EUS Guided Enterocolostomy for the Palliation of Malignant Small Bowel Obstruction From a Cecal Adenocarcinoma

Brandon Rodgers, Abraham Mathew, Hadie Razjouyan
{"title":"EUS Guided Enterocolostomy for the Palliation of Malignant Small Bowel Obstruction From a Cecal Adenocarcinoma","authors":"Brandon Rodgers,&nbsp;Abraham Mathew,&nbsp;Hadie Razjouyan","doi":"10.1016/j.gastha.2024.10.016","DOIUrl":null,"url":null,"abstract":"<div><div>Malignant bowel obstruction is a challenging complication in advanced gastrointestinal malignancies with varying treatment strategies including medical, surgical and endoscopic therapies, each with their own limitations. Endoscopic ultrasound–guided enterocolostomy has been previously reported as an option for patients who are not surgical candidates or ideal candidates for enteral stenting. In this case, endoscopic ultrasound–guided enterocolostomy is used for the palliation in a patient with a completely obstructing large cecal adenocarcinoma who declined surgical intervention.</div></div>","PeriodicalId":73130,"journal":{"name":"Gastro hep advances","volume":"4 3","pages":"Article 100576"},"PeriodicalIF":0.0000,"publicationDate":"2025-01-01","publicationTypes":"Journal Article","fieldsOfStudy":null,"isOpenAccess":false,"openAccessPdf":"https://www.ncbi.nlm.nih.gov/pmc/articles/PMC11786829/pdf/","citationCount":"0","resultStr":null,"platform":"Semanticscholar","paperid":null,"PeriodicalName":"Gastro hep advances","FirstCategoryId":"1085","ListUrlMain":"https://www.sciencedirect.com/science/article/pii/S2772572324001717","RegionNum":0,"RegionCategory":null,"ArticlePicture":[],"TitleCN":null,"AbstractTextCN":null,"PMCID":null,"EPubDate":"","PubModel":"","JCR":"","JCRName":"","Score":null,"Total":0}
引用次数: 0

Abstract

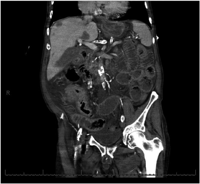
Malignant bowel obstruction is a challenging complication in advanced gastrointestinal malignancies with varying treatment strategies including medical, surgical and endoscopic therapies, each with their own limitations. Endoscopic ultrasound–guided enterocolostomy has been previously reported as an option for patients who are not surgical candidates or ideal candidates for enteral stenting. In this case, endoscopic ultrasound–guided enterocolostomy is used for the palliation in a patient with a completely obstructing large cecal adenocarcinoma who declined surgical intervention.

Abstract Image

Abstract Image

Abstract Image

EUS引导下的小肠造口术治疗盲肠腺癌引起的恶性小肠梗阻。
恶性肠梗阻是晚期胃肠道恶性肿瘤的一种具有挑战性的并发症,其治疗策略多种多样,包括内科、外科和内镜治疗,每种治疗方法都有其局限性。超声内镜引导下的肠结肠造口术曾被报道为不适合手术或不适合肠内支架植入术的患者的一种选择。在本病例中,内镜下超声引导下的肠结肠造口术用于缓解完全阻塞的大盲肠腺癌患者,该患者拒绝手术干预。
本文章由计算机程序翻译,如有差异,请以英文原文为准。
求助全文
约1分钟内获得全文 求助全文
来源期刊
Gastro hep advances
Gastro hep advances Gastroenterology
CiteScore
0.80
自引率
0.00%
发文量
0
审稿时长
64 days
×
引用
GB/T 7714-2015
复制
MLA
复制
APA
复制
导出至
BibTeX EndNote RefMan NoteFirst NoteExpress
×
提示
您的信息不完整,为了账户安全,请先补充。
现在去补充
×
提示
您因"违规操作"
具体请查看互助需知
我知道了
×
提示
确定
请完成安全验证×
copy
已复制链接
快去分享给好友吧!
我知道了
右上角分享
点击右上角分享
0
联系我们:info@booksci.cn Book学术提供免费学术资源搜索服务,方便国内外学者检索中英文文献。致力于提供最便捷和优质的服务体验。 Copyright © 2023 布克学术 All rights reserved.
京ICP备2023020795号-1
ghs 京公网安备 11010802042870号
Book学术文献互助
Book学术文献互助群
群 号:604180095
Book学术官方微信