘤结局和进展结局。
本文章由计算机程序翻译,如有差异,请以英文原文为准。
求助全文
约1分钟内获得全文 求助全文
来源期刊
CiteScore
3.80
自引率
0.00%
发文量
0
×
引用
GB/T 7714-2015
复制
MLA
复制
APA
复制
导出至
BibTeX EndNote RefMan NoteFirst NoteExpress
×
提示
您的信息不完整,为了账户安全,请先补充。
现在去补充
×
提示
您因"违规操作"
具体请查看互助需知
我知道了
×
提示
确定
请完成安全验证×
copy
已复制链接
快去分享给好友吧!
我知道了
右上角分享
点击右上角分享
0
联系我们:info@booksci.cn Book学术提供免费学术资源搜索服务,方便国内外学者检索中英文文献。致力于提供最便捷和优质的服务体验。 Copyright © 2023 布克学术 All rights reserved.
京ICP备2023020795号-1
ghs 京公网安备 11010802042870号
Book学术文献互助
Book学术文献互助群
群 号:604180095
Book学术官方微信