The role of BRAF testing of Rathke's cleft cysts to identify missed papillary craniopharyngioma.

IF 3.4 2区 医学 Q2 ENDOCRINOLOGY & METABOLISM
Nicholas G Candy, E Mignone, E Quick, B Koszyca, A Brown, I M Chapman, D J Torpy, N Vrodos, S Santoreneos, S M C De Sousa
{"title":"The role of BRAF testing of Rathke's cleft cysts to identify missed papillary craniopharyngioma.","authors":"Nicholas G Candy, E Mignone, E Quick, B Koszyca, A Brown, I M Chapman, D J Torpy, N Vrodos, S Santoreneos, S M C De Sousa","doi":"10.1007/s11102-025-01501-8","DOIUrl":null,"url":null,"abstract":"<p><strong>Aim: </strong>The differential diagnosis of cystic sellar/suprasellar lesions includes craniopharyngioma (CP) and Rathke's cleft cyst (RCC). Histological differentiation between cystic papillary craniopharyngioma (pCP) and RCC using light microscopy alone is challenging. A major point of difference is that virtually all pCPs are clonal for the BRAF V600E variant, whereas RCCs are not. Noting that BRAF testing of RCCs is not current standard practice, we hypothesised that routinely performing BRAF studies in RCCs might uncover otherwise missed pCPs.</p><p><strong>Method: </strong>We performed a retrospective cohort study of all RCCs operated on at Flinders Medical Centre, the Memorial and Royal Adelaide Hospitals, between 2001 and 2023. In cases with sufficient tissue, we performed BRAF V600E immunohistochemistry (IHC) and BRAF next generation sequencing (NGS) of extracted tumour DNA.</p><p><strong>Results: </strong>Of eleven patients with suitable operative specimens, one patient with an initial diagnosis of RCC was revised to pCP following BRAF testing with equivocal positivity on BRAF IHC and clear identification of the V600E variant on NGS. The patient's subsequent clinical course was aggressive and more compatible with pCP than RCC.</p><p><strong>Conclusion: </strong>This study highlights the potential value of BRAF testing in RCCs to identify missed pCP, which is an especially timely finding given the advent of primary medical therapy with BRAF inhibition for pCP. In the absence of guidelines advising on the use of BRAF studies in sellar lesions, we suggest consideration of BRAF testing of all RCCs, particularly if there is squamous metaplasia or disease recurrence.</p>","PeriodicalId":20202,"journal":{"name":"Pituitary","volume":"28 1","pages":"30"},"PeriodicalIF":3.4000,"publicationDate":"2025-02-03","publicationTypes":"Journal Article","fieldsOfStudy":null,"isOpenAccess":false,"openAccessPdf":"https://www.ncbi.nlm.nih.gov/pmc/articles/PMC11790742/pdf/","citationCount":"0","resultStr":null,"platform":"Semanticscholar","paperid":null,"PeriodicalName":"Pituitary","FirstCategoryId":"3","ListUrlMain":"https://doi.org/10.1007/s11102-025-01501-8","RegionNum":2,"RegionCategory":"医学","ArticlePicture":[],"TitleCN":null,"AbstractTextCN":null,"PMCID":null,"EPubDate":"","PubModel":"","JCR":"Q2","JCRName":"ENDOCRINOLOGY & METABOLISM","Score":null,"Total":0}
引用次数: 0

Abstract

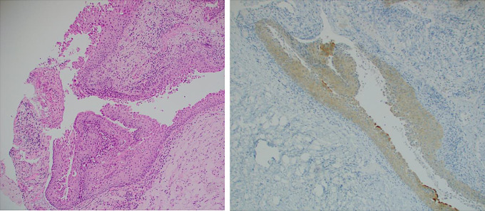
Aim: The differential diagnosis of cystic sellar/suprasellar lesions includes craniopharyngioma (CP) and Rathke's cleft cyst (RCC). Histological differentiation between cystic papillary craniopharyngioma (pCP) and RCC using light microscopy alone is challenging. A major point of difference is that virtually all pCPs are clonal for the BRAF V600E variant, whereas RCCs are not. Noting that BRAF testing of RCCs is not current standard practice, we hypothesised that routinely performing BRAF studies in RCCs might uncover otherwise missed pCPs.

Method: We performed a retrospective cohort study of all RCCs operated on at Flinders Medical Centre, the Memorial and Royal Adelaide Hospitals, between 2001 and 2023. In cases with sufficient tissue, we performed BRAF V600E immunohistochemistry (IHC) and BRAF next generation sequencing (NGS) of extracted tumour DNA.

Results: Of eleven patients with suitable operative specimens, one patient with an initial diagnosis of RCC was revised to pCP following BRAF testing with equivocal positivity on BRAF IHC and clear identification of the V600E variant on NGS. The patient's subsequent clinical course was aggressive and more compatible with pCP than RCC.

Conclusion: This study highlights the potential value of BRAF testing in RCCs to identify missed pCP, which is an especially timely finding given the advent of primary medical therapy with BRAF inhibition for pCP. In the absence of guidelines advising on the use of BRAF studies in sellar lesions, we suggest consideration of BRAF testing of all RCCs, particularly if there is squamous metaplasia or disease recurrence.

Abstract Image

Abstract Image

Rathke裂隙囊肿BRAF检测在鉴别漏诊乳头状颅咽管瘤中的作用。
目的:鞍囊/鞍上囊性病变的鉴别诊断包括颅咽管瘤(CP)和Rathke's裂囊肿(RCC)。单用光镜对囊性乳头状颅咽管瘤和RCC进行组织学鉴别是具有挑战性的。一个主要的区别是,几乎所有的pcp都是BRAF V600E变体的克隆,而rcc则不是。注意到rcc的BRAF检测不是目前的标准做法,我们假设在rcc中常规进行BRAF研究可能会发现其他遗漏的pcp。方法:我们对2001年至2023年间在弗林德斯医疗中心、纪念医院和阿德莱德皇家医院手术的所有rcc进行了回顾性队列研究。在有足够组织的病例中,我们对提取的肿瘤DNA进行BRAF V600E免疫组化(IHC)和BRAF下一代测序(NGS)。结果:在11例具有合适手术标本的患者中,1例最初诊断为RCC的患者在BRAF检测后被修改为pCP, BRAF IHC检测呈模棱两可阳性,NGS检测明确识别V600E变异。患者随后的临床病程具有侵袭性,且与pCP比RCC更相容。结论:本研究强调了BRAF检测在rcc中发现遗漏pCP的潜在价值,鉴于抑制BRAF治疗pCP的主要药物治疗的出现,这是一个特别及时的发现。在没有指南建议在鞍区病变中使用BRAF研究的情况下,我们建议考虑对所有rcc进行BRAF检测,特别是如果有鳞状化生或疾病复发。
本文章由计算机程序翻译,如有差异,请以英文原文为准。
求助全文
约1分钟内获得全文 求助全文
来源期刊
Pituitary
Pituitary 医学-内分泌学与代谢
CiteScore
7.10
自引率
7.90%
发文量
90
审稿时长
6 months
期刊介绍: Pituitary is an international publication devoted to basic and clinical aspects of the pituitary gland. It is designed to publish original, high quality research in both basic and pituitary function as well as clinical pituitary disease. The journal considers: Biology of Pituitary Tumors Mechanisms of Pituitary Hormone Secretion Regulation of Pituitary Function Prospective Clinical Studies of Pituitary Disease Critical Basic and Clinical Reviews Pituitary is directed at basic investigators, physiologists, clinical adult and pediatric endocrinologists, neurosurgeons and reproductive endocrinologists interested in the broad field of the pituitary and its disorders. The Editorial Board has been drawn from international experts in basic and clinical endocrinology. The journal offers a rapid turnaround time for review of manuscripts, and the high standard of the journal is maintained by a selective peer-review process which aims to publish only the highest quality manuscripts. Pituitary will foster the publication of creative scholarship as it pertains to the pituitary and will provide a forum for basic scientists and clinicians to publish their high quality pituitary-related work.
×
引用
GB/T 7714-2015
复制
MLA
复制
APA
复制
导出至
BibTeX EndNote RefMan NoteFirst NoteExpress
×
提示
您的信息不完整,为了账户安全,请先补充。
现在去补充
×
提示
您因"违规操作"
具体请查看互助需知
我知道了
×
提示
确定
请完成安全验证×
copy
已复制链接
快去分享给好友吧!
我知道了
右上角分享
点击右上角分享
0
联系我们:info@booksci.cn Book学术提供免费学术资源搜索服务,方便国内外学者检索中英文文献。致力于提供最便捷和优质的服务体验。 Copyright © 2023 布克学术 All rights reserved.
京ICP备2023020795号-1
ghs 京公网安备 11010802042870号
Book学术文献互助
Book学术文献互助群
群 号:604180095
Book学术官方微信