Identifying Hereditary Leiomyomatosis and Renal Cell Cancer through Unobtrusive Cutaneous Nodules: A Clinical Report.

IF 1.9 Q3 ONCOLOGY
Journal of Kidney Cancer and VHL Pub Date : 2025-01-27 eCollection Date: 2025-01-01 DOI:10.15586/jkc.v12i1.374
Emilija Šeštokaitė, Eglė Preikšaitienė, Justas Arasimavičius
{"title":"Identifying Hereditary Leiomyomatosis and Renal Cell Cancer through Unobtrusive Cutaneous Nodules: A Clinical Report.","authors":"Emilija Šeštokaitė, Eglė Preikšaitienė, Justas Arasimavičius","doi":"10.15586/jkc.v12i1.374","DOIUrl":null,"url":null,"abstract":"<p><p>Cutaneous leiomyomas (CLMs) are associated with Hereditary Leiomyomatosis and Renal Cell Cancer (HLRCC) syndrome (Mendelian Inheritance in Man [MIM]: 150800)-a rare genodermatosis caused by a heterozygous pathogenic variant in the fumarate hydratase (<i>FH</i>) gene. It is characterized by a predisposition to develop cutaneous and/or uterine leiomyomas and an aggressive type of renal cell carcinoma (RCC). We describe a 27-year-old male who presented with a painful nodule on the left upper arm persisting for 5 years and the subsequent emergence of painless nodules in various parts of the body over the past two years. A family history of RCC prompted suspicion of the HLRCC syndrome. Cutaneous examination revealed erythematous subcutaneous nodules, with histological analysis confirming CLM. Genetic testing identified a pathogenic variant in the <i>FH</i> gene, confirming the diagnosis of HLRCC. Management involved surgical excision of the symptomatic nodules and genetic counselling/testing for the proband and his family members. The long-term follow-up plan includes dermatological and nephrological surveillance with annual renal magnetic resonance imaging (MRI) scans. This report aims to enhance the awareness of this disease and highlight the role of cutaneous lesions in facilitating early detection.</p>","PeriodicalId":44291,"journal":{"name":"Journal of Kidney Cancer and VHL","volume":"12 1","pages":"1-4"},"PeriodicalIF":1.9000,"publicationDate":"2025-01-27","publicationTypes":"Journal Article","fieldsOfStudy":null,"isOpenAccess":false,"openAccessPdf":"https://www.ncbi.nlm.nih.gov/pmc/articles/PMC11782919/pdf/","citationCount":"0","resultStr":null,"platform":"Semanticscholar","paperid":null,"PeriodicalName":"Journal of Kidney Cancer and VHL","FirstCategoryId":"1085","ListUrlMain":"https://doi.org/10.15586/jkc.v12i1.374","RegionNum":0,"RegionCategory":null,"ArticlePicture":[],"TitleCN":null,"AbstractTextCN":null,"PMCID":null,"EPubDate":"2025/1/1 0:00:00","PubModel":"eCollection","JCR":"Q3","JCRName":"ONCOLOGY","Score":null,"Total":0}
引用次数: 0

Abstract

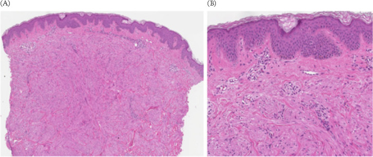
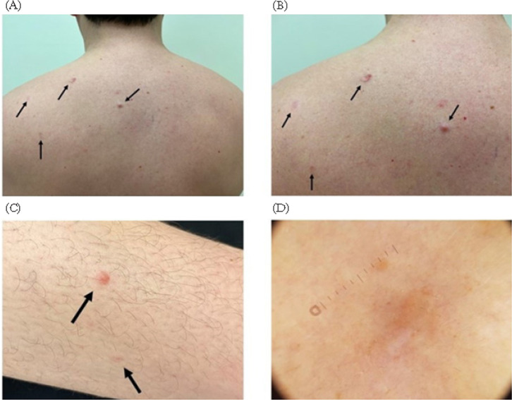
Cutaneous leiomyomas (CLMs) are associated with Hereditary Leiomyomatosis and Renal Cell Cancer (HLRCC) syndrome (Mendelian Inheritance in Man [MIM]: 150800)-a rare genodermatosis caused by a heterozygous pathogenic variant in the fumarate hydratase (FH) gene. It is characterized by a predisposition to develop cutaneous and/or uterine leiomyomas and an aggressive type of renal cell carcinoma (RCC). We describe a 27-year-old male who presented with a painful nodule on the left upper arm persisting for 5 years and the subsequent emergence of painless nodules in various parts of the body over the past two years. A family history of RCC prompted suspicion of the HLRCC syndrome. Cutaneous examination revealed erythematous subcutaneous nodules, with histological analysis confirming CLM. Genetic testing identified a pathogenic variant in the FH gene, confirming the diagnosis of HLRCC. Management involved surgical excision of the symptomatic nodules and genetic counselling/testing for the proband and his family members. The long-term follow-up plan includes dermatological and nephrological surveillance with annual renal magnetic resonance imaging (MRI) scans. This report aims to enhance the awareness of this disease and highlight the role of cutaneous lesions in facilitating early detection.

Abstract Image

Abstract Image

通过不显眼的皮肤结节识别遗传性平滑肌瘤病和肾细胞癌:一份临床报告。
皮肤肌瘤(CLMs)与遗传性肌瘤病和肾细胞癌(HLRCC)综合征(人类孟德尔遗传 [MIM]:150800)有关--这是一种罕见的遗传性皮肤病,由富马酸氢化酶(FH)基因中的杂合致病变体引起。该病的特点是易患皮肤和/或子宫肌瘤以及侵袭性肾细胞癌(RCC)。我们描述了一名 27 岁男性的病例,他的左上臂有一个疼痛的结节,持续了 5 年之久,随后在过去两年中又在身体的不同部位出现了无痛结节。他有 RCC 家族史,因此被怀疑患有 HLRCC 综合征。皮肤检查发现了皮下红斑结节,组织学分析证实为CLM。基因检测发现了 FH 基因的致病变体,确诊为 HLRCC。治疗方法包括手术切除有症状的结节,并为该患者及其家庭成员提供遗传咨询/检测。长期随访计划包括皮肤病和肾病监测,每年进行肾磁共振成像(MRI)扫描。本报告旨在提高人们对这种疾病的认识,并强调皮肤病变在促进早期发现方面的作用。
本文章由计算机程序翻译,如有差异,请以英文原文为准。
求助全文
约1分钟内获得全文 求助全文
来源期刊
自引率
6.20%
发文量
22
审稿时长
4 weeks
×
引用
GB/T 7714-2015
复制
MLA
复制
APA
复制
导出至
BibTeX EndNote RefMan NoteFirst NoteExpress
×
提示
您的信息不完整,为了账户安全,请先补充。
现在去补充
×
提示
您因"违规操作"
具体请查看互助需知
我知道了
×
提示
确定
请完成安全验证×
copy
已复制链接
快去分享给好友吧!
我知道了
右上角分享
点击右上角分享
0
联系我们:info@booksci.cn Book学术提供免费学术资源搜索服务,方便国内外学者检索中英文文献。致力于提供最便捷和优质的服务体验。 Copyright © 2023 布克学术 All rights reserved.
京ICP备2023020795号-1
ghs 京公网安备 11010802042870号
Book学术文献互助
Book学术文献互助群
群 号:604180095
Book学术官方微信