Primary adenocarcinoma of duodenal bulb mimicking a pancreatic tumor: a case report.

IF 2.1 Q3 MEDICINE, RESEARCH & EXPERIMENTAL
Future Science OA Pub Date : 2025-12-01 Epub Date: 2025-02-04 DOI:10.1080/20565623.2025.2456651
Eya Slama, S Ben Hamida, S Zaouga, H Elloumi, I Cheikh, A G Dahak, M Missaoui, A Chelibi, I Ganzoui
{"title":"Primary adenocarcinoma of duodenal bulb mimicking a pancreatic tumor: a case report.","authors":"Eya Slama, S Ben Hamida, S Zaouga, H Elloumi, I Cheikh, A G Dahak, M Missaoui, A Chelibi, I Ganzoui","doi":"10.1080/20565623.2025.2456651","DOIUrl":null,"url":null,"abstract":"<p><p>Duodenal bulb adenocarcinoma is a rare malignancy of the gastrointestinal tract. This cancer often presents with an insidious onset, making it challenging to diagnose early. A noteworthy case-study involved a 56 year-old-woman complaining from epigastric transfixing pain, jaundice, and overall health decline. The initial diagnosis suspected was a pancreatic tumor. An abdominal CT scan however showed no abnormality in the pancreas but revealed on the other hand an irregular, non-stenosing, heterogeneous fibrous thickening of the lower aspect of the duodenal bulb. An EGD showed a congested infiltrated area in the post-bulbar region, and Pathological exam confirmed the diagnosis of a primary adenocarcinoma of the duodenal bulb. The purpose of this article is to present the case of a primary adenocarcinoma of duodenal bulb mimicking a pancreatic tumor: a rare presentation of a rare tumor itself and to present points differentiating these two neoplasms. Diagnosis relies on a comprehensive assessment involving clinical, radiological, endoscopic, and histologic features. Integration of advanced imaging modalities, such as CT/MRI, coupled with upper gastrointestinal endoscopy, is crucial for accurate evaluation.</p>","PeriodicalId":12568,"journal":{"name":"Future Science OA","volume":"11 1","pages":"2456651"},"PeriodicalIF":2.1000,"publicationDate":"2025-12-01","publicationTypes":"Journal Article","fieldsOfStudy":null,"isOpenAccess":false,"openAccessPdf":"https://www.ncbi.nlm.nih.gov/pmc/articles/PMC11801341/pdf/","citationCount":"0","resultStr":null,"platform":"Semanticscholar","paperid":null,"PeriodicalName":"Future Science OA","FirstCategoryId":"1085","ListUrlMain":"https://doi.org/10.1080/20565623.2025.2456651","RegionNum":0,"RegionCategory":null,"ArticlePicture":[],"TitleCN":null,"AbstractTextCN":null,"PMCID":null,"EPubDate":"2025/2/4 0:00:00","PubModel":"Epub","JCR":"Q3","JCRName":"MEDICINE, RESEARCH & EXPERIMENTAL","Score":null,"Total":0}
引用次数: 0

Abstract

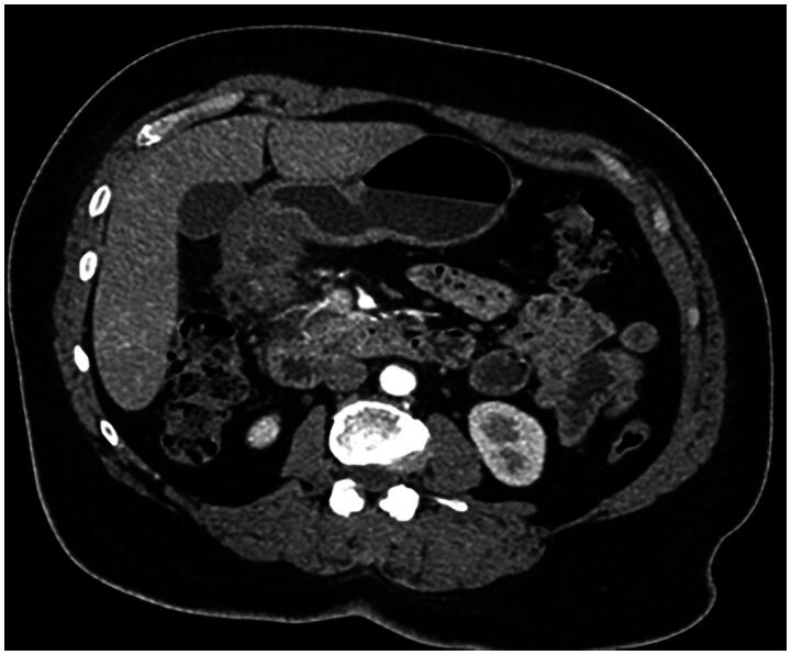
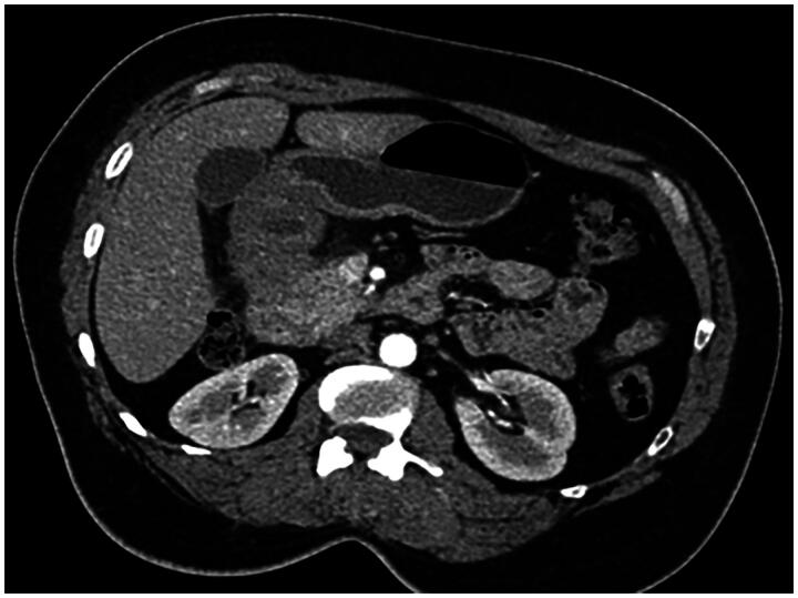
Duodenal bulb adenocarcinoma is a rare malignancy of the gastrointestinal tract. This cancer often presents with an insidious onset, making it challenging to diagnose early. A noteworthy case-study involved a 56 year-old-woman complaining from epigastric transfixing pain, jaundice, and overall health decline. The initial diagnosis suspected was a pancreatic tumor. An abdominal CT scan however showed no abnormality in the pancreas but revealed on the other hand an irregular, non-stenosing, heterogeneous fibrous thickening of the lower aspect of the duodenal bulb. An EGD showed a congested infiltrated area in the post-bulbar region, and Pathological exam confirmed the diagnosis of a primary adenocarcinoma of the duodenal bulb. The purpose of this article is to present the case of a primary adenocarcinoma of duodenal bulb mimicking a pancreatic tumor: a rare presentation of a rare tumor itself and to present points differentiating these two neoplasms. Diagnosis relies on a comprehensive assessment involving clinical, radiological, endoscopic, and histologic features. Integration of advanced imaging modalities, such as CT/MRI, coupled with upper gastrointestinal endoscopy, is crucial for accurate evaluation.

Abstract Image

Abstract Image

Abstract Image

模拟胰腺肿瘤的原发性十二指肠球腺癌1例报告。
十二指肠球状腺癌是一种罕见的胃肠道恶性肿瘤。这种癌症通常表现为潜伏的发病,使得早期诊断具有挑战性。一个值得注意的病例研究涉及一名56岁妇女,主诉上腹部刺痛、黄疸和整体健康状况下降。最初的诊断怀疑是胰腺肿瘤。腹部CT扫描显示胰腺未见异常,但另一方面显示十二指肠球下部不规则、非狭窄、非均匀纤维增厚。EGD显示球后区浸润充血,病理检查证实原发性十二指肠球腺癌的诊断。本文的目的是提出原发性十二指肠球腺癌模拟胰腺肿瘤的病例:一种罕见的肿瘤本身的罕见表现,并提出区分这两种肿瘤的要点。诊断依赖于包括临床、放射、内窥镜和组织学特征的综合评估。整合先进的成像方式,如CT/MRI,加上上消化道内窥镜,是准确评估的关键。
本文章由计算机程序翻译,如有差异,请以英文原文为准。
求助全文
约1分钟内获得全文 求助全文
来源期刊
Future Science OA
Future Science OA MEDICINE, RESEARCH & EXPERIMENTAL-
CiteScore
5.00
自引率
4.00%
发文量
48
审稿时长
13 weeks
期刊介绍: Future Science OA is an online, open access, peer-reviewed title from the Future Science Group. The journal covers research and discussion related to advances in biotechnology, medicine and health. The journal embraces the importance of publishing all good-quality research with the potential to further the progress of research in these fields. All original research articles will be considered that are within the journal''s scope, and have been conducted with scientific rigour and research integrity. The journal also features review articles, editorials and perspectives, providing readers with a leading source of commentary and analysis. Submissions of the following article types will be considered: -Research articles -Preliminary communications -Short communications -Methodologies -Trial design articles -Trial results (including early-phase and negative studies) -Reviews -Perspectives -Commentaries
×
引用
GB/T 7714-2015
复制
MLA
复制
APA
复制
导出至
BibTeX EndNote RefMan NoteFirst NoteExpress
×
提示
您的信息不完整,为了账户安全,请先补充。
现在去补充
×
提示
您因"违规操作"
具体请查看互助需知
我知道了
×
提示
确定
请完成安全验证×
copy
已复制链接
快去分享给好友吧!
我知道了
右上角分享
点击右上角分享
0
联系我们:info@booksci.cn Book学术提供免费学术资源搜索服务,方便国内外学者检索中英文文献。致力于提供最便捷和优质的服务体验。 Copyright © 2023 布克学术 All rights reserved.
京ICP备2023020795号-1
ghs 京公网安备 11010802042870号
Book学术文献互助
Book学术文献互助群
群 号:604180095
Book学术官方微信