Link between bilaterality and type 2 inflammation in respiratory epithelial adenomatoid hamartomas: A two-center retrospective cohort study.

IF 2.6 3区 综合性期刊 Q1 MULTIDISCIPLINARY SCIENCES
PLoS ONE Pub Date : 2025-02-03 eCollection Date: 2025-01-01 DOI:10.1371/journal.pone.0318452
Yujin Heo, Sang Duk Hong, Hyo Yeol Kim, Gwanghui Ryu, Kyung Won Kwon, Yong Gi Jung
{"title":"Link between bilaterality and type 2 inflammation in respiratory epithelial adenomatoid hamartomas: A two-center retrospective cohort study.","authors":"Yujin Heo, Sang Duk Hong, Hyo Yeol Kim, Gwanghui Ryu, Kyung Won Kwon, Yong Gi Jung","doi":"10.1371/journal.pone.0318452","DOIUrl":null,"url":null,"abstract":"<p><strong>Background: </strong>Sinonasal respiratory epithelial adenomatoid hamartomas (REAH) are rare benign lesions with diverse clinical characteristics. Their pathogenesis remains unclear, with hypotheses suggesting either an inflammatory process or neoplastic origin. Despite their clinical heterogeneity, a formal subtype classification is lacking. This study analyzes the clinical features of surgically treated sinonasal REAH and investigates disease characteristics based on bilaterality, particularly in relation to type 2 chronic rhinosinusitis.</p><p><strong>Methods: </strong>This retrospective analysis included patients with REAH who underwent endoscopic surgery and received pathological confirmation between November 2008 and November 2023. Demographic data, including asthma history, prior sinus surgeries, serum eosinophil levels, and the Japanese Epidemiological Survey of Refractory Eosinophilic Chronic Rhinosinusitis (JESREC) score, were analyzed in relation to REAH bilaterality.</p><p><strong>Results: </strong>Among 21 patients (17 males, 4 females; mean age 46.5 years), 11 cases (52.4%) exhibited bilateral origins (REAH_bi) in the superior nasal septum and olfactory cleft, while 10 cases (47.6%) presented as isolated unilateral lesions (REAH_uni). REAH_bi was significantly associated with asthma (p = 0.012), prior sinus surgery (p = 0.002), and inflammatory polyposis (p = 0.002) compared to REAH_uni. Elevated preoperative serum eosinophil levels and JESREC scores were also noted in REAH_bi cases (p = 0.021 and <0.001, respectively). Neither group showed recurrence during a mean follow-up of 11.91 months.</p><p><strong>Conclusion: </strong>Bilaterally originating REAH in the superior nasal septum and olfactory cleft demonstrates pronounced type 2 inflammatory characteristics, suggesting potential differences in pathogenesis compared to unilateral REAH. These findings underscore the need for further investigation into REAH pathophysiology and emphasize the importance of bilaterality in clinical assessment.</p>","PeriodicalId":20189,"journal":{"name":"PLoS ONE","volume":"20 2","pages":"e0318452"},"PeriodicalIF":2.6000,"publicationDate":"2025-02-03","publicationTypes":"Journal Article","fieldsOfStudy":null,"isOpenAccess":false,"openAccessPdf":"https://www.ncbi.nlm.nih.gov/pmc/articles/PMC11790172/pdf/","citationCount":"0","resultStr":null,"platform":"Semanticscholar","paperid":null,"PeriodicalName":"PLoS ONE","FirstCategoryId":"103","ListUrlMain":"https://doi.org/10.1371/journal.pone.0318452","RegionNum":3,"RegionCategory":"综合性期刊","ArticlePicture":[],"TitleCN":null,"AbstractTextCN":null,"PMCID":null,"EPubDate":"2025/1/1 0:00:00","PubModel":"eCollection","JCR":"Q1","JCRName":"MULTIDISCIPLINARY SCIENCES","Score":null,"Total":0}
引用次数: 0

Abstract

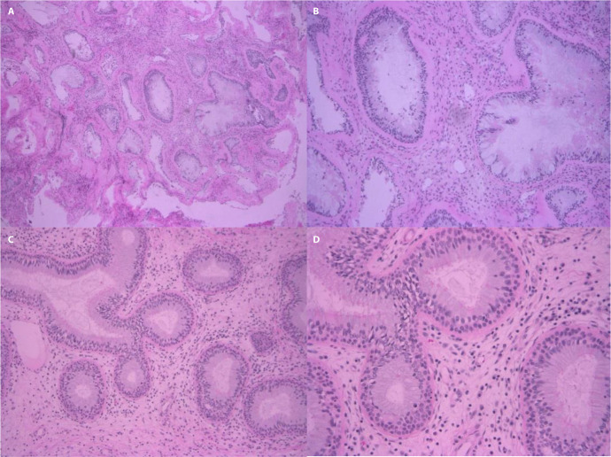
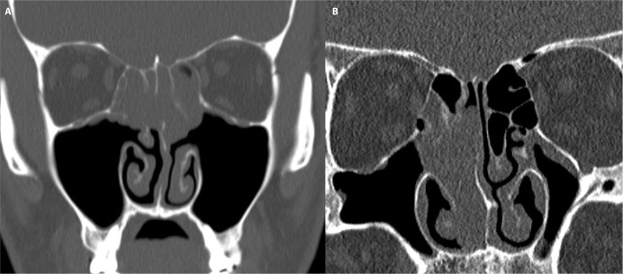
Background: Sinonasal respiratory epithelial adenomatoid hamartomas (REAH) are rare benign lesions with diverse clinical characteristics. Their pathogenesis remains unclear, with hypotheses suggesting either an inflammatory process or neoplastic origin. Despite their clinical heterogeneity, a formal subtype classification is lacking. This study analyzes the clinical features of surgically treated sinonasal REAH and investigates disease characteristics based on bilaterality, particularly in relation to type 2 chronic rhinosinusitis.

Methods: This retrospective analysis included patients with REAH who underwent endoscopic surgery and received pathological confirmation between November 2008 and November 2023. Demographic data, including asthma history, prior sinus surgeries, serum eosinophil levels, and the Japanese Epidemiological Survey of Refractory Eosinophilic Chronic Rhinosinusitis (JESREC) score, were analyzed in relation to REAH bilaterality.

Results: Among 21 patients (17 males, 4 females; mean age 46.5 years), 11 cases (52.4%) exhibited bilateral origins (REAH_bi) in the superior nasal septum and olfactory cleft, while 10 cases (47.6%) presented as isolated unilateral lesions (REAH_uni). REAH_bi was significantly associated with asthma (p = 0.012), prior sinus surgery (p = 0.002), and inflammatory polyposis (p = 0.002) compared to REAH_uni. Elevated preoperative serum eosinophil levels and JESREC scores were also noted in REAH_bi cases (p = 0.021 and <0.001, respectively). Neither group showed recurrence during a mean follow-up of 11.91 months.

Conclusion: Bilaterally originating REAH in the superior nasal septum and olfactory cleft demonstrates pronounced type 2 inflammatory characteristics, suggesting potential differences in pathogenesis compared to unilateral REAH. These findings underscore the need for further investigation into REAH pathophysiology and emphasize the importance of bilaterality in clinical assessment.

Abstract Image

Abstract Image

Abstract Image

双侧双侧与呼吸上皮腺瘤样错构瘤2型炎症的关系:一项双中心回顾性队列研究
背景:鼻呼吸道上皮腺瘤样错构瘤(REAH)是一种罕见的良性病变,具有多种临床特征。其发病机制尚不清楚,假设是炎症过程或肿瘤起源。尽管其临床异质性,缺乏正式的亚型分类。本研究分析了手术治疗的鼻窦性REAH的临床特征,并研究了基于双侧的疾病特征,特别是与2型慢性鼻窦炎的关系。方法:回顾性分析2008年11月至2023年11月期间接受内窥镜手术并接受病理证实的REAH患者。统计数据,包括哮喘史、既往鼻窦手术、血清嗜酸性粒细胞水平和日本难治性嗜酸性慢性鼻窦炎流行病学调查(JESREC)评分,分析与REAH双侧性的关系。结果:21例患者中男性17例,女性4例;平均年龄46.5岁),11例(52.4%)表现为双侧起源(REAH_bi)上鼻中隔和嗅裂,10例(47.6%)表现为孤立的单侧病变(REAH_uni)。与REAH_uni相比,REAH_bi与哮喘(p = 0.012)、既往鼻窦手术(p = 0.002)和炎性息肉病(p = 0.002)显著相关。REAH_bi患者术前血清嗜酸性粒细胞水平和JESREC评分升高(p = 0.021)。结论:双侧发源于上鼻中隔和嗅裂的REAH表现出明显的2型炎症特征,提示与单侧REAH相比,发病机制可能存在差异。这些发现强调了进一步研究REAH病理生理学的必要性,并强调了临床评估中双侧性的重要性。
本文章由计算机程序翻译,如有差异,请以英文原文为准。
求助全文
约1分钟内获得全文 求助全文
来源期刊
PLoS ONE
PLoS ONE 生物-生物学
CiteScore
6.20
自引率
5.40%
发文量
14242
审稿时长
3.7 months
期刊介绍: PLOS ONE is an international, peer-reviewed, open-access, online publication. PLOS ONE welcomes reports on primary research from any scientific discipline. It provides: * Open-access—freely accessible online, authors retain copyright * Fast publication times * Peer review by expert, practicing researchers * Post-publication tools to indicate quality and impact * Community-based dialogue on articles * Worldwide media coverage
×
引用
GB/T 7714-2015
复制
MLA
复制
APA
复制
导出至
BibTeX EndNote RefMan NoteFirst NoteExpress
×
提示
您的信息不完整,为了账户安全,请先补充。
现在去补充
×
提示
您因"违规操作"
具体请查看互助需知
我知道了
×
提示
确定
请完成安全验证×
copy
已复制链接
快去分享给好友吧!
我知道了
右上角分享
点击右上角分享
0
联系我们:info@booksci.cn Book学术提供免费学术资源搜索服务,方便国内外学者检索中英文文献。致力于提供最便捷和优质的服务体验。 Copyright © 2023 布克学术 All rights reserved.
京ICP备2023020795号-1
ghs 京公网安备 11010802042870号
Book学术文献互助
Book学术文献互助群
群 号:604180095
Book学术官方微信