A digital way to assess the stain parameters that lead to soft tissue blanching when delivering an implant-supported crown.

IF 4 3区 医学 Q1 DENTISTRY, ORAL SURGERY & MEDICINE
Serge Szmukler-Moncler, David Morales Schwarz, Jorge Manuel Perez, Florian Beuer
{"title":"A digital way to assess the stain parameters that lead to soft tissue blanching when delivering an implant-supported crown.","authors":"Serge Szmukler-Moncler, David Morales Schwarz, Jorge Manuel Perez, Florian Beuer","doi":"10.1186/s40729-025-00598-7","DOIUrl":null,"url":null,"abstract":"<p><strong>Background: </strong>Dental implant systems provide standard cylindrical healing abutments of various diameters; however, they do not match the larger shape of the complex emergence profile of the prosthetic crowns. Adaptation of the soft tissues from a circular emergence profile to the one that suits the prosthetic crown involves a simultaneous squeezing and stretching of the gingiva. Often, this translates into local blanching of the gingiva and the prosthodontist must assess that blanching is transient. There is no literature about how much strain exerted by the prosthetic crown is leading or not to gingiva blanching. Aim of this paper is to present a digital workflow that allows measuring, upon prosthesis delivery, how much the strained gingiva is displaced under the crown and leads or not to blanching of the peri-implant soft tissues.</p><p><strong>Method and results: </strong>The digital workflow involves 3 intra-oral scans (IOS), IOS#1 at completion of the soft tissue healing, IOS#2 at prosthesis delivery, IOS#3 after soft tissue conditioning, and the STL files of the healing cap, the abutment, the implant and the prosthetic crown. The above are superposed and merged following a dedicated protocol that provides access to the distance the delivered crown deforms the strained gingiva. The present case study displayed distinct blanching intensities. Severe blanching was present when the strains applied to the gingiva caused a displacement of 1.3 mm and above; a displacement of 0.9 mm led to moderate blanching. No blanching was observed up to a displacement of 0.6 mm.</p><p><strong>Conclusion: </strong>A digital protocol, involving the superposition and merging of IOSs taken along a defined timeline and STLs of the implant hardware, allowed measuring the displacement distances a prosthetic crown wields upon delivery on the gingiva beneath the prosthesis. Various intensities of gingiva blanching could be related to distinct displacement distances of the healed gingiva that were triggered by attaching a prosthetic crown to the implant neck.</p>","PeriodicalId":14076,"journal":{"name":"International Journal of Implant Dentistry","volume":"11 1","pages":"10"},"PeriodicalIF":4.0000,"publicationDate":"2025-02-10","publicationTypes":"Journal Article","fieldsOfStudy":null,"isOpenAccess":false,"openAccessPdf":"https://www.ncbi.nlm.nih.gov/pmc/articles/PMC11811304/pdf/","citationCount":"0","resultStr":null,"platform":"Semanticscholar","paperid":null,"PeriodicalName":"International Journal of Implant Dentistry","FirstCategoryId":"3","ListUrlMain":"https://doi.org/10.1186/s40729-025-00598-7","RegionNum":3,"RegionCategory":"医学","ArticlePicture":[],"TitleCN":null,"AbstractTextCN":null,"PMCID":null,"EPubDate":"","PubModel":"","JCR":"Q1","JCRName":"DENTISTRY, ORAL SURGERY & MEDICINE","Score":null,"Total":0}
引用次数: 0

Abstract

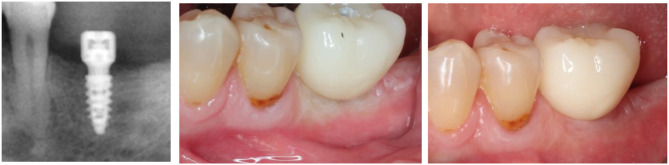
Background: Dental implant systems provide standard cylindrical healing abutments of various diameters; however, they do not match the larger shape of the complex emergence profile of the prosthetic crowns. Adaptation of the soft tissues from a circular emergence profile to the one that suits the prosthetic crown involves a simultaneous squeezing and stretching of the gingiva. Often, this translates into local blanching of the gingiva and the prosthodontist must assess that blanching is transient. There is no literature about how much strain exerted by the prosthetic crown is leading or not to gingiva blanching. Aim of this paper is to present a digital workflow that allows measuring, upon prosthesis delivery, how much the strained gingiva is displaced under the crown and leads or not to blanching of the peri-implant soft tissues.

Method and results: The digital workflow involves 3 intra-oral scans (IOS), IOS#1 at completion of the soft tissue healing, IOS#2 at prosthesis delivery, IOS#3 after soft tissue conditioning, and the STL files of the healing cap, the abutment, the implant and the prosthetic crown. The above are superposed and merged following a dedicated protocol that provides access to the distance the delivered crown deforms the strained gingiva. The present case study displayed distinct blanching intensities. Severe blanching was present when the strains applied to the gingiva caused a displacement of 1.3 mm and above; a displacement of 0.9 mm led to moderate blanching. No blanching was observed up to a displacement of 0.6 mm.

Conclusion: A digital protocol, involving the superposition and merging of IOSs taken along a defined timeline and STLs of the implant hardware, allowed measuring the displacement distances a prosthetic crown wields upon delivery on the gingiva beneath the prosthesis. Various intensities of gingiva blanching could be related to distinct displacement distances of the healed gingiva that were triggered by attaching a prosthetic crown to the implant neck.

Abstract Image

Abstract Image

Abstract Image

一种数字方法来评估在提供种植支撑冠时导致软组织漂白的染色参数。
背景:牙种植体系统提供各种直径的标准圆柱形愈合基台;然而,他们不匹配更大的形状复杂的出现轮廓的假冠。软组织从一个圆形的出现轮廓到一个适合义齿冠的适应包括同时挤压和拉伸牙龈。通常,这会导致牙龈局部泛白,而义齿医生必须评估牙龈泛白是暂时的。目前还没有关于牙冠施加多少压力导致或不导致牙龈变白的文献。本文的目的是提出一个数字工作流程,允许测量,在假体交付时,有多少紧张的牙龈在冠下移位,导致或不导致种植体周围软组织的漂白。方法和结果:数字化工作流程包括3次口腔内扫描(IOS),软组织愈合完成时的IOS#1,假体交付时的IOS#2,软组织调节后的IOS#3,以及愈合帽,基台,种植体和假体冠的STL文件。以上是根据一个专门的协议进行叠加和合并,以提供对交付的冠变形紧张牙龈的距离的访问。本病例研究显示明显的白化强度。当施加在牙龈上的应变导致1.3 mm及以上的位移时,出现严重的漂白;0.9 mm的位移导致适度的漂白。没有观察到位移达到0.6 mm。结论:一种数字协议,包括沿着规定的时间线和种植体硬件的stl叠加和合并iss,可以测量假体冠在假体下方牙龈上放置时的位移距离。不同强度的牙龈漂白可能与假体冠附着在种植体颈部引发的愈合牙龈的不同位移距离有关。
本文章由计算机程序翻译,如有差异,请以英文原文为准。
求助全文
约1分钟内获得全文 求助全文
来源期刊
International Journal of Implant Dentistry
International Journal of Implant Dentistry DENTISTRY, ORAL SURGERY & MEDICINE-
CiteScore
1.70
自引率
7.40%
发文量
53
审稿时长
13 weeks
期刊介绍: The International Journal of Implant Dentistry is a peer-reviewed open access journal published under the SpringerOpen brand. The journal is dedicated to promoting the exchange and discussion of all research areas relevant to implant dentistry in the form of systematic literature or invited reviews, prospective and retrospective clinical studies, clinical case reports, basic laboratory and animal research, and articles on material research and engineering.
×
引用
GB/T 7714-2015
复制
MLA
复制
APA
复制
导出至
BibTeX EndNote RefMan NoteFirst NoteExpress
×
提示
您的信息不完整,为了账户安全,请先补充。
现在去补充
×
提示
您因"违规操作"
具体请查看互助需知
我知道了
×
提示
确定
请完成安全验证×
copy
已复制链接
快去分享给好友吧!
我知道了
右上角分享
点击右上角分享
0
联系我们:info@booksci.cn Book学术提供免费学术资源搜索服务,方便国内外学者检索中英文文献。致力于提供最便捷和优质的服务体验。 Copyright © 2023 布克学术 All rights reserved.
京ICP备2023020795号-1
ghs 京公网安备 11010802042870号
Book学术文献互助
Book学术文献互助群
群 号:604180095
Book学术官方微信