Multimodality imaging in cardiac sarcoidosis: A case series of diverse phenotypes.

IF 1.3 Q3 RADIOLOGY, NUCLEAR MEDICINE & MEDICAL IMAGING
Journal of Clinical Imaging Science Pub Date : 2025-01-22 eCollection Date: 2025-01-01 DOI:10.25259/JCIS_143_2024
Hongyan Qiao, Hao Tian, Mengdi Jiang, Jinghui Li, Tian Lan, Minjie Lu
{"title":"Multimodality imaging in cardiac sarcoidosis: A case series of diverse phenotypes.","authors":"Hongyan Qiao, Hao Tian, Mengdi Jiang, Jinghui Li, Tian Lan, Minjie Lu","doi":"10.25259/JCIS_143_2024","DOIUrl":null,"url":null,"abstract":"<p><p>Cardiac sarcoidosis (CS) represents a rare yet potentially life-threatening condition characterized by non-specific clinical symptoms that maybe easily missed by clinicians. In this case series, the clinical presentations, various imaging modalities' characteristics, and the management of four patients, each with distinct phenotypes of CS confirmed through endomyocardial biopsy, are discussed. Advanced imaging techniques, including positron emission tomography, revealed the focal septal uptake of <sup>18</sup>F fluorodeoxyglucose, which suggests an ongoing inflammation, whereas contrast-enhanced cardiac magnetic resonance demonstrates septal late gadolinium enhancement, which indicates replacement fibrosis. These features of multimodality imaging in CS can assist in patient diagnosis and treatment.</p>","PeriodicalId":15512,"journal":{"name":"Journal of Clinical Imaging Science","volume":"15 ","pages":"5"},"PeriodicalIF":1.3000,"publicationDate":"2025-01-22","publicationTypes":"Journal Article","fieldsOfStudy":null,"isOpenAccess":false,"openAccessPdf":"https://www.ncbi.nlm.nih.gov/pmc/articles/PMC11801474/pdf/","citationCount":"0","resultStr":null,"platform":"Semanticscholar","paperid":null,"PeriodicalName":"Journal of Clinical Imaging Science","FirstCategoryId":"1085","ListUrlMain":"https://doi.org/10.25259/JCIS_143_2024","RegionNum":0,"RegionCategory":null,"ArticlePicture":[],"TitleCN":null,"AbstractTextCN":null,"PMCID":null,"EPubDate":"2025/1/1 0:00:00","PubModel":"eCollection","JCR":"Q3","JCRName":"RADIOLOGY, NUCLEAR MEDICINE & MEDICAL IMAGING","Score":null,"Total":0}
引用次数: 0

Abstract

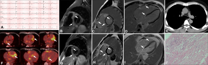
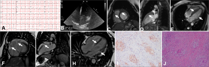
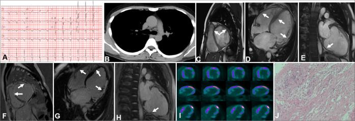
Cardiac sarcoidosis (CS) represents a rare yet potentially life-threatening condition characterized by non-specific clinical symptoms that maybe easily missed by clinicians. In this case series, the clinical presentations, various imaging modalities' characteristics, and the management of four patients, each with distinct phenotypes of CS confirmed through endomyocardial biopsy, are discussed. Advanced imaging techniques, including positron emission tomography, revealed the focal septal uptake of 18F fluorodeoxyglucose, which suggests an ongoing inflammation, whereas contrast-enhanced cardiac magnetic resonance demonstrates septal late gadolinium enhancement, which indicates replacement fibrosis. These features of multimodality imaging in CS can assist in patient diagnosis and treatment.

Abstract Image

Abstract Image

Abstract Image

心脏结节病的多模态成像:一系列不同表型的病例。
心脏结节病(CS)是一种罕见但可能危及生命的疾病,其特征是非特异性的临床症状,很容易被临床医生忽视。在这个病例系列中,我们讨论了四名患者的临床表现、各种影像学特征和治疗方法,每名患者都有不同的CS表型,通过心内膜肌活检确诊。先进的成像技术,包括正电子发射断层扫描,显示局灶性鼻中隔18F氟脱氧葡萄糖摄取,提示持续的炎症,而心脏磁共振增强显示鼻中隔晚期钆增强,提示置换性纤维化。CS多模态影像的这些特征有助于患者的诊断和治疗。
本文章由计算机程序翻译,如有差异,请以英文原文为准。
求助全文
约1分钟内获得全文 求助全文
来源期刊
Journal of Clinical Imaging Science
Journal of Clinical Imaging Science RADIOLOGY, NUCLEAR MEDICINE & MEDICAL IMAGING-
CiteScore
2.00
自引率
0.00%
发文量
65
期刊介绍: The Journal of Clinical Imaging Science (JCIS) is an open access peer-reviewed journal committed to publishing high-quality articles in the field of Imaging Science. The journal aims to present Imaging Science and relevant clinical information in an understandable and useful format. The journal is owned and published by the Scientific Scholar. Audience Our audience includes Radiologists, Researchers, Clinicians, medical professionals and students. Review process JCIS has a highly rigorous peer-review process that makes sure that manuscripts are scientifically accurate, relevant, novel and important. Authors disclose all conflicts, affiliations and financial associations such that the published content is not biased.
×
引用
GB/T 7714-2015
复制
MLA
复制
APA
复制
导出至
BibTeX EndNote RefMan NoteFirst NoteExpress
×
提示
您的信息不完整,为了账户安全,请先补充。
现在去补充
×
提示
您因"违规操作"
具体请查看互助需知
我知道了
×
提示
确定
请完成安全验证×
copy
已复制链接
快去分享给好友吧!
我知道了
右上角分享
点击右上角分享
0
联系我们:info@booksci.cn Book学术提供免费学术资源搜索服务,方便国内外学者检索中英文文献。致力于提供最便捷和优质的服务体验。 Copyright © 2023 布克学术 All rights reserved.
京ICP备2023020795号-1
ghs 京公网安备 11010802042870号
Book学术文献互助
Book学术文献互助群
群 号:604180095
Book学术官方微信