Vascular Pathology in Alpha 1 Antitrypsin Deficient Chronic Obstructive Pulmonary Disease and Emphysema Patients: Case Reports.

IF 2.6 Q2 GENETICS & HEREDITY
Application of Clinical Genetics Pub Date : 2025-01-28 eCollection Date: 2025-01-01 DOI:10.2147/TACG.S491890
Matthew Gordon, Andrew J Gangemi, Eric L Sandwith, Maruti Kumaran, Friedrich Kueppers
{"title":"Vascular Pathology in Alpha 1 Antitrypsin Deficient Chronic Obstructive Pulmonary Disease and Emphysema Patients: Case Reports.","authors":"Matthew Gordon, Andrew J Gangemi, Eric L Sandwith, Maruti Kumaran, Friedrich Kueppers","doi":"10.2147/TACG.S491890","DOIUrl":null,"url":null,"abstract":"<p><p>Alpha 1 Antitrypsin Deficiency (AATD) is a genetic condition that results from mutations in the <i>SERPINA1</i> gene, which can lead to deficient or dysfunctional Alpha 1 Antitrypsin (AAT) protein production. AATD is linked to chronic obstructive pulmonary disease (COPD) and emphysema. In addition to pulmonary manifestations, AATD has also been associated with vascular pathology due to excessive protease activity, tissue degradation, and vessel stiffening. Early AATD diagnosis is crucial to prevent progressive lung damage and associated pathologies. Here, we present case reports of two patients with AATD from the Temple University Hospital Outpatient Clinic, who exhibited aneurysms of the aorta and splenic artery. AATD should be considered a genetic risk factor for aneurysms and vascular diseases, necessitating cardiovascular monitoring in affected individuals. This report emphasizes both the need for heightened awareness of AATD as a potential etiology of unexplained vascular aneurysms, as well as the need for screening for vascular pathology in patients with AATD-associated COPD and emphysema to facilitate early intervention and improve patient outcomes.</p>","PeriodicalId":39131,"journal":{"name":"Application of Clinical Genetics","volume":"18 ","pages":"1-7"},"PeriodicalIF":2.6000,"publicationDate":"2025-01-28","publicationTypes":"Journal Article","fieldsOfStudy":null,"isOpenAccess":false,"openAccessPdf":"https://www.ncbi.nlm.nih.gov/pmc/articles/PMC11788590/pdf/","citationCount":"0","resultStr":null,"platform":"Semanticscholar","paperid":null,"PeriodicalName":"Application of Clinical Genetics","FirstCategoryId":"1085","ListUrlMain":"https://doi.org/10.2147/TACG.S491890","RegionNum":0,"RegionCategory":null,"ArticlePicture":[],"TitleCN":null,"AbstractTextCN":null,"PMCID":null,"EPubDate":"2025/1/1 0:00:00","PubModel":"eCollection","JCR":"Q2","JCRName":"GENETICS & HEREDITY","Score":null,"Total":0}
引用次数: 0

Abstract

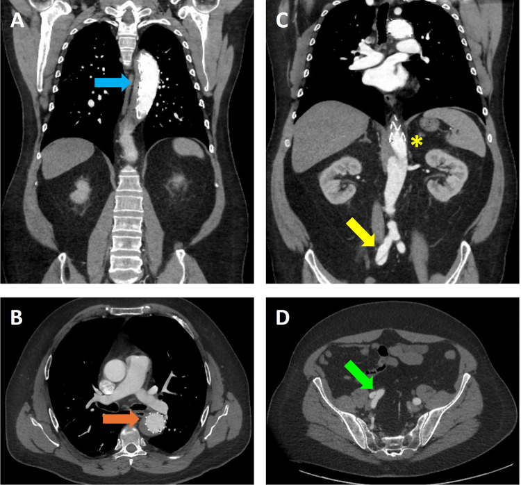
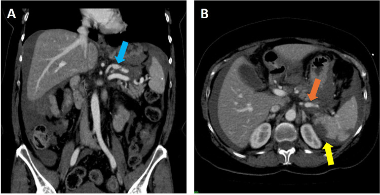
Alpha 1 Antitrypsin Deficiency (AATD) is a genetic condition that results from mutations in the SERPINA1 gene, which can lead to deficient or dysfunctional Alpha 1 Antitrypsin (AAT) protein production. AATD is linked to chronic obstructive pulmonary disease (COPD) and emphysema. In addition to pulmonary manifestations, AATD has also been associated with vascular pathology due to excessive protease activity, tissue degradation, and vessel stiffening. Early AATD diagnosis is crucial to prevent progressive lung damage and associated pathologies. Here, we present case reports of two patients with AATD from the Temple University Hospital Outpatient Clinic, who exhibited aneurysms of the aorta and splenic artery. AATD should be considered a genetic risk factor for aneurysms and vascular diseases, necessitating cardiovascular monitoring in affected individuals. This report emphasizes both the need for heightened awareness of AATD as a potential etiology of unexplained vascular aneurysms, as well as the need for screening for vascular pathology in patients with AATD-associated COPD and emphysema to facilitate early intervention and improve patient outcomes.

Abstract Image

Abstract Image

α 1抗胰蛋白酶缺乏慢性阻塞性肺疾病和肺气肿患者的血管病理学:病例报告
α 1抗胰蛋白酶缺乏症(AATD)是一种由SERPINA1基因突变引起的遗传病,可导致α 1抗胰蛋白酶(AAT)蛋白产生缺陷或功能失调。AATD与慢性阻塞性肺疾病(COPD)和肺气肿有关。除了肺部表现外,AATD还与血管病理有关,原因是蛋白酶活性过高、组织降解和血管硬化。早期诊断AATD对于预防进行性肺损伤和相关病理至关重要。在这里,我们报告两例来自天普大学医院门诊的AATD患者,他们表现出主动脉和脾动脉动脉瘤。AATD应被视为动脉瘤和血管疾病的遗传危险因素,有必要对受影响个体进行心血管监测。本报告强调需要提高对AATD作为不明原因血管性动脉瘤潜在病因的认识,同时需要对AATD相关COPD和肺气肿患者进行血管病理学筛查,以促进早期干预和改善患者预后。
本文章由计算机程序翻译,如有差异,请以英文原文为准。
求助全文
约1分钟内获得全文 求助全文
来源期刊
Application of Clinical Genetics
Application of Clinical Genetics Biochemistry, Genetics and Molecular Biology-Genetics
CiteScore
5.40
自引率
0.00%
发文量
20
审稿时长
16 weeks
×
引用
GB/T 7714-2015
复制
MLA
复制
APA
复制
导出至
BibTeX EndNote RefMan NoteFirst NoteExpress
×
提示
您的信息不完整,为了账户安全,请先补充。
现在去补充
×
提示
您因"违规操作"
具体请查看互助需知
我知道了
×
提示
确定
请完成安全验证×
copy
已复制链接
快去分享给好友吧!
我知道了
右上角分享
点击右上角分享
0
联系我们:info@booksci.cn Book学术提供免费学术资源搜索服务,方便国内外学者检索中英文文献。致力于提供最便捷和优质的服务体验。 Copyright © 2023 布克学术 All rights reserved.
京ICP备2023020795号-1
ghs 京公网安备 11010802042870号
Book学术文献互助
Book学术文献互助群
群 号:604180095
Book学术官方微信