Hippocampal Functional Connectivity and Cognitive Stability in Parasellar Meningiomas (Studied by the "Virtually Implanted Electrode" Method).

Sovremennye tekhnologii v meditsine Pub Date : 2024-01-01 Epub Date: 2024-12-27 DOI:10.17691/stm2024.16.6.01
E M Savkina, A V Vartanov, M Yu Kaverina, A Yu Kuleva, M V Galkin, O A Krotkova
{"title":"Hippocampal Functional Connectivity and Cognitive Stability in Parasellar Meningiomas (Studied by the \"Virtually Implanted Electrode\" Method).","authors":"E M Savkina, A V Vartanov, M Yu Kaverina, A Yu Kuleva, M V Galkin, O A Krotkova","doi":"10.17691/stm2024.16.6.01","DOIUrl":null,"url":null,"abstract":"<p><p>Adaptive reactions of the brain ensure cognitive stability of the individual in a fairly wide range of pathological impacts, but the mechanisms for the implementation of such compensatory changes have been poorly studied. <b>The aim of the study</b> was to describe changes in the functional connections of the hippocampus subject to a mild unilateral compression in a sample of patients with parasellar meningiomas.</p><p><strong>Materials and methods: </strong>A homogeneous sample of 28 patients with parasellar meningiomas adjacent to the hippocampus has been studied. In 16 patients, the tumor was diagnosed on the left side, in 12 patients on the right side. These two groups were comparable in terms of tumor morphometric characteristics and the degree of hemispheric compression. The control group consisted of 31 healthy subjects. All three groups were comparable in age and gender. The \"Virtually Implanted Electrode\" method was used to describe changes in brain network connectivity. The method allows for the reconstruction of electrical activity in any brain voxel based on its coordinates relative to scalp electrodes. To describe the functional connectivity of the brain, correlation coefficients between all pairs of the selected areas of interest were sequentially calculated.</p><p><strong>Results: </strong>The comparison of functional connections of the hippocampus in clinical groups and in a group of healthy participants made it possible to identify the following types of dynamics. The first type involves strong and stable hippocampal connections that have not been affected by the pathological process. These are the connections of the hippocampus with the deep stem formations, amygdala, putamen, globus pallidus, and insula. The second type in the clinical groups is characterized by weakening of functional connections of the hippocampus with the structures that transform afferent information flows. Hypothetically, such a weakening could lead to a change in the thresholds of the hippocampal \"marking the degree of novelty\" of external information flows, being an important way to save individual's resources. The third type is characterized by enhanced functional connections of the hippocampus with the structures supporting executive functions in clinical groups, which is consistent with the facts of increased voluntariness in the implementation of cognitive actions. Compensatory processes of the brain are not symmetrical. The left and right hippocampi differentially alter functional connectivity under adverse conditions. Restructuring of the interhemispheric interaction may also be considered as a factor ensuring cognitive stability.</p><p><strong>Conclusion: </strong>Changes in the hippocampal functional connections, identified in the clinical groups by the \"Virtual Implanted Electrode\" method, can be considered as an adaptive brain reaction aimed at maintaining cognitive stability in parasellar meningiomas.</p>","PeriodicalId":520289,"journal":{"name":"Sovremennye tekhnologii v meditsine","volume":"16 6","pages":"5-15"},"PeriodicalIF":0.0000,"publicationDate":"2024-01-01","publicationTypes":"Journal Article","fieldsOfStudy":null,"isOpenAccess":false,"openAccessPdf":"https://www.ncbi.nlm.nih.gov/pmc/articles/PMC11780584/pdf/","citationCount":"0","resultStr":null,"platform":"Semanticscholar","paperid":null,"PeriodicalName":"Sovremennye tekhnologii v meditsine","FirstCategoryId":"1085","ListUrlMain":"https://doi.org/10.17691/stm2024.16.6.01","RegionNum":0,"RegionCategory":null,"ArticlePicture":[],"TitleCN":null,"AbstractTextCN":null,"PMCID":null,"EPubDate":"2024/12/27 0:00:00","PubModel":"Epub","JCR":"","JCRName":"","Score":null,"Total":0}
引用次数: 0

Abstract

Adaptive reactions of the brain ensure cognitive stability of the individual in a fairly wide range of pathological impacts, but the mechanisms for the implementation of such compensatory changes have been poorly studied. The aim of the study was to describe changes in the functional connections of the hippocampus subject to a mild unilateral compression in a sample of patients with parasellar meningiomas.

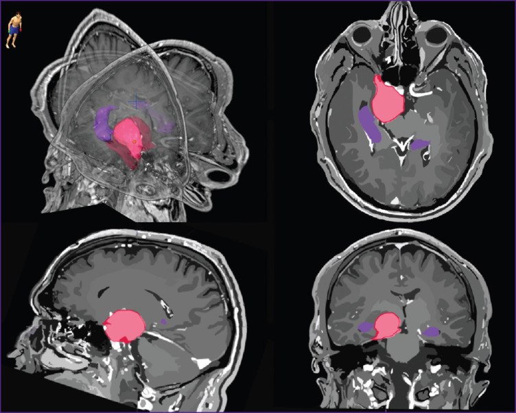
Materials and methods: A homogeneous sample of 28 patients with parasellar meningiomas adjacent to the hippocampus has been studied. In 16 patients, the tumor was diagnosed on the left side, in 12 patients on the right side. These two groups were comparable in terms of tumor morphometric characteristics and the degree of hemispheric compression. The control group consisted of 31 healthy subjects. All three groups were comparable in age and gender. The "Virtually Implanted Electrode" method was used to describe changes in brain network connectivity. The method allows for the reconstruction of electrical activity in any brain voxel based on its coordinates relative to scalp electrodes. To describe the functional connectivity of the brain, correlation coefficients between all pairs of the selected areas of interest were sequentially calculated.

Results: The comparison of functional connections of the hippocampus in clinical groups and in a group of healthy participants made it possible to identify the following types of dynamics. The first type involves strong and stable hippocampal connections that have not been affected by the pathological process. These are the connections of the hippocampus with the deep stem formations, amygdala, putamen, globus pallidus, and insula. The second type in the clinical groups is characterized by weakening of functional connections of the hippocampus with the structures that transform afferent information flows. Hypothetically, such a weakening could lead to a change in the thresholds of the hippocampal "marking the degree of novelty" of external information flows, being an important way to save individual's resources. The third type is characterized by enhanced functional connections of the hippocampus with the structures supporting executive functions in clinical groups, which is consistent with the facts of increased voluntariness in the implementation of cognitive actions. Compensatory processes of the brain are not symmetrical. The left and right hippocampi differentially alter functional connectivity under adverse conditions. Restructuring of the interhemispheric interaction may also be considered as a factor ensuring cognitive stability.

Conclusion: Changes in the hippocampal functional connections, identified in the clinical groups by the "Virtual Implanted Electrode" method, can be considered as an adaptive brain reaction aimed at maintaining cognitive stability in parasellar meningiomas.

Abstract Image

Abstract Image

鞍旁脑膜瘤海马功能连通性和认知稳定性(通过“虚拟植入电极”方法研究)。
大脑的适应性反应在相当广泛的病理影响中确保个体的认知稳定性,但对这种代偿性变化的实现机制研究甚少。该研究的目的是描述海马的功能连接的变化受到轻度单侧压迫的样本患者鞍旁脑膜瘤。材料和方法:对28例海马旁鞍旁脑膜瘤患者进行了研究。16例患者被诊断为左侧肿瘤,12例被诊断为右侧肿瘤。这两组在肿瘤形态特征和半球压迫程度方面具有可比性。对照组为31名健康受试者。这三组在年龄和性别上具有可比性。“虚拟植入电极”方法被用来描述大脑网络连接的变化。该方法允许基于相对于头皮电极的坐标重建任何脑体素的电活动。为了描述大脑的功能连通性,依次计算了所有对选定的感兴趣区域之间的相关系数。结果:比较临床组和健康组海马的功能连接,可以确定以下类型的动态。第一种类型涉及未受病理过程影响的强大而稳定的海马连接。这些是海马体与深干结构、杏仁核、壳核、苍白球和脑岛的连接。临床组的第二种类型的特点是海马体与转换传入信息流的结构的功能连接减弱。假设,这种减弱可能导致海马体“标记外部信息流的新奇程度”的阈值发生变化,这是节省个人资源的重要途径。第三种类型的特点是,临床组海马与支持执行功能的结构之间的功能连接增强,这与认知行为实施中自愿性增强的事实是一致的。大脑的代偿过程是不对称的。在不利条件下,左右海马体不同程度地改变了功能连接。大脑半球间相互作用的重组也被认为是确保认知稳定性的一个因素。结论:通过“虚拟植入电极”方法在临床组中发现的海马功能连接的变化可以认为是一种旨在维持鞍旁脑膜瘤认知稳定性的适应性脑反应。
本文章由计算机程序翻译,如有差异,请以英文原文为准。
求助全文
约1分钟内获得全文 求助全文
来源期刊
自引率
0.00%
发文量
0
×
引用
GB/T 7714-2015
复制
MLA
复制
APA
复制
导出至
BibTeX EndNote RefMan NoteFirst NoteExpress
×
提示
您的信息不完整,为了账户安全,请先补充。
现在去补充
×
提示
您因"违规操作"
具体请查看互助需知
我知道了
×
提示
确定
请完成安全验证×
copy
已复制链接
快去分享给好友吧!
我知道了
右上角分享
点击右上角分享
0
联系我们:info@booksci.cn Book学术提供免费学术资源搜索服务,方便国内外学者检索中英文文献。致力于提供最便捷和优质的服务体验。 Copyright © 2023 布克学术 All rights reserved.
京ICP备2023020795号-1
ghs 京公网安备 11010802042870号
Book学术文献互助
Book学术文献互助群
群 号:604180095
Book学术官方微信