Successful cord blood transplantation for a unique case of bone marrow failure presenting t(2;19)(p23;q13.3) translocation suggesting disruption of DPY30.

IF 0.9 Q3 MEDICINE, GENERAL & INTERNAL
Fukushima Journal of Medical Science Pub Date : 2025-04-19 Epub Date: 2025-02-08 DOI:10.5387/fms.24-00044
Yuki Sato, Daisuke Koyama, Shoki Yamada, Naomi Kamei, Koichiro Fukuchi, Kengo Suzuki, Yasuhiro Uchida, Manabu Suzuki, Masahiko Fukatsu, Yuko Hashimoto, Takayuki Ikezoe
{"title":"Successful cord blood transplantation for a unique case of bone marrow failure presenting t(2;19)(p23;q13.3) translocation suggesting disruption of DPY30.","authors":"Yuki Sato, Daisuke Koyama, Shoki Yamada, Naomi Kamei, Koichiro Fukuchi, Kengo Suzuki, Yasuhiro Uchida, Manabu Suzuki, Masahiko Fukatsu, Yuko Hashimoto, Takayuki Ikezoe","doi":"10.5387/fms.24-00044","DOIUrl":null,"url":null,"abstract":"<p><p>H3K4 methylation, primarily mediated by MLL family proteins, plays a pivotal role in the epigenetic regulation of gene transcription. Among the MLL family, KMT2A is known for its critical role in hematopoiesis. MLL family proteins feature C-terminal SET catalytic domains, requiring the formation of MLL complexes with proteins like DPY30 to maximize their enzymatic activity. Deletion of DPY30 results in a significant reduction in H3K4me1, H3K4me2, and H3K4me3 levels in bone marrow (BM) cells, underscoring the essential role of DPY30 in facilitating optimal catalytic activity within MLL family complexes. Here, we present a unique case of myelodysplastic neoplasms (MDS) associated with a novel t(2;19)(p23;q13.3) translocation. A 22-year-old pregnant woman initially sought consultation due to thrombocytopenia, which temporarily improved following a miscarriage. However, she later presented with progressive pancytopenia. RNA sequencing analysis of BM mononuclear cells using STAR-Fusion revealed the translocation breakpoint on chromosomes, resulting in the disruption of the DPY30 and CEACAM6 genes. BM failure showed marked improvement following cord blood transplantation. This case represents a novel form of MDS associated with the disruption of the DPY30 gene. Our findings underscore the importance of considering early hematopoietic stem cell transplantation for MDS cases attributed to DPY30 dysfunction.</p>","PeriodicalId":44831,"journal":{"name":"Fukushima Journal of Medical Science","volume":" ","pages":"129-134"},"PeriodicalIF":0.9000,"publicationDate":"2025-04-19","publicationTypes":"Journal Article","fieldsOfStudy":null,"isOpenAccess":false,"openAccessPdf":"https://www.ncbi.nlm.nih.gov/pmc/articles/PMC12079049/pdf/","citationCount":"0","resultStr":null,"platform":"Semanticscholar","paperid":null,"PeriodicalName":"Fukushima Journal of Medical Science","FirstCategoryId":"1085","ListUrlMain":"https://doi.org/10.5387/fms.24-00044","RegionNum":0,"RegionCategory":null,"ArticlePicture":[],"TitleCN":null,"AbstractTextCN":null,"PMCID":null,"EPubDate":"2025/2/8 0:00:00","PubModel":"Epub","JCR":"Q3","JCRName":"MEDICINE, GENERAL & INTERNAL","Score":null,"Total":0}
引用次数: 0

Abstract

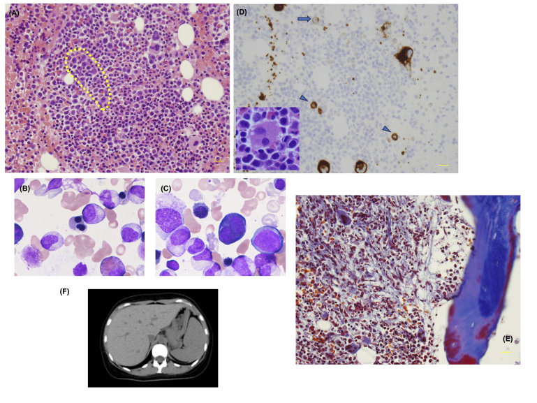
H3K4 methylation, primarily mediated by MLL family proteins, plays a pivotal role in the epigenetic regulation of gene transcription. Among the MLL family, KMT2A is known for its critical role in hematopoiesis. MLL family proteins feature C-terminal SET catalytic domains, requiring the formation of MLL complexes with proteins like DPY30 to maximize their enzymatic activity. Deletion of DPY30 results in a significant reduction in H3K4me1, H3K4me2, and H3K4me3 levels in bone marrow (BM) cells, underscoring the essential role of DPY30 in facilitating optimal catalytic activity within MLL family complexes. Here, we present a unique case of myelodysplastic neoplasms (MDS) associated with a novel t(2;19)(p23;q13.3) translocation. A 22-year-old pregnant woman initially sought consultation due to thrombocytopenia, which temporarily improved following a miscarriage. However, she later presented with progressive pancytopenia. RNA sequencing analysis of BM mononuclear cells using STAR-Fusion revealed the translocation breakpoint on chromosomes, resulting in the disruption of the DPY30 and CEACAM6 genes. BM failure showed marked improvement following cord blood transplantation. This case represents a novel form of MDS associated with the disruption of the DPY30 gene. Our findings underscore the importance of considering early hematopoietic stem cell transplantation for MDS cases attributed to DPY30 dysfunction.

Abstract Image

Abstract Image

成功的脐带血移植治疗一例骨髓衰竭,表现为t(2;19)(p23;q13.3)易位,提示DPY30的破坏。
H3K4甲基化主要由MLL家族蛋白介导,在基因转录的表观遗传调控中起关键作用。在MLL家族中,KMT2A因其在造血中的关键作用而闻名。MLL家族蛋白具有c端SET催化结构域,需要与DPY30等蛋白形成MLL复合物以最大化其酶活性。DPY30的缺失导致骨髓(BM)细胞中H3K4me1、H3K4me2和H3K4me3水平的显著降低,强调了DPY30在促进MLL家族复合物中最佳催化活性方面的重要作用。在这里,我们提出了一个独特的病例骨髓增生异常肿瘤(MDS)与一个新的t(2;19)(p23;q13.3)易位相关。一名22岁的孕妇最初因血小板减少症寻求咨询,在流产后暂时改善。然而,她后来出现进行性全血细胞减少症。利用STAR-Fusion对BM单核细胞进行RNA测序分析,发现染色体上的易位断点导致DPY30和CEACAM6基因断裂。脐带血移植后骨髓衰竭明显改善。该病例代表了一种与DPY30基因破坏相关的新型MDS。我们的研究结果强调了考虑早期造血干细胞移植对于DPY30功能障碍导致的MDS病例的重要性。
本文章由计算机程序翻译,如有差异,请以英文原文为准。
求助全文
约1分钟内获得全文 求助全文
来源期刊
Fukushima Journal of Medical Science
Fukushima Journal of Medical Science MEDICINE, GENERAL & INTERNAL-
CiteScore
1.70
自引率
12.50%
发文量
24
×
引用
GB/T 7714-2015
复制
MLA
复制
APA
复制
导出至
BibTeX EndNote RefMan NoteFirst NoteExpress
×
提示
您的信息不完整,为了账户安全,请先补充。
现在去补充
×
提示
您因"违规操作"
具体请查看互助需知
我知道了
×
提示
确定
请完成安全验证×
copy
已复制链接
快去分享给好友吧!
我知道了
右上角分享
点击右上角分享
0
联系我们:info@booksci.cn Book学术提供免费学术资源搜索服务,方便国内外学者检索中英文文献。致力于提供最便捷和优质的服务体验。 Copyright © 2023 布克学术 All rights reserved.
京ICP备2023020795号-1
ghs 京公网安备 11010802042870号
Book学术文献互助
Book学术文献互助群
群 号:604180095
Book学术官方微信