Differential Diagnosis of a Well-Enhancing Intracisternal Lesion in a Breast Cancer Patient.

Hae Chan Song, Ho-Shin Gwak
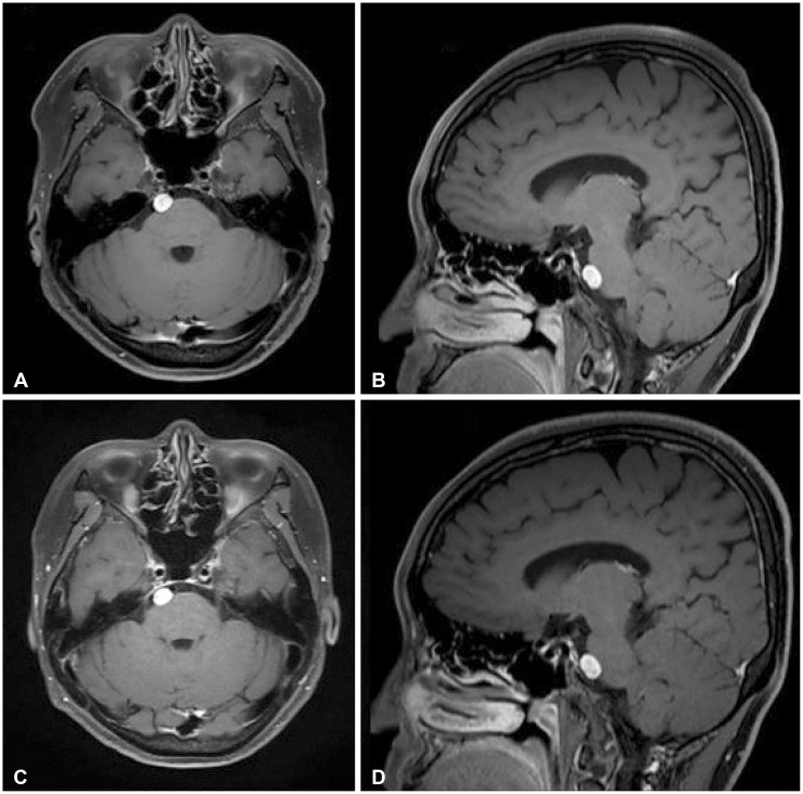
{"title":"Differential Diagnosis of a Well-Enhancing Intracisternal Lesion in a Breast Cancer Patient.","authors":"Hae Chan Song, Ho-Shin Gwak","doi":"10.14791/btrt.2025.0002","DOIUrl":null,"url":null,"abstract":"<p><p>This case introduces the differential diagnosis of a well-enhancing lesion in the prepontine cistern of a 55-year-old female patient who was diagnosed with recurrent metastatic breast cancer. The patient was diagnosed with breast cancer 11 years ago and underwent a mastectomy and subsequent adjuvant therapy. Tamoxifen had been given for 5 years, and the treatment was completed. Five years after, she found a lung nodule on her routine chest X-ray examination. Based on her past medical history, systemic cancer work-up was done and it revealed multiple lesions in T10 vertebra, lungs, and mediastinal lymph nodes. Trans-bronchial needle aspiration was performed and the biopsy was a metastatic breast cancer. Brain MRI was taken as she was complaining of headache and it showed a well-defined, ovoid enhancing 0.9-cm nodule in the right prepontine cistern. Neuro-oncology tumor board evaluated the lesion as more likely to be an asymptomatic neurogenic tumor rather than metastasis based on radiological features including brainstem surfaced location, slightly high signal intensity on T2-weighted image and no diffusion restriction. To rule out leptomeningeal metastasis, a serial cerebrospinal fluid cytology examination (×3) was done and negative for malignant cells. Follow-up brain MRIs of 2 and 9 months showed no significant changes in the pre-pontine enhancing lesion.</p>","PeriodicalId":72453,"journal":{"name":"Brain tumor research and treatment","volume":"13 1","pages":"34-38"},"PeriodicalIF":0.0000,"publicationDate":"2025-01-01","publicationTypes":"Journal Article","fieldsOfStudy":null,"isOpenAccess":false,"openAccessPdf":"https://www.ncbi.nlm.nih.gov/pmc/articles/PMC11813559/pdf/","citationCount":"0","resultStr":null,"platform":"Semanticscholar","paperid":null,"PeriodicalName":"Brain tumor research and treatment","FirstCategoryId":"1085","ListUrlMain":"https://doi.org/10.14791/btrt.2025.0002","RegionNum":0,"RegionCategory":null,"ArticlePicture":[],"TitleCN":null,"AbstractTextCN":null,"PMCID":null,"EPubDate":"","PubModel":"","JCR":"","JCRName":"","Score":null,"Total":0}
引用次数: 0

Abstract

This case introduces the differential diagnosis of a well-enhancing lesion in the prepontine cistern of a 55-year-old female patient who was diagnosed with recurrent metastatic breast cancer. The patient was diagnosed with breast cancer 11 years ago and underwent a mastectomy and subsequent adjuvant therapy. Tamoxifen had been given for 5 years, and the treatment was completed. Five years after, she found a lung nodule on her routine chest X-ray examination. Based on her past medical history, systemic cancer work-up was done and it revealed multiple lesions in T10 vertebra, lungs, and mediastinal lymph nodes. Trans-bronchial needle aspiration was performed and the biopsy was a metastatic breast cancer. Brain MRI was taken as she was complaining of headache and it showed a well-defined, ovoid enhancing 0.9-cm nodule in the right prepontine cistern. Neuro-oncology tumor board evaluated the lesion as more likely to be an asymptomatic neurogenic tumor rather than metastasis based on radiological features including brainstem surfaced location, slightly high signal intensity on T2-weighted image and no diffusion restriction. To rule out leptomeningeal metastasis, a serial cerebrospinal fluid cytology examination (×3) was done and negative for malignant cells. Follow-up brain MRIs of 2 and 9 months showed no significant changes in the pre-pontine enhancing lesion.

Abstract Image

Abstract Image

Abstract Image

乳腺癌患者胸膜内病变的鉴别诊断。
本病例介绍了一名55岁女性患者的鉴别诊断,该患者被诊断为复发性转移性乳腺癌。该患者11年前被诊断出患有乳腺癌,并接受了乳房切除术和随后的辅助治疗。他莫昔芬治疗5年,治疗结束。五年后,她在常规胸部x光检查中发现了一个肺结节。根据既往病史,进行了全身肿瘤检查,发现T10椎体、肺和纵隔淋巴结多发病变。经支气管穿刺活检证实为转移性乳腺癌。主诉头痛时行脑MRI检查,显示右侧脑池有一个轮廓清晰、卵形强化的0.9厘米结节。神经肿瘤学肿瘤委员会评估病变更可能是无症状的神经源性肿瘤,而不是转移,基于影像学特征,包括脑干表面位置,t2加权图像上略高的信号强度,无扩散限制。为了排除脑膜轻脑膜转移,进行了一系列脑脊液细胞学检查(×3),恶性细胞呈阴性。随访2个月和9个月的脑mri显示脑桥前增强病变无明显变化。
本文章由计算机程序翻译,如有差异,请以英文原文为准。
求助全文
约1分钟内获得全文 求助全文
来源期刊
自引率
0.00%
发文量
0
×
引用
GB/T 7714-2015
复制
MLA
复制
APA
复制
导出至
BibTeX EndNote RefMan NoteFirst NoteExpress
×
提示
您的信息不完整,为了账户安全,请先补充。
现在去补充
×
提示
您因"违规操作"
具体请查看互助需知
我知道了
×
提示
确定
请完成安全验证×
copy
已复制链接
快去分享给好友吧!
我知道了
右上角分享
点击右上角分享
0
联系我们:info@booksci.cn Book学术提供免费学术资源搜索服务,方便国内外学者检索中英文文献。致力于提供最便捷和优质的服务体验。 Copyright © 2023 布克学术 All rights reserved.
京ICP备2023020795号-1
ghs 京公网安备 11010802042870号
Book学术文献互助
Book学术文献互助群
群 号:604180095
Book学术官方微信