Fatal case of sepsis caused by Raoultella ornithinolytica: A rare opportunistic pathogen

IF 1 Q4 INFECTIOUS DISEASES
IDCases Pub Date : 2025-01-01 DOI:10.1016/j.idcr.2025.e02156
Rifah Anwar Assadi , Husain Abdulaziz AlAwadhi , Nageeb Hussein Abdulla Hasson , Rizah Anwar Assadi
{"title":"Fatal case of sepsis caused by Raoultella ornithinolytica: A rare opportunistic pathogen","authors":"Rifah Anwar Assadi ,&nbsp;Husain Abdulaziz AlAwadhi ,&nbsp;Nageeb Hussein Abdulla Hasson ,&nbsp;Rizah Anwar Assadi","doi":"10.1016/j.idcr.2025.e02156","DOIUrl":null,"url":null,"abstract":"<div><div>We present a rare case of sepsis caused by <em>Raoultella ornithinolytica</em>, a gram-negative, encapsulated bacterium. The patient, a 46-year-old male, was admitted to the intensive care unit with severe diabetic ketoacidosis, acute renal failure, and sepsis. Despite aggressive management, including continuous renal replacement therapy and high-dose inotropes, the patient's condition deteriorates rapidly, ultimately resulting in a fatal outcome. This case highlights the importance of considering <em>Raoultella ornithinolytica</em> in the differential diagnosis of sepsis, particularly in cases where the source of infection is unknown. The patient's clinical course underscores the challenges of managing sepsis in the intensive care unit and the need for continued research into the diagnosis, treatment, and prevention of sepsis caused by this rare opportunistic pathogen.</div></div>","PeriodicalId":47045,"journal":{"name":"IDCases","volume":"39 ","pages":"Article e02156"},"PeriodicalIF":1.0000,"publicationDate":"2025-01-01","publicationTypes":"Journal Article","fieldsOfStudy":null,"isOpenAccess":false,"openAccessPdf":"https://www.ncbi.nlm.nih.gov/pmc/articles/PMC11787684/pdf/","citationCount":"0","resultStr":null,"platform":"Semanticscholar","paperid":null,"PeriodicalName":"IDCases","FirstCategoryId":"1085","ListUrlMain":"https://www.sciencedirect.com/science/article/pii/S2214250925000113","RegionNum":0,"RegionCategory":null,"ArticlePicture":[],"TitleCN":null,"AbstractTextCN":null,"PMCID":null,"EPubDate":"","PubModel":"","JCR":"Q4","JCRName":"INFECTIOUS DISEASES","Score":null,"Total":0}
引用次数: 0

Abstract

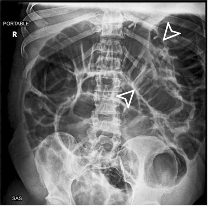
We present a rare case of sepsis caused by Raoultella ornithinolytica, a gram-negative, encapsulated bacterium. The patient, a 46-year-old male, was admitted to the intensive care unit with severe diabetic ketoacidosis, acute renal failure, and sepsis. Despite aggressive management, including continuous renal replacement therapy and high-dose inotropes, the patient's condition deteriorates rapidly, ultimately resulting in a fatal outcome. This case highlights the importance of considering Raoultella ornithinolytica in the differential diagnosis of sepsis, particularly in cases where the source of infection is unknown. The patient's clinical course underscores the challenges of managing sepsis in the intensive care unit and the need for continued research into the diagnosis, treatment, and prevention of sepsis caused by this rare opportunistic pathogen.

Abstract Image

Abstract Image

Abstract Image

一种罕见的机会致病菌——溶鸟粪拉乌尔菌致败血症致死亡病例。
我们提出一个罕见的病例败血症引起的Raoultella禽溶菌,革兰氏阴性,封装细菌。患者46岁男性,因严重糖尿病酮症酸中毒、急性肾功能衰竭和败血症入住重症监护病房。尽管积极的治疗,包括持续的肾脏替代治疗和大剂量的肌力药物,患者的病情迅速恶化,最终导致致命的结果。本病例强调了在脓毒症的鉴别诊断中考虑溶鸟拉乌尔菌的重要性,特别是在感染源未知的情况下。患者的临床过程强调了在重症监护病房管理败血症的挑战,以及继续研究由这种罕见的机会性病原体引起的败血症的诊断、治疗和预防的必要性。
本文章由计算机程序翻译,如有差异,请以英文原文为准。
求助全文
约1分钟内获得全文 求助全文
来源期刊
IDCases
IDCases INFECTIOUS DISEASES-
CiteScore
2.60
自引率
6.70%
发文量
300
审稿时长
10 weeks
×
引用
GB/T 7714-2015
复制
MLA
复制
APA
复制
导出至
BibTeX EndNote RefMan NoteFirst NoteExpress
×
提示
您的信息不完整,为了账户安全,请先补充。
现在去补充
×
提示
您因"违规操作"
具体请查看互助需知
我知道了
×
提示
确定
请完成安全验证×
copy
已复制链接
快去分享给好友吧!
我知道了
右上角分享
点击右上角分享
0
联系我们:info@booksci.cn Book学术提供免费学术资源搜索服务,方便国内外学者检索中英文文献。致力于提供最便捷和优质的服务体验。 Copyright © 2023 布克学术 All rights reserved.
京ICP备2023020795号-1
ghs 京公网安备 11010802042870号
Book学术文献互助
Book学术文献互助群
群 号:604180095
Book学术官方微信