Methimazole-Induced Cholestatic Jaundice: A Rare Case and Literature Review.

IF 0.8 Q3 MEDICINE, GENERAL & INTERNAL
Ahmed Mohamed Nefzi, Dhouha Cherif, Habiba Dabbebi, Haythem Yacoub, Hajer Hassine, Hela Kchir, Khadija Bellil, Nadia Maamouri
{"title":"Methimazole-Induced Cholestatic Jaundice: A Rare Case and Literature Review.","authors":"Ahmed Mohamed Nefzi, Dhouha Cherif, Habiba Dabbebi, Haythem Yacoub, Hajer Hassine, Hela Kchir, Khadija Bellil, Nadia Maamouri","doi":"10.1177/23247096251317285","DOIUrl":null,"url":null,"abstract":"<p><p>Methimazole is commonly prescribed for patients with hyperthyroidism. It typically exhibits a well-tolerated profile, with common side effects including gastrointestinal disorders and rash. However, more serious rare yet adverse reactions, notably agranulocytosis and hepatotoxicity have been documented in literature. Here we present a case of a 27-year-old female, recently diagnosed with Graves' disease, who was prescribed methimazole and developed severe pruritus with cholestatic jaundice 13 days later. Concomitant causes of liver disease were ruled out. The treatment was discontinued, and a switch to corticosteroid therapy with a regimen of radioactive iodine sessions was initiated. The patient's condition showed a resolution of pruritus and jaundice, a disappearance of cytolysis with an aggravation of cholestasis followed by a gradual decrease, leading to the liver function normalization after 2 years. Methimazole-induced cholestatic jaundice is a rare yet severe adverse effect. Patients should be aware of this complication and advised to immediately stop taking the treatment when suggestive symptoms (pruritus, jaundice, dark urine, light-colored stool) occur.</p>","PeriodicalId":16198,"journal":{"name":"Journal of investigative medicine high impact case reports","volume":"13 ","pages":"23247096251317285"},"PeriodicalIF":0.8000,"publicationDate":"2025-01-01","publicationTypes":"Journal Article","fieldsOfStudy":null,"isOpenAccess":false,"openAccessPdf":"https://www.ncbi.nlm.nih.gov/pmc/articles/PMC11800239/pdf/","citationCount":"0","resultStr":null,"platform":"Semanticscholar","paperid":null,"PeriodicalName":"Journal of investigative medicine high impact case reports","FirstCategoryId":"1085","ListUrlMain":"https://doi.org/10.1177/23247096251317285","RegionNum":0,"RegionCategory":null,"ArticlePicture":[],"TitleCN":null,"AbstractTextCN":null,"PMCID":null,"EPubDate":"","PubModel":"","JCR":"Q3","JCRName":"MEDICINE, GENERAL & INTERNAL","Score":null,"Total":0}
引用次数: 0

Abstract

Methimazole is commonly prescribed for patients with hyperthyroidism. It typically exhibits a well-tolerated profile, with common side effects including gastrointestinal disorders and rash. However, more serious rare yet adverse reactions, notably agranulocytosis and hepatotoxicity have been documented in literature. Here we present a case of a 27-year-old female, recently diagnosed with Graves' disease, who was prescribed methimazole and developed severe pruritus with cholestatic jaundice 13 days later. Concomitant causes of liver disease were ruled out. The treatment was discontinued, and a switch to corticosteroid therapy with a regimen of radioactive iodine sessions was initiated. The patient's condition showed a resolution of pruritus and jaundice, a disappearance of cytolysis with an aggravation of cholestasis followed by a gradual decrease, leading to the liver function normalization after 2 years. Methimazole-induced cholestatic jaundice is a rare yet severe adverse effect. Patients should be aware of this complication and advised to immediately stop taking the treatment when suggestive symptoms (pruritus, jaundice, dark urine, light-colored stool) occur.

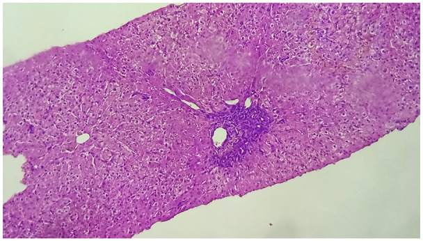
Abstract Image

Abstract Image

Abstract Image

甲巯咪唑致胆汁淤积性黄疸1例及文献复习。
甲巯咪唑常用于甲亢患者。它通常具有良好的耐受性,常见的副作用包括胃肠道疾病和皮疹。然而,更严重的罕见不良反应,特别是粒细胞缺乏症和肝毒性已被文献记载。在这里我们提出一个27岁的女性,最近被诊断为格雷夫斯病,谁开甲巯咪唑和13天后出现严重瘙痒和胆汁淤积性黄疸。排除了肝脏疾病的伴随原因。治疗停止,并开始转向皮质类固醇治疗和放射性碘治疗方案。患者的病情表现为瘙痒和黄疸消退,细胞溶解消失,胆汁淤积加重,随后逐渐减少,2年后肝功能恢复正常。甲巯咪唑引起的胆汁淤积性黄疸是一种罕见但严重的不良反应。患者应意识到这一并发症,并建议在出现提示症状(瘙痒、黄疸、尿色深、大便颜色浅)时立即停止治疗。
本文章由计算机程序翻译,如有差异,请以英文原文为准。
求助全文
约1分钟内获得全文 求助全文
来源期刊
CiteScore
1.90
自引率
0.00%
发文量
165
审稿时长
12 weeks
期刊介绍: The AFMR is committed to enhancing the training and career development of our members and to furthering its mission to facilitate the conduct of research to improve medical care. Case reports represent an important avenue for trainees (interns, residents, and fellows) and early-stage faculty to demonstrate productive, scholarly activity.
×
引用
GB/T 7714-2015
复制
MLA
复制
APA
复制
导出至
BibTeX EndNote RefMan NoteFirst NoteExpress
×
提示
您的信息不完整,为了账户安全,请先补充。
现在去补充
×
提示
您因"违规操作"
具体请查看互助需知
我知道了
×
提示
确定
请完成安全验证×
copy
已复制链接
快去分享给好友吧!
我知道了
右上角分享
点击右上角分享
0
联系我们:info@booksci.cn Book学术提供免费学术资源搜索服务,方便国内外学者检索中英文文献。致力于提供最便捷和优质的服务体验。 Copyright © 2023 布克学术 All rights reserved.
京ICP备2023020795号-1
ghs 京公网安备 11010802042870号
Book学术文献互助
Book学术文献互助群
群 号:604180095
Book学术官方微信