C3 glomerulonephritis associated with monoclonal gammopathy of renal significance: a diagnostic and therapeutic challenge.

IF 1.3 Q3 UROLOGY & NEPHROLOGY
Bárbara Beirão, Mariana Freitas, Natália Silva, Patrícia Ferraz, Catarina Prata, Teresa Morgado
{"title":"C3 glomerulonephritis associated with monoclonal gammopathy of renal significance: a diagnostic and therapeutic challenge.","authors":"Bárbara Beirão, Mariana Freitas, Natália Silva, Patrícia Ferraz, Catarina Prata, Teresa Morgado","doi":"10.1590/2175-8239-JBN-2024-0106en","DOIUrl":null,"url":null,"abstract":"<p><p>C3 glomerulopathy represents a heterogeneous group of glomerulopathies characterized by hyperactivity of the alternative complement pathway. Although the pathophysiology is incompletely understood, an association between this disease and monoclonal gammopathies is increasingly recognized, especially in older individuals. There is still some uncertainty regarding the best treatment for patients with monoclonal gammopathy-associated C3 glomerulopathy. However, recent evidence suggests that myeloma-targeted therapies are associated with improved renal outcomes compared with conservative or conventional immunosuppressive therapies. This case report describes the clinical course and long-term follow-up of a patient with monoclonal gammopathy-associated C3 glomerulonephritis treated with myeloma-targeted therapy.</p>","PeriodicalId":14724,"journal":{"name":"Jornal brasileiro de nefrologia : 'orgao oficial de Sociedades Brasileira e Latino-Americana de Nefrologia","volume":"47 2","pages":"e20240106"},"PeriodicalIF":1.3000,"publicationDate":"2025-04-01","publicationTypes":"Journal Article","fieldsOfStudy":null,"isOpenAccess":false,"openAccessPdf":"https://www.ncbi.nlm.nih.gov/pmc/articles/PMC11804883/pdf/","citationCount":"0","resultStr":null,"platform":"Semanticscholar","paperid":null,"PeriodicalName":"Jornal brasileiro de nefrologia : 'orgao oficial de Sociedades Brasileira e Latino-Americana de Nefrologia","FirstCategoryId":"1085","ListUrlMain":"https://doi.org/10.1590/2175-8239-JBN-2024-0106en","RegionNum":0,"RegionCategory":null,"ArticlePicture":[],"TitleCN":null,"AbstractTextCN":null,"PMCID":null,"EPubDate":"","PubModel":"","JCR":"Q3","JCRName":"UROLOGY & NEPHROLOGY","Score":null,"Total":0}
引用次数: 0

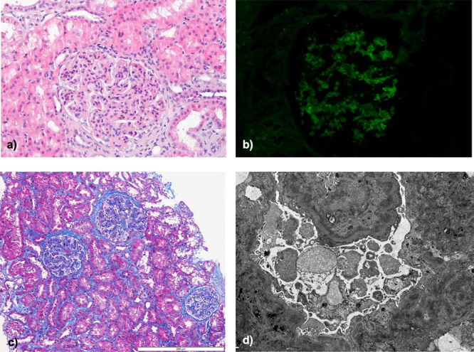
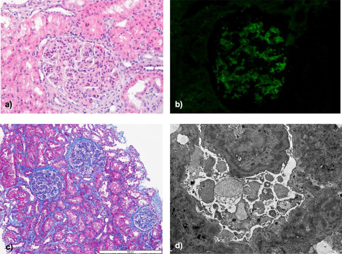
Abstract

C3 glomerulopathy represents a heterogeneous group of glomerulopathies characterized by hyperactivity of the alternative complement pathway. Although the pathophysiology is incompletely understood, an association between this disease and monoclonal gammopathies is increasingly recognized, especially in older individuals. There is still some uncertainty regarding the best treatment for patients with monoclonal gammopathy-associated C3 glomerulopathy. However, recent evidence suggests that myeloma-targeted therapies are associated with improved renal outcomes compared with conservative or conventional immunosuppressive therapies. This case report describes the clinical course and long-term follow-up of a patient with monoclonal gammopathy-associated C3 glomerulonephritis treated with myeloma-targeted therapy.

Abstract Image

Abstract Image

Abstract Image

C3肾小球肾炎与肾脏单克隆性伽玛病相关:诊断和治疗的挑战。
C3肾小球病是一种异质性肾小球病,其特征是补体通路异常活跃。尽管病理生理学尚不完全清楚,但人们越来越认识到这种疾病与单克隆γ病之间的联系,特别是在老年人中。单克隆伽玛病相关C3肾小球病变的最佳治疗方案仍存在一些不确定性。然而,最近的证据表明,与保守或传统的免疫抑制治疗相比,骨髓瘤靶向治疗与肾脏预后改善相关。本病例报告描述了一例单克隆伽玛病相关C3肾小球肾炎患者接受骨髓瘤靶向治疗的临床过程和长期随访。
本文章由计算机程序翻译,如有差异,请以英文原文为准。
求助全文
约1分钟内获得全文 求助全文
来源期刊
CiteScore
2.20
自引率
16.70%
发文量
208
审稿时长
16 weeks
×
引用
GB/T 7714-2015
复制
MLA
复制
APA
复制
导出至
BibTeX EndNote RefMan NoteFirst NoteExpress
×
提示
您的信息不完整,为了账户安全,请先补充。
现在去补充
×
提示
您因"违规操作"
具体请查看互助需知
我知道了
×
提示
确定
请完成安全验证×
copy
已复制链接
快去分享给好友吧!
我知道了
右上角分享
点击右上角分享
0
联系我们:info@booksci.cn Book学术提供免费学术资源搜索服务,方便国内外学者检索中英文文献。致力于提供最便捷和优质的服务体验。 Copyright © 2023 布克学术 All rights reserved.
京ICP备2023020795号-1
ghs 京公网安备 11010802042870号
Book学术文献互助
Book学术文献互助群
群 号:604180095
Book学术官方微信