Management of refractory postpneumonectomy empyema with bronchopleural fistula.

IF 2.3 4区 医学 Q3 CARDIAC & CARDIOVASCULAR SYSTEMS
Annals of Thoracic Medicine Pub Date : 2025-01-01 Epub Date: 2025-01-11 DOI:10.4103/atm.atm_93_24
Oleg Shamilevich Kesaev, Dmitry Borisovich Giller, Sergey Sergeevich Saenko, Elham Pahlevani, Lyudmila Petrovna Severova
{"title":"Management of refractory postpneumonectomy empyema with bronchopleural fistula.","authors":"Oleg Shamilevich Kesaev, Dmitry Borisovich Giller, Sergey Sergeevich Saenko, Elham Pahlevani, Lyudmila Petrovna Severova","doi":"10.4103/atm.atm_93_24","DOIUrl":null,"url":null,"abstract":"<p><p>A 39-year-old female has postoperative empyema with bronchial stump fistula (BSF) after pneumonectomy due to ineffective tuberculosis chemotherapy. Transpleural reamputation of the right main bronchial stump with simultaneous 8-rib thoracoplasty, 6 attempts at endobronchial valve implantation and thoracostomy have failed to cure BSF and empyema. Consequently, an alternative treatment-transsternal transpericardial wedge-shaped resection of the tracheal bifurcation was performed despite its difficulty and was successful. This clinical case demonstrates the complications of BSF with tuberculosis empyema treatment in spite of there existing many alternative therapies. The need for new more effective treatments is highlighted, as well as safe and less technically difficult interventions which could assist patients with BSF.</p>","PeriodicalId":50760,"journal":{"name":"Annals of Thoracic Medicine","volume":"20 1","pages":"78-81"},"PeriodicalIF":2.3000,"publicationDate":"2025-01-01","publicationTypes":"Journal Article","fieldsOfStudy":null,"isOpenAccess":false,"openAccessPdf":"https://www.ncbi.nlm.nih.gov/pmc/articles/PMC11804952/pdf/","citationCount":"0","resultStr":null,"platform":"Semanticscholar","paperid":null,"PeriodicalName":"Annals of Thoracic Medicine","FirstCategoryId":"3","ListUrlMain":"https://doi.org/10.4103/atm.atm_93_24","RegionNum":4,"RegionCategory":"医学","ArticlePicture":[],"TitleCN":null,"AbstractTextCN":null,"PMCID":null,"EPubDate":"2025/1/11 0:00:00","PubModel":"Epub","JCR":"Q3","JCRName":"CARDIAC & CARDIOVASCULAR SYSTEMS","Score":null,"Total":0}
引用次数: 0

Abstract

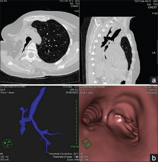
A 39-year-old female has postoperative empyema with bronchial stump fistula (BSF) after pneumonectomy due to ineffective tuberculosis chemotherapy. Transpleural reamputation of the right main bronchial stump with simultaneous 8-rib thoracoplasty, 6 attempts at endobronchial valve implantation and thoracostomy have failed to cure BSF and empyema. Consequently, an alternative treatment-transsternal transpericardial wedge-shaped resection of the tracheal bifurcation was performed despite its difficulty and was successful. This clinical case demonstrates the complications of BSF with tuberculosis empyema treatment in spite of there existing many alternative therapies. The need for new more effective treatments is highlighted, as well as safe and less technically difficult interventions which could assist patients with BSF.

Abstract Image

Abstract Image

Abstract Image

难治性肺切除术后肺气肿合并支气管胸膜瘘的处理。
一例39岁女性因肺结核化疗无效,在全肺切除术后出现肺气肿伴支气管残端瘘。经胸膜切除右主支气管残端并同时行8肋胸廓成形术、6次支气管内瓣膜植入术和开胸术均未能治愈BSF和脓胸。因此,一种替代治疗-经胸骨经心包楔形切除气管分叉,尽管它的困难和成功。尽管已有许多替代疗法,但该临床病例显示了BSF与结核性脓胸治疗的并发症。强调需要新的更有效的治疗方法,以及可以帮助BSF患者的安全且技术难度较小的干预措施。
本文章由计算机程序翻译,如有差异,请以英文原文为准。
求助全文
约1分钟内获得全文 求助全文
来源期刊
Annals of Thoracic Medicine
Annals of Thoracic Medicine CARDIAC & CARDIOVASCULAR SYSTEMS-RESPIRATORY SYSTEM
CiteScore
4.10
自引率
4.30%
发文量
19
审稿时长
>12 weeks
期刊介绍: The journal will cover studies related to multidisciplinary specialties of chest medicine, such as adult and pediatrics pulmonology, thoracic surgery, critical care medicine, respiratory care, transplantation, sleep medicine, related basic medical sciences, and more. The journal also features basic science, special reports, case reports, board review , and more. Editorials and communications to the editor that explore controversial issues and encourage further discussion by physicians dealing with chest medicine.
×
引用
GB/T 7714-2015
复制
MLA
复制
APA
复制
导出至
BibTeX EndNote RefMan NoteFirst NoteExpress
×
提示
您的信息不完整,为了账户安全,请先补充。
现在去补充
×
提示
您因"违规操作"
具体请查看互助需知
我知道了
×
提示
确定
请完成安全验证×
copy
已复制链接
快去分享给好友吧!
我知道了
右上角分享
点击右上角分享
0
联系我们:info@booksci.cn Book学术提供免费学术资源搜索服务,方便国内外学者检索中英文文献。致力于提供最便捷和优质的服务体验。 Copyright © 2023 布克学术 All rights reserved.
京ICP备2023020795号-1
ghs 京公网安备 11010802042870号
Book学术文献互助
Book学术文献互助群
群 号:604180095
Book学术官方微信