Three-dimensional architecture of the palmar plate of the thumb metacarpophalangeal joint in infant macaque.

IF 1.1 4区 医学 Q3 PATHOLOGY
Medical Molecular Morphology Pub Date : 2025-09-01 Epub Date: 2025-02-08 DOI:10.1007/s00795-025-00423-5
Hiroko Sato, Tatsuo Shimada, Tsuguaki Hosoyama, Yutaro Shibuta, Nobuhiro Kaku
{"title":"Three-dimensional architecture of the palmar plate of the thumb metacarpophalangeal joint in infant macaque.","authors":"Hiroko Sato, Tatsuo Shimada, Tsuguaki Hosoyama, Yutaro Shibuta, Nobuhiro Kaku","doi":"10.1007/s00795-025-00423-5","DOIUrl":null,"url":null,"abstract":"<p><p>The palmar plate is a crucial structural part of hand, associated with metacarpophalangeal and interphalangeal joints. Pediatric disorders involving the palmar plate of thumb metacarpophalangeal joint include trigger thumb, hyperextension, instability, and dislocation. While anatomical differences exist between children and adults, detailed microstructure evaluations in infants remain unexplored. In this study, we provide a histological and structural assessment of the previously unresolved microstructure of the palmar plate in the thumb metacarpophalangeal joint of infant Japanese macaques (Cercopithecidae, Macaca fuscata), a relevant model for human development. Histological staining (light microscopy) and scanning electron microscopy were employed to visualize the three-dimensional microstructure. The palmar plate of the infant macaque was found to contain (1) elastic fibers, (2) hyaline cartilage composed of type II collagen, and (3) type I collagen fibers arranged in distinct patterns. The cartilaginous region exhibited a reticulate fiber arrangement on its periphery, while the membranous region displayed dense and complex fibers on the proximal phalanx side and parallel on the metacarpal side, respectively. This is the first comprehensive three-dimensional investigation of the infant's thumb's palmar microanatomy, providing a foundation for understanding its development and implications for pediatric disorders.</p>","PeriodicalId":18338,"journal":{"name":"Medical Molecular Morphology","volume":" ","pages":"163-170"},"PeriodicalIF":1.1000,"publicationDate":"2025-09-01","publicationTypes":"Journal Article","fieldsOfStudy":null,"isOpenAccess":false,"openAccessPdf":"https://www.ncbi.nlm.nih.gov/pmc/articles/PMC12378775/pdf/","citationCount":"0","resultStr":null,"platform":"Semanticscholar","paperid":null,"PeriodicalName":"Medical Molecular Morphology","FirstCategoryId":"3","ListUrlMain":"https://doi.org/10.1007/s00795-025-00423-5","RegionNum":4,"RegionCategory":"医学","ArticlePicture":[],"TitleCN":null,"AbstractTextCN":null,"PMCID":null,"EPubDate":"2025/2/8 0:00:00","PubModel":"Epub","JCR":"Q3","JCRName":"PATHOLOGY","Score":null,"Total":0}
引用次数: 0

Abstract

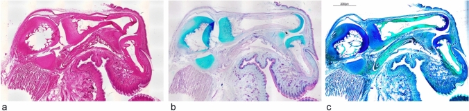
The palmar plate is a crucial structural part of hand, associated with metacarpophalangeal and interphalangeal joints. Pediatric disorders involving the palmar plate of thumb metacarpophalangeal joint include trigger thumb, hyperextension, instability, and dislocation. While anatomical differences exist between children and adults, detailed microstructure evaluations in infants remain unexplored. In this study, we provide a histological and structural assessment of the previously unresolved microstructure of the palmar plate in the thumb metacarpophalangeal joint of infant Japanese macaques (Cercopithecidae, Macaca fuscata), a relevant model for human development. Histological staining (light microscopy) and scanning electron microscopy were employed to visualize the three-dimensional microstructure. The palmar plate of the infant macaque was found to contain (1) elastic fibers, (2) hyaline cartilage composed of type II collagen, and (3) type I collagen fibers arranged in distinct patterns. The cartilaginous region exhibited a reticulate fiber arrangement on its periphery, while the membranous region displayed dense and complex fibers on the proximal phalanx side and parallel on the metacarpal side, respectively. This is the first comprehensive three-dimensional investigation of the infant's thumb's palmar microanatomy, providing a foundation for understanding its development and implications for pediatric disorders.

Abstract Image

Abstract Image

Abstract Image

幼猴拇指掌指关节掌板的三维结构。
掌板是手部重要的结构部分,与掌指关节和指间关节有关。涉及拇指掌板的儿童疾病包括触发拇指、过伸、不稳定和脱位。虽然儿童和成人之间存在解剖学上的差异,但婴儿的详细微观结构评估仍未得到探索。在这项研究中,我们对日本猕猴(Cercopithecidae, Macaca fuscata)幼猴拇指掌指关节掌板的微观结构进行了组织学和结构评估,这是人类发育的相关模型。采用组织学染色(光镜)和扫描电镜观察三维显微结构。幼龄猕猴掌板含有(1)弹性纤维,(2)由II型胶原组成的透明软骨,(3)有明显排列的I型胶原纤维。软骨区在其周围呈网状纤维排列,而膜区在近指骨侧和掌骨侧分别显示密集和复杂的纤维。这是婴儿拇指掌显微解剖的第一个全面的三维研究,为理解其发展和对儿科疾病的影响提供了基础。
本文章由计算机程序翻译,如有差异,请以英文原文为准。
求助全文
约1分钟内获得全文 求助全文
来源期刊
Medical Molecular Morphology
Medical Molecular Morphology 医学-病理学
CiteScore
2.90
自引率
5.60%
发文量
30
审稿时长
>12 weeks
期刊介绍: Medical Molecular Morphology is an international forum for researchers in both basic and clinical medicine to present and discuss new research on the structural mechanisms and the processes of health and disease at the molecular level. The structures of molecules, organelles, cells, tissues, and organs determine their normal function. Disease is thus best understood in terms of structural changes in these different levels of biological organization, especially in molecules and molecular interactions as well as the cellular localization of chemical components. Medical Molecular Morphology welcomes articles on basic or clinical research in the fields of cell biology, molecular biology, and medical, veterinary, and dental sciences using techniques for structural research such as electron microscopy, confocal laser scanning microscopy, enzyme histochemistry, immunohistochemistry, radioautography, X-ray microanalysis, and in situ hybridization. Manuscripts submitted for publication must contain a statement to the effect that all human studies have been reviewed by the appropriate ethics committee and have therefore been performed in accordance with the ethical standards laid down in an appropriate version of the 1964 Declaration of Helsinki. It should also be stated clearly in the text that all persons gave their informed consent prior to their inclusion in the study. Details that might disclose the identity of the subjects under study should be omitted.
×
引用
GB/T 7714-2015
复制
MLA
复制
APA
复制
导出至
BibTeX EndNote RefMan NoteFirst NoteExpress
×
提示
您的信息不完整,为了账户安全,请先补充。
现在去补充
×
提示
您因"违规操作"
具体请查看互助需知
我知道了
×
提示
确定
请完成安全验证×
copy
已复制链接
快去分享给好友吧!
我知道了
右上角分享
点击右上角分享
0
联系我们:info@booksci.cn Book学术提供免费学术资源搜索服务,方便国内外学者检索中英文文献。致力于提供最便捷和优质的服务体验。 Copyright © 2023 布克学术 All rights reserved.
京ICP备2023020795号-1
ghs 京公网安备 11010802042870号
Book学术文献互助
Book学术文献互助群
群 号:604180095
Book学术官方微信