Three cases of gastrointestinal stromal tumors with metaiodobenzylguanidine (MIBG) accumulation.

IF 0.9 Q3 MEDICINE, GENERAL & INTERNAL
Fukushima Journal of Medical Science Pub Date : 2025-04-19 Epub Date: 2025-02-08 DOI:10.5387/fms.24-00003
Honami Kobiyama, Shiro Ishii, Yumi Saito, Natsumi Kawamoto, Shigeyasu Sugawara, Hiroshi Ito
{"title":"Three cases of gastrointestinal stromal tumors with metaiodobenzylguanidine (MIBG) accumulation.","authors":"Honami Kobiyama, Shiro Ishii, Yumi Saito, Natsumi Kawamoto, Shigeyasu Sugawara, Hiroshi Ito","doi":"10.5387/fms.24-00003","DOIUrl":null,"url":null,"abstract":"<p><p>Meta-iodobenzylguanidine (MIBG) is an analog of norepinephrine and guanethidine, and MIBG scintigraphy is useful to diagnose tumors of the sympathetic nervous system, such as pheochromocytoma, paraganglioma, and neuroblastoma. To date, there have been few reports of MIBG accumulation in gastrointestinal stromal tumors (GISTs), so the mechanism and frequency of MIBG accumulation in GISTs are unknown. Herein, we report and discuss three cases of GIST in which scintigraphy that was performed to exclude pheochromocytoma showed MIBG accumulation.</p>","PeriodicalId":44831,"journal":{"name":"Fukushima Journal of Medical Science","volume":" ","pages":"135-139"},"PeriodicalIF":0.9000,"publicationDate":"2025-04-19","publicationTypes":"Journal Article","fieldsOfStudy":null,"isOpenAccess":false,"openAccessPdf":"https://www.ncbi.nlm.nih.gov/pmc/articles/PMC12079052/pdf/","citationCount":"0","resultStr":null,"platform":"Semanticscholar","paperid":null,"PeriodicalName":"Fukushima Journal of Medical Science","FirstCategoryId":"1085","ListUrlMain":"https://doi.org/10.5387/fms.24-00003","RegionNum":0,"RegionCategory":null,"ArticlePicture":[],"TitleCN":null,"AbstractTextCN":null,"PMCID":null,"EPubDate":"2025/2/8 0:00:00","PubModel":"Epub","JCR":"Q3","JCRName":"MEDICINE, GENERAL & INTERNAL","Score":null,"Total":0}
引用次数: 0

Abstract

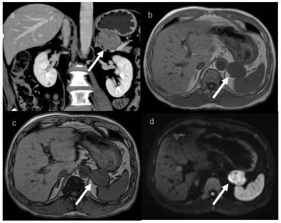
Meta-iodobenzylguanidine (MIBG) is an analog of norepinephrine and guanethidine, and MIBG scintigraphy is useful to diagnose tumors of the sympathetic nervous system, such as pheochromocytoma, paraganglioma, and neuroblastoma. To date, there have been few reports of MIBG accumulation in gastrointestinal stromal tumors (GISTs), so the mechanism and frequency of MIBG accumulation in GISTs are unknown. Herein, we report and discuss three cases of GIST in which scintigraphy that was performed to exclude pheochromocytoma showed MIBG accumulation.

Abstract Image

Abstract Image

Abstract Image

胃肠道间质瘤合并甲氧十二苄基胍积累3例。
间碘苄基胍(MIBG)是去甲肾上腺素和胍乙啶的类似物,MIBG显像可用于诊断交感神经系统肿瘤,如嗜铬细胞瘤、副神经节瘤和神经母细胞瘤。迄今为止,关于胃肠道间质瘤(gist)中MIBG积累的报道较少,因此胃肠道间质瘤中MIBG积累的机制和频率尚不清楚。在此,我们报告并讨论了三例GIST病例,其中通过显像排除嗜铬细胞瘤显示MIBG积累。
本文章由计算机程序翻译,如有差异,请以英文原文为准。
求助全文
约1分钟内获得全文 求助全文
来源期刊
Fukushima Journal of Medical Science
Fukushima Journal of Medical Science MEDICINE, GENERAL & INTERNAL-
CiteScore
1.70
自引率
12.50%
发文量
24
×
引用
GB/T 7714-2015
复制
MLA
复制
APA
复制
导出至
BibTeX EndNote RefMan NoteFirst NoteExpress
×
提示
您的信息不完整,为了账户安全,请先补充。
现在去补充
×
提示
您因"违规操作"
具体请查看互助需知
我知道了
×
提示
确定
请完成安全验证×
copy
已复制链接
快去分享给好友吧!
我知道了
右上角分享
点击右上角分享
0
联系我们:info@booksci.cn Book学术提供免费学术资源搜索服务,方便国内外学者检索中英文文献。致力于提供最便捷和优质的服务体验。 Copyright © 2023 布克学术 All rights reserved.
京ICP备2023020795号-1
ghs 京公网安备 11010802042870号
Book学术文献互助
Book学术文献互助群
群 号:604180095
Book学术官方微信